Hepassocin/FGL1 Antibody

Images

 
Western Blot: Hepassocin/FGL1 Antibody [NBP2-16486] - Sample (50 ug of whole cell lysate) A: Mouse Liver, 10% SDS PAGE gel, diluted at 1:1000.
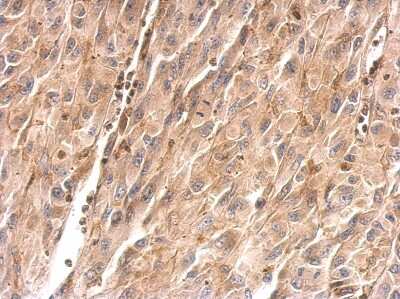
Immunohistochemistry-Paraffin: Hepassocin/FGL1 Antibody [NBP2-16486] - U87 xenograft. FGL1 antibody dilution: 1:500. Antigen Retrieval: Trilogy™ (EDTA based, pH 8.0) buffer, 15min
Western Blot: Hepassocin/FGL1 Antibody [NBP2-16486] - Sample (30 ug of whole cell lysate) A: Hep G2 10% SDS PAGE gel, diluted at 1:1000.

Product Details

Summary
Product Discontinued
View other related Hepassocin/FGL1 Primary Antibodies

Order Details


    • Catalog Number
      NBP2-16486
    • Availability
      Product Discontinued

    Can't find what you are looking for? Use our Antibody Concierge Service & we will help you locate your antibody!

    Or feel free to contact us for alternative products.

Hepassocin/FGL1 Antibody Summary

Immunogen
Recombinant protein encompassing a sequence within the center region of human FGL1. The exact sequence is proprietary.
Localization
Secreted
Predicted Species
Bovine (92%). Backed by our 100% Guarantee.
Isotype
IgG
Clonality
Polyclonal
Host
Rabbit
Gene
FGL1
Purity
Immunogen affinity purified
Innovator's Reward
Test in a species/application not listed above to receive a full credit towards a future purchase.

Applications/Dilutions

Dilutions
  • Immunohistochemistry 1:100-1:1000
  • Immunohistochemistry-Paraffin 1:100-1:1000
  • Western Blot 1:500-1:3000
Theoretical MW
36 kDa.
Disclaimer note: The observed molecular weight of the protein may vary from the listed predicted molecular weight due to post translational modifications, post translation cleavages, relative charges, and other experimental factors.

Reactivity Notes

Immunogen displays the following percentage of sequence identity for non-tested species: Rat (86%), Mouse (86%).

Packaging, Storage & Formulations

Storage
Aliquot and store at -20C or -80C. Avoid freeze-thaw cycles.
Buffer
PBS (pH 7), 20% Glycerol
Preservative
0.025% Proclin 300
Purity
Immunogen affinity purified

Alternate Names for Hepassocin/FGL1 Antibody

  • FGL1
  • fibrinogen-like 1
  • fibrinogen-like protein 1
  • Fibrinogen-like-protein 1
  • FREP1
  • Hepassocin
  • hepatocellular carcinoma-related sequence
  • Hepatocyte-derived fibrinogen-related protein 1
  • HFREP-1
  • HFREP1MGC12455
  • HP-041
  • LFIRE1
  • LFIRE-1
  • Liver fibrinogen-related protein 1

Background

Fibrinogen-like 1 is a member of the fibrinogen family. This protein is homologous to the carboxy terminus of the fibrinogen beta- and gamma- subunits which contains the four conserved cysteines of fibrinogens and fibrinogen related proteins. However, this protein lacks the platelet-binding site, cross-linking region and a thrombin-sensitive site which are necessary for fibrin clot formation. This protein may play a role in the development of hepatocellular carcinomas. Four alternatively spliced transcript variants encoding the same protein exist for this gene. [provided by RefSeq]

Limitations

This product is for research use only and is not approved for use in humans or in clinical diagnosis. Primary Antibodies are guaranteed for 1 year from date of receipt.

Customers Who Viewed This Item Also Viewed...

