H1F0 Antibody (AE-4) - IHC-Prediluted

Images

 
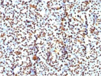
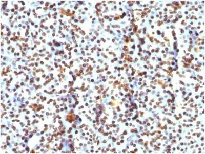
Immunohistochemistry-Paraffin: H1F0 Antibody (AE-4) - IHC-Prediluted [NBP2-48077] - Human Tonsil stained with H1F0 antibody (AE-4) - IHC-Prediluted
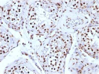
Immunohistochemistry-Paraffin: H1F0 Antibody (AE-4) - IHC-Prediluted [NBP2-48077] - Formalin-fixed, paraffin-embedded human Testicular Carcinoma stained with H1F0 antibody (AE-4) - IHC-Prediluted
Immunohistochemistry-Paraffin: H1F0 Antibody (AE-4) - IHC-Prediluted [NBP2-48077] - Formalin-fixed, paraffin-embedded human Pancreas stained with H1F0 antibody (AE-4) - IHC-Prediluted
Western Blot Analysis of human heart tissue lysate using H1F0 Antibody (AE-4) - IHC-Prediluted.
Immunofluorescence staining of PFA-fixed HeLa cells using H1F0 Antibody (AE-4) - IHC-Prediluted followed by goat anti-mouse IgG-CF488 (green). Membrane stained by Phalloidin
Flow Cytometric Analysis of HeLa cells. H1F0 Antibody (AE-4) - IHC-Prediluted followed by goat anti-mouse IgG-CF488 (blue); isotype control (red).

Product Details

Summary
Reactivity Hu, Mu, RtSpecies Glossary
Applications IHC
Clone
AE-4
Clonality
Monoclonal
Host
Mouse
Conjugate
Unconjugated
Format
IHC-Prediluted

Order Details

H1F0 Antibody (AE-4) - IHC-Prediluted Summary

Description
The prediluted antibody does not require any mixing, dilution, reconstitution, or titration; the antibody is ready-to-use and optimized for staining.
Immunogen
Nuclei of human leukemia biopsy cells
Localization
Nuclear
Marker
Pan Nuclear Marker
Isotype
IgG2a Kappa
Clonality
Monoclonal
Host
Mouse
Gene
H1-0
Purity
Protein A or G purified
Innovator's Reward
Test in a species/application not listed above to receive a full credit towards a future purchase.

Applications/Dilutions

Dilutions
  • Immunohistochemistry
  • Immunohistochemistry-Paraffin
Application Notes
Immunohistochemistry (Formalin-fixed): 1-2ug/ml for 30 minutes at RT. Staining of formalin-fixed tissues requires heating tissue sections in 10mM Tris with 1mM EDTA, pH 9.0, for 45 min at 95C followed by cooling at RT for 20 minutes.
Optimal dilution for a specific application should be determined.
Theoretical MW
30 kDa.
Disclaimer note: The observed molecular weight of the protein may vary from the listed predicted molecular weight due to post translational modifications, post translation cleavages, relative charges, and other experimental factors.

Packaging, Storage & Formulations

Storage
Store at 4C.
Buffer
10 mM PBS with 0.05% BSA
Preservative
0.05% Sodium Azide
Purity
Protein A or G purified

Alternate Names for H1F0 Antibody (AE-4) - IHC-Prediluted

  • H1 histone family, member 0
  • H1.0, H1(0), H1-0
  • H10
  • H1FVMGC5241
  • Histone H1'
  • Histone H1(0)
  • histone H1.0

Background

Plasmid: pCMV-H1F0 Full length; Host Cell: 293T

Limitations

This product is for research use only and is not approved for use in humans or in clinical diagnosis. Primary Antibodies are guaranteed for 1 year from date of receipt.

Customers Who Viewed This Item Also Viewed...

NBP2-45184
Species: Hu, Mu, Rt
Applications: Flow, ICC/IF, IHC,  IHC-P, WB
NBP2-07996
Species: Hu
Applications: WB
NBP2-52486
Species: Hu
Applications: CyTOF-ready, ELISA, Flow, ICC/IF, IHC,  IHC-P, WB
NLS3775
Species: Hu, Pm
Applications: ICC/IF, IHC,  IHC-P
NBP1-85351
Species: Hu, Mu, Rt
Applications: ICC/IF, IHC,  IHC-P, WB
MAB4987
Species: Hu, Mu, Rt
Applications: WB
H00003166-B01P-50ug
Species: Hu
Applications: WB
NBP2-20154
Species: Hu, Mu, Rt
Applications: IHC,  IHC-P, WB
H00000389-M06
Species: Hu, Mu, Rt
Applications: ELISA, ICC/IF, IHC, S-ELISA, WB
H00009248-B01P
Species: Hu, Mu, Rt
Applications: Flow, KO, WB
NBP2-45731
Species: Ca, Hu, Pm
Applications: IHC,  IHC-P, WB
NBP1-33581
Species: Hu, Mu, Rt
Applications: ELISA, ICC/IF, IHC,  IHC-P, WB
AF4679
Species: Hu
Applications: WB
NBP2-48077
Species: Hu, Mu, Rt
Applications: IHC

Publications for H1F0 Antibody (NBP2-48077) (0)

There are no publications for H1F0 Antibody (NBP2-48077).
By submitting your publication information earn gift cards and discounts for future purchases.

Reviews for H1F0 Antibody (NBP2-48077) (0)

There are no reviews for H1F0 Antibody (NBP2-48077). By submitting a review you will receive an Amazon e-Gift Card or Novus Product Discount.
  • Review with no image -- $10/€7/£6/$10 CAD/¥70 Yuan/¥1110 Yen
  • Review with an image -- $25/€18/£15/$25 CAD/¥150 Yuan/¥2500 Yen

Product General Protocols

Find general support by application which include: protocols, troubleshooting, illustrated assays, videos and webinars.

FAQs for H1F0 Antibody (NBP2-48077) (0)

There are no specific FAQs related to this product. Read our general customer & technical service FAQs.

Secondary Antibodies

 

Isotype Controls

Additional H1F0 Products

Research Areas for H1F0 Antibody (NBP2-48077)

Find related products by research area.

Blogs on H1F0

There are no specific blogs for H1F0, but you can read our latest blog posts.

Customers Who Bought This Also Bought

Contact Information

Product PDFs

Calculators

Concentration Calculator

The concentration calculator allows you to quickly calculate the volume, mass or concentration of your vial. Simply enter your mass, volume, or concentration values for your reagent and the calculator will determine the rest.

=
÷

Review this Product

Be the first to review our H1F0 Antibody (AE-4) - IHC-Prediluted and receive a gift card or discount.

Bioinformatics

Gene Symbol H1-0