GPR74/NPFFR2 Antibody

Images

 
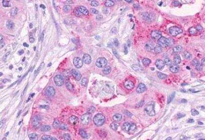
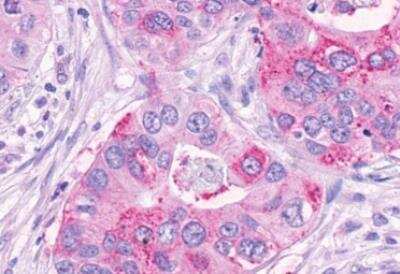
Immunohistochemistry-Paraffin: GPR74/NPFFR2 Antibody [NLS3302] - Human Pancreas, Carcinoma paraffin-embedded tissue after heat-induced antigen retrieval.
Immunohistochemistry-Paraffin: GPR74/NPFFR2 Antibody [NLS3302] - Analysis of anti-NPFF2 / NPFFR2 antibody with brain, neurons and glia.
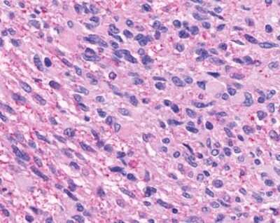
Immunohistochemistry-Paraffin: GPR74/NPFFR2 Antibody [NLS3302] - Analysis of anti-NPFF2 / NPFFR2 antibody with human brain, glioblastoma.
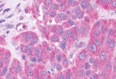
Immunohistochemistry-Paraffin: GPR74/NPFFR2 Antibody [NLS3302] - Human Skin, Melanoma paraffin-embedded tissue after heat-induced antigen retrieval.

Product Details

Summary
Product Discontinued
View other related GPR74/NPFFR2 Primary Antibodies

Order Details


    • Catalog Number
      NLS3302
    • Availability
      Product Discontinued

    Can't find what you are looking for? Use our Antibody Concierge Service & we will help you locate your antibody!

    Or feel free to contact us for alternative products.

GPR74/NPFFR2 Antibody Summary

Immunogen
Synthetic 18 amino acid peptide from 3rd extracellular domain of human GPR74/NPFFR2.
Specificity
Human NPFFR2. BLAST analysis of the peptide immunogen showed no homology with other human proteins.
Predicted Species
Porcine (94%), Rabbit (94%), Primate (100%), Monkey (94%). Backed by our 100% Guarantee.
Isotype
IgG
Clonality
Polyclonal
Host
Rabbit
Gene
NPFFR2
Purity
Immunogen affinity purified
Innovator's Reward
Test in a species/application not listed above to receive a full credit towards a future purchase.

Applications/Dilutions

Dilutions
  • Immunohistochemistry
  • Immunohistochemistry-Paraffin 16 ug/ml

Reactivity Notes

Predicted cross-reactivity based on sequence identity: Gorilla (100%), Gibbon (100%), Marmoset (100%), Canine (89%), Bovine (89%), Mouse (83%), Rat (83%), Bat (83%).

Packaging, Storage & Formulations

Storage
Store at 4C short term. Aliquot and store at -20C long term. Avoid freeze-thaw cycles.
Buffer
PBS
Preservative
0.1% Sodium Azide
Concentration
1.0 mg/ml
Purity
Immunogen affinity purified

Alternate Names for GPR74/NPFFR2 Antibody

  • GPR74
  • GPR74G protein-coupled receptor 74
  • G-protein coupled receptor 74
  • neuropeptide FF 2
  • neuropeptide FF receptor 2
  • Neuropeptide G-protein coupled receptor
  • NPFF2
  • NPFF2G-protein coupled receptor HLWAR77
  • NPFFR2
  • NPGPR
  • NPGPRHLWAR77

