GPR97 Antibody (CL11474) - Azide and BSA Free

Images

 
Orthogonal Strategies: Analysis in human bone marrow and prostate tissues using NBP3-44149 antibody. Corresponding GPR97 RNA-seq data are presented for the same tissues.
Staining of human Bone marrow shows strong membranous positivity in hematopoietic cells.
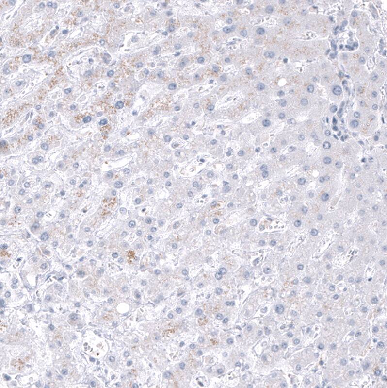
Staining of human Liver shows no positivity in hepatocytes as expected.
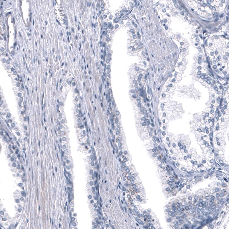
Staining of human Prostate shows no positivity in glandular cells as expected.
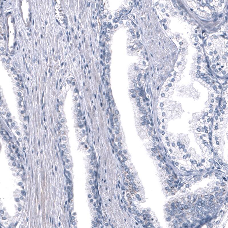
Staining of human Small intestine shows moderate membranous positivity in glandular cells.

Product Details

Summary
Reactivity HuSpecies Glossary
Applications IHC
Clone
CL11474
Clonality
Monoclonal
Host
Mouse
Conjugate
Unconjugated
Format
Azide and BSA Free
Concentration
LYOPH
Validated by:
       

Orthogonal Strategies

 

Order Details

GPR97 Antibody (CL11474) - Azide and BSA Free Summary

Description
Novus Biologicals Mouse GPR97 Antibody (CL11474) - Azide and BSA Free (NBP3-21195) is a monoclonal antibody validated for use in IHC. All Novus Biologicals antibodies are covered by our 100% guarantee.
Immunogen
This antibody was generated using a recombinant protein sequence of Q86Y34, with the exact immunogen sequence remaining proprietary.
Isotype
IgG1
Clonality
Monoclonal
Host
Mouse
Gene
ADGRG3
Purity
Protein A purified
Innovator's Reward
Test in a species/application not listed above to receive a full credit towards a future purchase.

Applications/Dilutions

Dilutions
  • Immunohistochemistry-Paraffin 1:200- 1:500
Application Notes
For IHC-Paraffin, HIER pH 6 retrieval is recommended.

Packaging, Storage & Formulations

Storage
Store at 4C short term. Aliquot and store at -20C long term. Avoid freeze-thaw cycles.
Buffer
Lyophilized from a 0.2 um filtered solution in PBS with Trehalose
Preservative
No Preservative
Concentration
LYOPH
Purity
Protein A purified
Reconstitution Instructions
Centrifuge the vial of lyophilized antibody at 12,000 x g for 20 seconds. Reconstitute by adding sterile, distilled water to achieve a final antibody concentration of 1mg/ml.

Alternate Names for GPR97 Antibody (CL11474) - Azide and BSA Free

  • G protein-coupled receptor 97
  • GPR97
  • PB99
  • PGR26
  • PGR26G-protein coupled receptor PGR26
  • probable G-protein coupled receptor 97

Background

GPR97 is an Orphan-B GPCR with an unknown ligand. GPR97 is expressed exclusively in pre-B and pre-T cells in the thymus but not in mature lymphoid or non-lymphoid tissues. ESTs have been isolated from spleen libraries.

Limitations

This product is for research use only and is not approved for use in humans or in clinical diagnosis. Primary Antibodies are guaranteed for 1 year from date of receipt.

Customers Who Viewed This Item Also Viewed...

AF4634
Species: Hu
Applications: CyTOF-ready, Flow, Simple Western, WB
H00054716-Q01
Species: Hu
Applications: ELISA, AP, PA, WB
NBP3-47156
Species: Hu, Mu, Rt
Applications: ELISA, IHC, IP, WB
AF2200
Species: Hu
Applications: IP, WB
NBP2-56316
Species: Hu
Applications: IHC,  IHC-P
AF5016
Species: Hu
Applications: WB
NBP3-27129
Species: Hu
Applications: ELISA, Flow, ICC/IF, WB
NBP2-67634
Species: Hu, Mu, Rt, Ze
Applications: Flow, ICC/IF, IHC,  IHC-P, IP, WB
NBP2-31761
Species: Hu
Applications: ICC/IF, IHC,  IHC-P
NBP1-87285
Species: Hu
Applications: ICC/IF, IHC,  IHC-P
NBP1-49938
Species: Hu, Mu
Applications: IHC,  IHC-P, IP, WB
NBP2-24521
Species: Ca, Hu, Mu, Pm, Rt
Applications: ICC/IF, IHC,  IHC-P, WB
NB100-74357
Species: Hu, Mu, Rt
Applications: ICC/IF, WB
NLS418
Species: Hu
Applications: IHC,  IHC-P
MAB194
Species: Hu, Mu
Applications: CyTOF-ready, Flow, ICC, WB
AF7977
Species: Hu, Mu, Rt
Applications: Flow, IHC, WB
NBP1-31851
Species: Hu, Mu, Rt
Applications: ICC/IF, WB
NBP3-44149
Species: Hu
Applications: IHC

Publications for GPR97 Antibody (NBP3-44149) (0)

There are no publications for GPR97 Antibody (NBP3-44149).
By submitting your publication information earn gift cards and discounts for future purchases.

Reviews for GPR97 Antibody (NBP3-44149) (0)

There are no reviews for GPR97 Antibody (NBP3-44149). By submitting a review you will receive an Amazon e-Gift Card or Novus Product Discount.
  • Review with no image -- $10/€7/£6/$10 CAD/¥70 Yuan/¥1110 Yen
  • Review with an image -- $25/€18/£15/$25 CAD/¥150 Yuan/¥2500 Yen

Product General Protocols

Find general support by application which include: protocols, troubleshooting, illustrated assays, videos and webinars.

FAQs for GPR97 Antibody (NBP3-44149) (0)

There are no specific FAQs related to this product. Read our general customer & technical service FAQs.

Secondary Antibodies

 

Isotype Controls

Additional GPR97 Products

Research Areas for GPR97 Antibody (NBP3-44149)

Find related products by research area.

Blogs on GPR97

There are no specific blogs for GPR97, but you can read our latest blog posts.

Customers Who Bought This Also Bought

Contact Information

Product PDFs

Calculators

Concentration Calculator

The concentration calculator allows you to quickly calculate the volume, mass or concentration of your vial. Simply enter your mass, volume, or concentration values for your reagent and the calculator will determine the rest.

=
÷

Review this Product

Be the first to review our GPR97 Antibody (CL11474) - Azide and BSA Free and receive a gift card or discount.

Bioinformatics

Gene Symbol ADGRG3