GSPT1 Antibody (CL13332) - Azide and BSA Free

Images

 
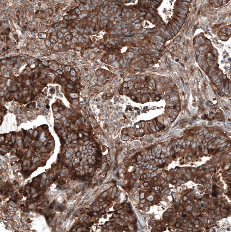
Staining of human breast cancer shows strong cytoplasmic positivity in tumor cells.
Staining of human colorectal cancer (metastasis to ovary) shows strong cytoplasmic positivity in tumor cells.
Staining of human colorectal cancer shows strong cytoplasmic positivity in tumor cells.
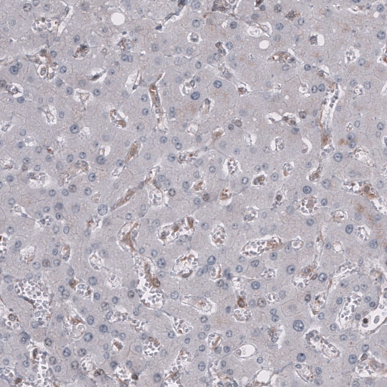
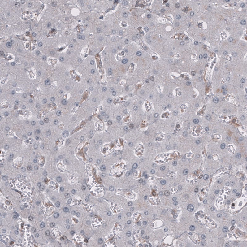
Staining of human liver shows no positivity in hepatocytes.
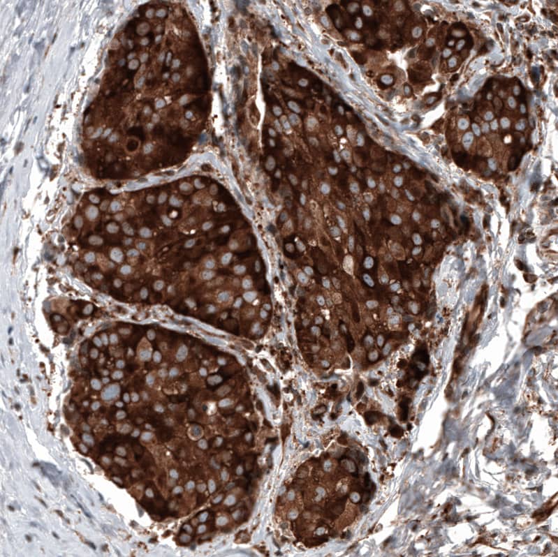
Staining of human ovarian cancer (papillary carcinoma) shows strong cytoplasmic positivity in tumor cells.
Staining of human testis shows moderate to strong cytoplasmic positivity in cells in seminiferous ducts.
Analysis in human cell line K562.

Product Details

Summary
Reactivity HuSpecies Glossary
Applications WB, IHC
Clone
CL13332
Clonality
Monoclonal
Host
Mouse
Conjugate
Unconjugated
Format
Azide and BSA Free
Concentration
LYOPH

Order Details

GSPT1 Antibody (CL13332) - Azide and BSA Free Summary

Description
Novus Biologicals Mouse GSPT1 Antibody (CL13332) - Azide and BSA Free (NBP3-18565) is a monoclonal antibody validated for use in IHC and WB. All Novus Biologicals antibodies are covered by our 100% guarantee.
Immunogen
This antibody was generated using a synthetic peptide of P15170, with the exact immunogen sequence remaining proprietary.
Isotype
IgG2a
Clonality
Monoclonal
Host
Mouse
Gene
GSPT1
Purity
Protein A purified
Innovator's Reward
Test in a species/application not listed above to receive a full credit towards a future purchase.

Applications/Dilutions

Dilutions
  • Immunohistochemistry-Paraffin 1:1000 - 1:2500
  • Western Blot 1 ug/ml
Application Notes
For use with IHC-Paraffin, HIER pH 6 retrieval is recommended.

Packaging, Storage & Formulations

Storage
Store at 4C short term. Aliquot and store at -20C long term. Avoid freeze-thaw cycles.
Buffer
Lyophilized from a 0.2 um filtered solution in PBS with Trehalose
Preservative
No Preservative
Concentration
LYOPH
Purity
Protein A purified
Reconstitution Instructions
Centrifuge the vial of lyophilized antibody at 12,000 x g for 20 seconds. Reconstitute by adding sterile, distilled water to achieve a final antibody concentration of 1mg/ml.

