GPR25 Antibody

Images

 
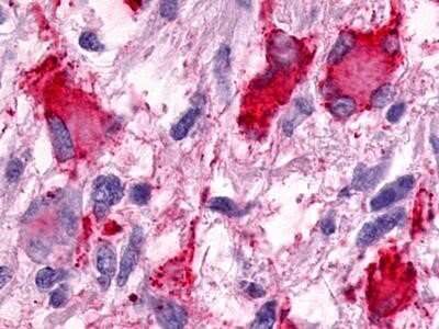
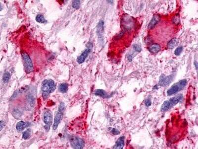
Immunohistochemistry-Paraffin: GPR25 Antibody [NLS483] - Analysis of anti-GPR25 antibody with human brain, glioblastoma at dilution 1-2 ug/ml.
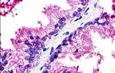
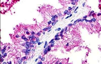
Immunohistochemistry-Paraffin: GPR25 Antibody [NLS483] - Analysis of anti-GPR25 antibody with human prostate.

Product Details

Summary
Product Discontinued
View other related GPR25 Primary Antibodies

Order Details


    • Catalog Number
      NLS483
    • Availability
      Product Discontinued

    Can't find what you are looking for? Use our Antibody Concierge Service & we will help you locate your antibody!

    Or feel free to contact us for alternative products.

GPR25 Antibody Summary

Immunogen
Synthetic 18 amino acid peptide from N-terminal extracellular domain of human GPR25.
Specificity
Human GPR25. BLAST analysis of the peptide immunogen showed no homology with other human proteins.
Predicted Species
Primate (100%), Monkey (94%). Backed by our 100% Guarantee.
Isotype
IgG
Clonality
Polyclonal
Host
Rabbit
Gene
GPR25
Purity
Immunogen affinity purified
Innovator's Reward
Test in a species/application not listed above to receive a full credit towards a future purchase.

Applications/Dilutions

Dilutions
  • Immunohistochemistry
  • Immunohistochemistry-Paraffin 3 - 17 ug/ml

Reactivity Notes

Predicted cross-reactivity based on sequence identity: Gorilla (100%).

Packaging, Storage & Formulations

Storage
Store at 4C short term. Aliquot and store at -20C long term. Avoid freeze-thaw cycles.
Buffer
PBS
Preservative
0.1% Sodium Azide
Concentration
1.0 mg/ml
Purity
Immunogen affinity purified

Alternate Names for GPR25 Antibody

  • G protein-coupled receptor 25
  • Gm1300
  • GPR25
  • probable G-protein coupled receptor 25

Background

GPR25 is an Orphan-A GPCR with an unknown ligand. GPR25 has been reported to be absent in liver and in 12 brain regions analyzed (Jung et al., 1997). No human ESTs have been isolated for this gene.

Limitations

This product is for research use only and is not approved for use in humans or in clinical diagnosis. Primary Antibodies are guaranteed for 1 year from date of receipt.

Customers Who Viewed This Item Also Viewed...

MAB7938
Species: Hu, Mu, Rt
Applications: Simple Western, WB
AF942
Species: Mu
Applications: CyTOF-ready, ICC, IHC, ICFlow, WB
AF5550
Species: Mu, Rt
Applications: WB
NLS418
Species: Hu
Applications: IHC,  IHC-P
MAB8458
Species: Hu
Applications: CyTOF-ready, Flow, ICC
AF5550
Species: Mu, Rt
Applications: WB
NBP1-31348
Species: Hu, Mu, Rt
Applications: ICC/IF, IHC,  IHC-P, WB
MAB194
Species: Hu, Mu
Applications: CyTOF-ready, Flow, ICC, WB
NLS2756
Species: Hu, Pm
Applications: ICC, IHC,  IHC-P
NB100-74540
Species: Hu, Mu, Po
Applications: Flow, ICC, IHC,  IHC-P, WB
MAB3654
Species: Hu
Applications: CyTOF-reported, Flow
NLS1017
Species: Bt, Bv, Ca, Eq, Hu, Mu
Applications: IHC,  IHC-P
NB100-1793
Species: Hu, Pm, Mu, Rt
Applications: Flow, IB, ICC/IF, IHC, IHC-Fr,  IHC-P, PEP-ELISA
NBP1-31528
Species: Hu, Mu
Applications: IHC,  IHC-P, WB
NLS2576
Species: Hu, Pm, Rt
Applications: IHC,  IHC-P
NBP1-30027
Species: Hu, Mu, Rt
Applications: ICC/IF, IHC,  IHC-P, WB

Publications for GPR25 Antibody (NLS483) (0)

There are no publications for GPR25 Antibody (NLS483).
By submitting your publication information earn gift cards and discounts for future purchases.

Reviews for GPR25 Antibody (NLS483) (0)

There are no reviews for GPR25 Antibody (NLS483). By submitting a review you will receive an Amazon e-Gift Card or Novus Product Discount.
  • Review with no image -- $10/€7/£6/$10 CAD/¥70 Yuan/¥1110 Yen
  • Review with an image -- $25/€18/£15/$25 CAD/¥150 Yuan/¥2500 Yen

Product General Protocols

View specific protocols for GPR25 Antibody (NLS483): Find general support by application which include: protocols, troubleshooting, illustrated assays, videos and webinars.

FAQs for GPR25 Antibody (NLS483) (0)

There are no specific FAQs related to this product. Read our general customer & technical service FAQs.

Secondary Antibodies

 

Isotype Controls

Additional GPR25 Products

Array NLS483

Research Areas for GPR25 Antibody (NLS483)

Find related products by research area.

Blogs on GPR25

There are no specific blogs for GPR25, but you can read our latest blog posts.

Contact Information

Product PDFs

Calculators

Concentration Calculator

The concentration calculator allows you to quickly calculate the volume, mass or concentration of your vial. Simply enter your mass, volume, or concentration values for your reagent and the calculator will determine the rest.

=
÷

Review this Product

Be the first to review our GPR25 Antibody and receive a gift card or discount.

Bioinformatics

Gene Symbol GPR25
Entrez