M6000B
Species: Mu
Applications: ELISA
DYC1825-2
Species: Hu, Mu, Rt
Applications: ELISA
NBP3-38363
Species: Hu, Mu, Rt
Applications: ELISA, IHC,  IHC-P, WB
NBP3-46086
Species: Hu, Mu, Rt
Applications: ELISA, ICC/IF, IHC, WB
NBP1-33596
Species: Hu, Mu, Rt
Applications: ICC/IF, IHC,  IHC-P, IP, PAGE, WB
NB100-381
Species: Hu
Applications: ChIP, IP, WB
NB100-96916
Species: Hu
Applications: Flow, ICC/IF, IHC,  IHC-P, PEP-ELISA, WB
H00004495-P01
Species: Hu
Applications: ELISA, AP, PA, WB
NB500-106
Species: Ch, Dr, Fi, Hu, Mar, Mu, Po, Pm, Rb, Rt, Ye, Ze
Applications: ChIP, ChIP, ELISA, Flow, ICC/IF, IHC-FrFl, IHC, IHC-Fr,  IHC-P, IP, Simple Western, WB
NBP1-32914
Species: Hu, Mu
Applications: ICC/IF, IHC, WB
AF1347
Species: Hu, Mu, Rt
Applications: ICC, IHC, Simple Western, WB
NBP2-20383
Species: Hu, Mu
Applications: ICC/IF, IHC,  IHC-P, WB
NB300-917
Species: Hu, Mu
Applications: ICC/IF, IHC,  IHC-P
NBP1-32436
Species: Bv, Hu, Mu, Rt
Applications: ICC/IF, IHC,  IHC-P, IP, WB
NB200-103
Species: Hu, Mu, Rt, Xp(-), Ye
Applications: CyTOF-ready, ELISA, Flow-IC, Flow, ICC/IF, IHC, IHC-Fr,  IHC-P, IP, WB
AF972
Species: Hu
Applications: ELISA, IHC, KO, Simple Western, WB
NBP2-67796
Species: Hu, Mu, Rt
Applications: ICC/IF, IHC,  IHC-P, IP, WB
NBP2-33600
Species: Hu, Mu
Applications: ICC/IF, IHC,  IHC-P, WB
⚠ WARNING: This product can expose you to chemicals including mercury, which is known to the State of California to cause reproductive toxicity with developmental effects.  For more information go to www.P65Warnings.ca.gov.

Publications for Hepassocin/FGL1 Antibody (NBP2-16486) (0)

There are no publications for Hepassocin/FGL1 Antibody (NBP2-16486).
By submitting your publication information earn gift cards and discounts for future purchases.

Reviews for Hepassocin/FGL1 Antibody (NBP2-16486) (0)

There are no reviews for Hepassocin/FGL1 Antibody (NBP2-16486). By submitting a review you will receive an Amazon e-Gift Card or Novus Product Discount.
  • Review with no image -- $10/€7/£6/$10 CAD/¥70 Yuan/¥1110 Yen
  • Review with an image -- $25/€18/£15/$25 CAD/¥150 Yuan/¥2500 Yen

Product General Protocols

Find general support by application which include: protocols, troubleshooting, illustrated assays, videos and webinars.

Video Protocols

WB Video Protocol

FAQs for Hepassocin/FGL1 Antibody (NBP2-16486) (0)

There are no specific FAQs related to this product. Read our general customer & technical service FAQs.

Secondary Antibodies

 

Isotype Controls

Additional Hepassocin/FGL1 Products

Research Areas for Hepassocin/FGL1 Antibody (NBP2-16486)

Find related products by research area.

Blogs on Hepassocin/FGL1

There are no specific blogs for Hepassocin/FGL1, but you can read our latest blog posts.

Contact Information

Product PDFs

Calculators

Concentration Calculator

The concentration calculator allows you to quickly calculate the volume, mass or concentration of your vial. Simply enter your mass, volume, or concentration values for your reagent and the calculator will determine the rest.

=
÷

Review this Product

Be the first to review our Hepassocin/FGL1 Antibody and receive a gift card or discount.

Bioinformatics

Gene Symbol FGL1
Uniprot