Glutathione S-Transferase mu 1/GSTM1 Antibody (1H4A4)

Images

 
Western Blot: Glutathione S-Transferase mu 1/GSTM1 Antibody (1H4A4) [NBP2-22185] - Western blot analysis using GSTM1 mouse mAb against Cos7 (1), MCF-7 (2), Jurkat (3), Hela (4), HL7702 (5) and HepG2 (6) cell lysate.
Immunohistochemistry-Paraffin: Glutathione S-Transferase mu 1/GSTM1 Antibody (1H4A4) [NBP2-22185] - Immunohistochemical analysis of paraffin-embedded rectum cancer tissues using GSTM1 mouse mAb with DAB staining.
Flow Cytometry: Glutathione S-Transferase mu 1/GSTM1 Antibody (1H4A4) [NBP2-22185] - Flow cytometric analysis of Jurkat cells using GSTM1 mouse mAb (green) and negative control (red).
Western Blot: Glutathione S-Transferase mu 1/GSTM1 Antibody (1H4A4) [NBP2-22185] - Western blot analysis using GSTM1 mAb against human GSTM1 (AA: 23-181) recombinant protein. (Expected MW is 25.7 kDa)
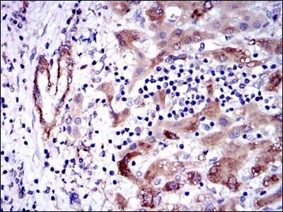
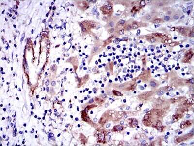
Immunohistochemistry-Paraffin: Glutathione S-Transferase mu 1/GSTM1 Antibody (1H4A4) [NBP2-22185] - Immunohistochemical analysis of paraffin-embedded liver cancer tissues using GSTM1 mouse mAb with DAB staining.
ELISA: Glutathione S-Transferase mu 1/GSTM1 Antibody (1H4A4) [NBP2-22185] - Red: Control Antigen (100ng); Purple: Antigen (10ng); Green: Antigen (50ng); Blue: Antigen (100ng)

Order Details


    • Catalog Number
      NBP2-22185
    • Availability
      Product Discontinued

    Can't find what you are looking for? Use our Antibody Concierge Service & we will help you locate your antibody!

    Or feel free to contact us for alternative products.

Glutathione S-Transferase mu 1/GSTM1 Antibody (1H4A4) Summary

Immunogen
Purified recombinant fragment of human GSTM1 expressed in E. Coli.
Localization
Cytoplasm
Isotype
IgG1
Clonality
Monoclonal
Host
Mouse
Gene
GSTM1
Purity
Unpurified
Innovator's Reward
Test in a species/application not listed above to receive a full credit towards a future purchase.

Applications/Dilutions

Dilutions
  • ELISA 1:10000
  • Flow Cytometry 1:200-1:400
  • Immunohistochemistry 1:10-1:500
  • Immunohistochemistry-Paraffin 1:200-1:1000
  • Western Blot 1:500-1:2000
Theoretical MW
26 kDa.
Disclaimer note: The observed molecular weight of the protein may vary from the listed predicted molecular weight due to post translational modifications, post translation cleavages, relative charges, and other experimental factors.

Packaging, Storage & Formulations

Storage
Store at 4C short term. Aliquot and store at -20C long term. Avoid freeze-thaw cycles.
Buffer
Ascites
Preservative
0.03% Sodium Azide
Purity
Unpurified

Alternate Names for Glutathione S-Transferase mu 1/GSTM1 Antibody (1H4A4)

  • EC 2.5.1.18
  • glutathione S-alkyltransferase
  • glutathione S-aralkyltransferase
  • glutathione S-aryltransferase
  • glutathione S-transferase M1
  • Glutathione STransferase mu 1
  • Glutathione S-Transferase mu 1
  • GST class-mu 1
  • GST HB subunit 4
  • GST1
  • GSTM1
  • GSTM1-1
  • GSTM1a-1a
  • GSTM1b-1b
  • GTH4
  • GTM1
  • HB subunit 4
  • H-B
  • MGC26563
  • MU
  • MU-1
  • S-(hydroxyalkyl)glutathione lyase

Background

Cytosolic and membrane-bound forms of glutathione S-transferase are encoded by two distinct supergene families. At present, eight distinct classes of the soluble cytoplasmic mammalian glutathione S-transferases have been identified: alpha, kappa, mu, omega, pi, sigma, theta and zeta. This gene encodes a glutathione S-transferase that belongs to the mu class. The mu class of enzymes functions in the detoxification of electrophilic compounds, including carcinogens, therapeutic drugs, environmental toxins and products of oxidative stress, by conjugation with glutathione. The genes encoding the mu class of enzymes are organized in a gene cluster on chromosome 1p13.3 and are known to be highly polymorphic. These genetic variations can change an individual's susceptibility to carcinogens and toxins as well as affect the toxicity and efficacy of certain drugs. Null mutations of this class mu gene have been linked with an increase in a number of cancers, likely due to an increased susceptibility to environmental toxins and carcinogens. Multiple protein isoforms are encoded by transcript variants of this gene.