Alternate Names for GSPT1 Antibody (CL13332) - Azide and BSA Free

  • ERF3A
  • eRF3aFLJ38048
  • ETF3A
  • eukaryotic peptide chain release factor GTP-binding subunit ERF3A
  • Eukaryotic peptide chain release factor subunit 3a
  • FLJ39067
  • G1 to S phase transition 1,551G9.2
  • G1 to S phase transition protein 1 homolog
  • GST1

Background

GSPT1 is involved in translation termination in response to the termination codons UAA, UAG and UGA. Stimulates theactivity of ERF1. Involved in regulation of mammalian cell growth

Limitations

This product is for research use only and is not approved for use in humans or in clinical diagnosis. Primary Antibodies are guaranteed for 1 year from date of receipt.

Customers Who Viewed This Item Also Viewed...

NBP2-16686
Species: Hu
Applications: ICC/IF, IHC,  IHC-P, KO, WB
NBP2-49118
Species: Hu
Applications: IHC,  IHC-P
NBP1-91971
Species: Hu
Applications: ICC/IF, IHC,  IHC-P, WB
H00002938-M01
Species: Hu
Applications: ELISA, IHC,  IHC-P, S-ELISA, WB
NBP1-31113
Species: Hu, Mu, Rt
Applications: ICC/IF, IHC,  IHC-P, WB
NBP1-32157
Species: Hu, Rt
Applications: ICC/IF, IHC,  IHC-P, WB
NBP1-82653
Species: Hu
Applications: IHC,  IHC-P, WB
NBP1-59944
Species: Hu
Applications: WB
NBP2-16756
Species: Hu, Mu, Rt
Applications: ICC/IF, IHC, IHC-Fr,  IHC-P, WB
AF5357
Species: Hu
Applications: IP, Neut, WB
NBP2-86906
Species: Hu
Applications: IHC,  IHC-P, WB
AF5059
Species: Hu
Applications: IHC, WB
H00002946-M03
Species: Hu, Mu
Applications: ELISA, ICC/IF, IHC,  IHC-P, S-ELISA, WB
NB100-74398
Species: Hu, Mu, Pm, Rt
Applications: ICC/IF, IHC,  IHC-P, WB
NB600-326
Species: ET
Applications: ELISA, ICC/IF, IHC,  IHC-P, IP, Simple Western, WB
H00002115-M01
Species: Hu
Applications: ELISA, WB

Publications for GSPT1 Antibody (NBP3-44373) (0)

There are no publications for GSPT1 Antibody (NBP3-44373).
By submitting your publication information earn gift cards and discounts for future purchases.

Reviews for GSPT1 Antibody (NBP3-44373) (0)

There are no reviews for GSPT1 Antibody (NBP3-44373). By submitting a review you will receive an Amazon e-Gift Card or Novus Product Discount.
  • Review with no image -- $10/€7/£6/$10 CAD/¥70 Yuan/¥1110 Yen
  • Review with an image -- $25/€18/£15/$25 CAD/¥150 Yuan/¥2500 Yen

Product General Protocols

Find general support by application which include: protocols, troubleshooting, illustrated assays, videos and webinars.

Video Protocols

WB Video Protocol

FAQs for GSPT1 Antibody (NBP3-44373) (0)

There are no specific FAQs related to this product. Read our general customer & technical service FAQs.

Secondary Antibodies

 

Isotype Controls

Additional GSPT1 Products

Array NBP3-44373

Research Areas for GSPT1 Antibody (NBP3-44373)

Find related products by research area.

Blogs on GSPT1

There are no specific blogs for GSPT1, but you can read our latest blog posts.

Customers Who Bought This Also Bought

Contact Information

Product PDFs

Calculators

Concentration Calculator

The concentration calculator allows you to quickly calculate the volume, mass or concentration of your vial. Simply enter your mass, volume, or concentration values for your reagent and the calculator will determine the rest.

=
÷

Review this Product

Be the first to review our GSPT1 Antibody (CL13332) - Azide and BSA Free and receive a gift card or discount.

Bioinformatics

Gene Symbol GSPT1