HAPLN3 Antibody

Images

 
Western Blot: HAPLN3 Antibody [NBP2-24476] - Analysis of human HAPLN3 in HeLa cell lysate in the 1) absence and 2) presence of immunizing peptide using NBP2-24476 at 2 ug/ml.
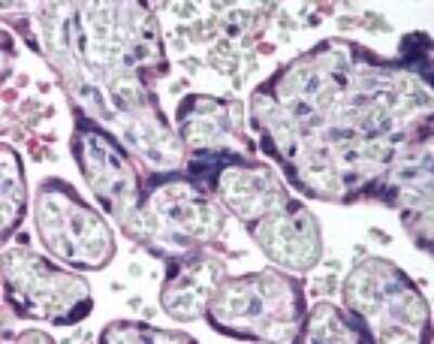
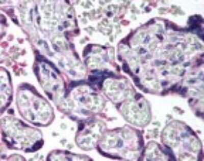
Immunohistochemistry-Paraffin: HAPLN3 Antibody [NBP2-24476] - Analysis of human placenta using NBP2-24476 at 10 ug/ml.

Product Details

Summary
Product Discontinued
View other related HAPLN3 Primary Antibodies

Order Details


    • Catalog Number
      NBP2-24476
    • Availability
      Product Discontinued

    Can't find what you are looking for? Use our Antibody Concierge Service & we will help you locate your antibody!

    Or feel free to contact us for alternative products.

HAPLN3 Antibody Summary

Immunogen
A portion of amino acids 1-50 of human HAPLN3 was used as the immunogen.
Predicted Species
Chimpanzee (100%), Monkey (100%). Backed by our 100% Guarantee.
Isotype
IgG
Clonality
Polyclonal
Host
Rabbit
Gene
HAPLN3
Purity
Immunogen affinity purified
Innovator's Reward
Test in a species/application not listed above to receive a full credit towards a future purchase.

Applications/Dilutions

Dilutions
  • Immunohistochemistry
  • Immunohistochemistry-Paraffin 10 ug/ml
  • Western Blot 1-3 ug/ml

Reactivity Notes

Immunogen displays the following percentage of sequence identity for non-tested species: Bovine (88%), Mouse (82%) and Rat (82%).

Packaging, Storage & Formulations

Storage
Store at 4C short term. Aliquot and store at -20C long term. Avoid freeze-thaw cycles.
Buffer
0.2 ml PBS and 0.2% Gelatin
Preservative
0.05% Sodium Azide
Concentration
0.5 mg/ml
Purity
Immunogen affinity purified

Alternate Names for HAPLN3 Antibody

  • EXLD1
  • extracellular link domain containing, 1
  • HAPLN3
  • HsT19883
  • hyaluronan and proteoglycan link protein 3

Background

HAPLN3 belongs to the hyaluronan and proteoglycan binding link protein gene family. The protein encoded by this gene may function in hyaluronic acid binding and cell adhesion.

Limitations

This product is for research use only and is not approved for use in humans or in clinical diagnosis. Primary Antibodies are guaranteed for 1 year from date of receipt.

Customers Who Viewed This Item Also Viewed...

NBP1-85432
Species: Hu, Mu
Applications: IHC,  IHC-P, mIF
AF5800
Species: Mu, Rt
Applications: IHC, WB
AF4009
Species: Hu, Rt
Applications: ICC, IHC, IP, WB
NBP1-19788
Species: Hu, Mu, Rt
Applications: ICC/IF, IHC,  IHC-P
AF4085
Species: Hu
Applications: IHC, IP, WB
NBP1-91977
Species: Hu
Applications: IHC,  IHC-P, WB
NBP2-37446
Species: Hu
Applications: ELISA, ICC/IF, IHC,  IHC-P, WB
NB100-757
Species: Hu
Applications: ChIP, IHC,  IHC-P, WB
1129-ER
Species: Hu
Applications: BA
6140-ST
Species: Hu
Applications: EnzAct
NBP2-37477
Species: Hu
Applications: ELISA, ICC/IF, IHC,  IHC-P, WB
AF5415
Species: Hu
Applications: ICC, IHC, Simple Western, WB
NBP2-20454
Species: Hu
Applications: IHC,  IHC-P, WB
H00006532-D01P
Species: Hu, Mu
Applications: WB
NBP2-24476
Species: Hu, Pm, Pm, Pm
Applications: WB, IHC
Supplier Logo

Publications for HAPLN3 Antibody (NBP2-24476) (0)

There are no publications for HAPLN3 Antibody (NBP2-24476).
By submitting your publication information earn gift cards and discounts for future purchases.

Reviews for HAPLN3 Antibody (NBP2-24476) (0)

There are no reviews for HAPLN3 Antibody (NBP2-24476). By submitting a review you will receive an Amazon e-Gift Card or Novus Product Discount.
  • Review with no image -- $10/€7/£6/$10 CAD/¥70 Yuan/¥1110 Yen
  • Review with an image -- $25/€18/£15/$25 CAD/¥150 Yuan/¥2500 Yen

Product General Protocols

Find general support by application which include: protocols, troubleshooting, illustrated assays, videos and webinars.

Video Protocols

WB Video Protocol

FAQs for HAPLN3 Antibody (NBP2-24476) (0)

There are no specific FAQs related to this product. Read our general customer & technical service FAQs.

Contact Information

Product PDFs

Calculators

Concentration Calculator

The concentration calculator allows you to quickly calculate the volume, mass or concentration of your vial. Simply enter your mass, volume, or concentration values for your reagent and the calculator will determine the rest.

=
÷

Review this Product

Be the first to review our HAPLN3 Antibody and receive a gift card or discount.

Bioinformatics

Gene Symbol HAPLN3