Background

The Neuropeptide FF 2 Receptor (NPFF2/HLWAR77/NPGPR) is a Neuropeptide Receptor GPCR. This receptor has high affinity for NPAF and NPFF, and is also weakly activated by FMRF-amide (Phe-Met-Arg-Phe-amide) and a variety of related peptides. The receptor is expressed in brain regions associated with opiate activity, consistent with the pain-modulating activity of these peptides, and in adipose tissue, suggesting other physiological and pathophysiological activities for FMRF-amide neuropeptides (Elshourbagy et al, 2000). Two isoforms are produced by alternative splicing. NPFF2 receptor has been reported to be expressed in various tissues, including brain, heart, intestine, placenta, prostate, spleen, adipose, spinal cord, colon, kidney, liver, lung, ovary, testis, pancreas, and thymus. ESTs have been isolated from fetal and placenta libraries.

Limitations

This product is for research use only and is not approved for use in humans or in clinical diagnosis. Primary Antibodies are guaranteed for 1 year from date of receipt.

Customers Who Viewed This Item Also Viewed...

NBP3-05565
Species: Hu, Rt
Applications: WB
NLS1903
Species: Bv, Eq, Hu, Pm, Po, Pm, Rb
Applications: IHC,  IHC-P
NBP1-86724
Species: Hu
Applications: IHC,  IHC-P, WB
NBP1-46535
Species: Hu, Mu, Rb, Rt, Xp
Applications: ICC/IF, IHC-FrFl, IHC, IHC-Fr,  IHC-P, WB
NLS418
Species: Hu
Applications: IHC,  IHC-P
NLS2756
Species: Hu, Pm
Applications: ICC, IHC,  IHC-P
MAB8458
Species: Hu
Applications: CyTOF-ready, Flow, ICC
NLS1017
Species: Bt, Bv, Ca, Eq, Hu, Mu
Applications: IHC,  IHC-P
MAB194
Species: Hu, Mu
Applications: CyTOF-ready, Flow, ICC, WB
NLS2576
Species: Hu, Pm, Rt
Applications: IHC,  IHC-P
MAB763
Species: Hu, Mu
Applications: IHC
H00005696-M01
Species: Hu
Applications: ELISA, ICC/IF, IHC,  IHC-P, IP, WB
NLS1922
Species: Hu
Applications: IHC,  IHC-P
NLS3302
Species: Hu, Eq, Po, Pm, Pm, Rb
Applications: IHC

Publications for GPR74/NPFFR2 Antibody (NLS3302) (0)

There are no publications for GPR74/NPFFR2 Antibody (NLS3302).
By submitting your publication information earn gift cards and discounts for future purchases.

Reviews for GPR74/NPFFR2 Antibody (NLS3302) (0)

There are no reviews for GPR74/NPFFR2 Antibody (NLS3302). By submitting a review you will receive an Amazon e-Gift Card or Novus Product Discount.
  • Review with no image -- $10/€7/£6/$10 CAD/¥70 Yuan/¥1110 Yen
  • Review with an image -- $25/€18/£15/$25 CAD/¥150 Yuan/¥2500 Yen

Product General Protocols

Find general support by application which include: protocols, troubleshooting, illustrated assays, videos and webinars.

FAQs for GPR74/NPFFR2 Antibody (NLS3302) (0)

There are no specific FAQs related to this product. Read our general customer & technical service FAQs.

Secondary Antibodies

 

Isotype Controls

Additional GPR74/NPFFR2 Products

Research Areas for GPR74/NPFFR2 Antibody (NLS3302)

Find related products by research area.

Blogs on GPR74/NPFFR2

There are no specific blogs for GPR74/NPFFR2, but you can read our latest blog posts.

Contact Information

Product PDFs

Calculators

Concentration Calculator

The concentration calculator allows you to quickly calculate the volume, mass or concentration of your vial. Simply enter your mass, volume, or concentration values for your reagent and the calculator will determine the rest.

=
÷

Review this Product

Be the first to review our GPR74/NPFFR2 Antibody and receive a gift card or discount.

Bioinformatics

Gene Symbol NPFFR2
Entrez