Limitations

This product is for research use only and is not approved for use in humans or in clinical diagnosis. Primary Antibodies are guaranteed for 1 year from date of receipt.

Customers Who Viewed This Item Also Viewed...

NBP1-32733
Species: Hu, Mu, Rt
Applications: IHC,  IHC-P, IP, WB
NBP2-16686
Species: Hu
Applications: ICC/IF, IHC,  IHC-P, KO, WB
NBP2-49118
Species: Hu
Applications: IHC,  IHC-P
NBP2-16756
Species: Hu, Mu, Rt
Applications: ICC/IF, IHC, IHC-Fr,  IHC-P, WB
NB100-74398
Species: Hu, Mu, Pm, Rt
Applications: ICC/IF, IHC,  IHC-P, WB
NBP1-33751
Species: Hu
Applications: IHC,  IHC-P, WB
NBP1-92167
Species: Hu
Applications: ICC/IF, IHC,  IHC-P, WB
NBP2-59311
Species: Hu, Mu, Rt
Applications: ICC/IF, IHC, WB
NBP1-85367
Species: Hu, Mu, Rt
Applications: ICC/IF, IHC,  IHC-P, WB
NBP2-44520
Species: Ca(-), Hu, Rt(-)
Applications: Flow-IC, Flow, ICC/IF, IF, IHC,  IHC-P, MI, WB
NBP3-47902
Species: Hu, Mu, Rt
Applications: ELISA, IHC, WB
NB100-74635
Species: Hu
Applications: IHC,  IHC-P, IP, WB (-)
NBP2-30949
Species: Hu
Applications: IHC,  IHC-P
NBP1-97512
Species: Mu
Applications: ICC/IF, IHC, IHC-Fr,  IHC-P, IP, WB
NBP1-81293
Species: Hu
Applications: ICC/IF, IHC,  IHC-P, KD, WB
NBP1-62583
Species: Hu
Applications: WB
NB200-209
Species: Ca, Hu, Mu, Pm, Rt
Applications: Flow-IC, Flow, ICC/IF, IHC, IHC-Fr,  IHC-P, IP, Simple Western, WB
NBP1-83969
Species: Hu
Applications: IHC,  IHC-P, WB

Publications for Glutathione S-Transferase mu 1/GSTM1 Antibody (NBP2-22185) (0)

There are no publications for Glutathione S-Transferase mu 1/GSTM1 Antibody (NBP2-22185).
By submitting your publication information earn gift cards and discounts for future purchases.

Reviews for Glutathione S-Transferase mu 1/GSTM1 Antibody (NBP2-22185) (0)

There are no reviews for Glutathione S-Transferase mu 1/GSTM1 Antibody (NBP2-22185). By submitting a review you will receive an Amazon e-Gift Card or Novus Product Discount.
  • Review with no image -- $10/€7/£6/$10 CAD/¥70 Yuan/¥1110 Yen
  • Review with an image -- $25/€18/£15/$25 CAD/¥150 Yuan/¥2500 Yen

Product General Protocols

Find general support by application which include: protocols, troubleshooting, illustrated assays, videos and webinars.

Video Protocols

WB Video Protocol

FAQs for Glutathione S-Transferase mu 1/GSTM1 Antibody (NBP2-22185) (0)

There are no specific FAQs related to this product. Read our general customer & technical service FAQs.

Secondary Antibodies

 

Isotype Controls

Additional Glutathione S-Transferase mu 1/GSTM1 Products

Research Areas for Glutathione S-Transferase mu 1/GSTM1 Antibody (NBP2-22185)

Find related products by research area.

Blogs on Glutathione S-Transferase mu 1/GSTM1

There are no specific blogs for Glutathione S-Transferase mu 1/GSTM1, but you can read our latest blog posts.

Contact Information

Product PDFs

Calculators

Concentration Calculator

The concentration calculator allows you to quickly calculate the volume, mass or concentration of your vial. Simply enter your mass, volume, or concentration values for your reagent and the calculator will determine the rest.

=
÷

Review this Product

Be the first to review our Glutathione S-Transferase mu 1/GSTM1 Antibody (1H4A4) and receive a gift card or discount.

Bioinformatics

Gene Symbol GSTM1