GIMAP4 Antibody (OTI1A11) - Azide and BSA Free

Images

 
Western Blot: GIMAP4 Antibody (OTI1A11) - Azide and BSA Free [NBP2-71996] - Analysis of HEK293T cells were transfected with the pCMV6-ENTRY control (Left lane) or pCMV6-ENTRY GIMAP4 .
Immunocytochemistry/ Immunofluorescence: GIMAP4 Antibody (OTI1A11) - Azide and BSA Free [NBP2-71996] - Analysis of COS7 cells transiently transfected by pCMV6-ENTRY GIMAP4.
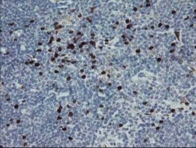
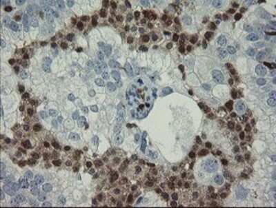
Immunohistochemistry: GIMAP4 Antibody (OTI1A11) - Azide and BSA Free [NBP2-71996] - Analysis of Human tonsil tissue.
Immunohistochemistry: GIMAP4 Antibody (OTI1A11) - Azide and BSA Free [NBP2-71996] - Analysis of Adenocarcinoma of Human endometrium tissue.
Immunohistochemistry: GIMAP4 Antibody (OTI1A11) - Azide and BSA Free [NBP2-71996] - Analysis of Adenocarcinoma of Human ovary tissue.
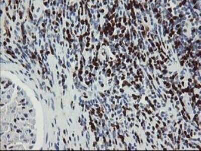
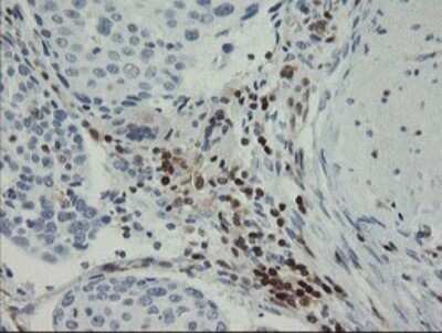
Immunohistochemistry: GIMAP4 Antibody (OTI1A11) - Azide and BSA Free [NBP2-71996] - Analysis of Carcinoma of Human bladder tissue.
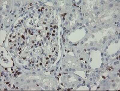
Immunohistochemistry: GIMAP4 Antibody (OTI1A11) - Azide and BSA Free [NBP2-71996] - Analysis of Carcinoma of Human kidney tissue.
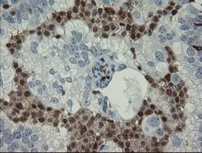
Immunohistochemistry: GIMAP4 Antibody (OTI1A11) - Azide and BSA Free [NBP2-71996] - Analysis of Carcinoma of Human pancreas tissue.
Immunohistochemistry: GIMAP4 Antibody (OTI1A11) - Azide and BSA Free [NBP2-71996] - Analysis of Human Kidney tissue.
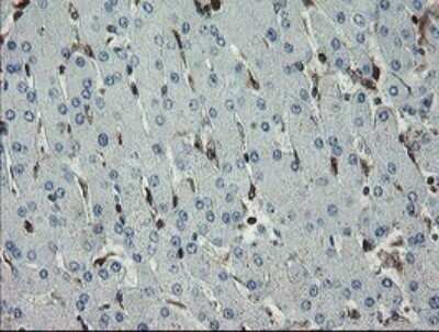
Immunohistochemistry: GIMAP4 Antibody (OTI1A11) - Azide and BSA Free [NBP2-71996] - Analysis of Human liver tissue within the normal limits using GIMAP4 mouse monoclonal antibody.
Immunohistochemistry: GIMAP4 Antibody (OTI1A11) - Azide and BSA Free [NBP2-71996] - Analysis of Human lymphoma tissue using GIMAP4 mouse monoclonal antibody.
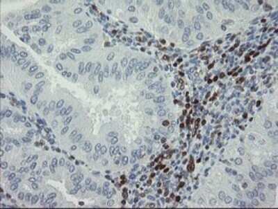
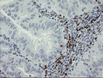
Immunohistochemistry: GIMAP4 Antibody (OTI1A11) - Azide and BSA Free [NBP2-71996] - Analysis of Human Ovary tissue.

Product Details

Summary
Reactivity HuSpecies Glossary
Applications WB, ICC/IF, IHC
Clone
OTI1A11
Clonality
Monoclonal
Host
Mouse
Conjugate
Unconjugated
Format
Azide and BSA Free
Concentration
LYOPH

Order Details

GIMAP4 Antibody (OTI1A11) - Azide and BSA Free Summary

Description
Novus Biologicals Mouse GIMAP4 Antibody (OTI1A11) - Azide and BSA Free (NBP2-45854) is a monoclonal antibody validated for use in IHC, WB and ICC/IF. All Novus Biologicals antibodies are covered by our 100% guarantee.
Immunogen
Full length human recombinant protein of human GIMAP4(NP_060796) produced in HEK293T cell.
Isotype
IgG1
Clonality
Monoclonal
Host
Mouse
Gene
GIMAP4
Purity
Immunogen affinity purified
Innovator's Reward
Test in a species/application not listed above to receive a full credit towards a future purchase.

Applications/Dilutions

Dilutions
  • Immunocytochemistry/ Immunofluorescence 1:100
  • Immunohistochemistry 1:150
  • Immunohistochemistry-Paraffin
  • Western Blot 1:2000
Theoretical MW
37.4 kDa.
Disclaimer note: The observed molecular weight of the protein may vary from the listed predicted molecular weight due to post translational modifications, post translation cleavages, relative charges, and other experimental factors.

Packaging, Storage & Formulations

Storage
Store at -20C. Avoid freeze-thaw cycles.
Buffer
Lyophilized from PBS (pH 7.3) with 8% Trehalose
Preservative
No Preservative
Concentration
LYOPH
Purity
Immunogen affinity purified
Reconstitution Instructions
we recommend adding 100uL distilled water to a final antibody concentration of about 1 mg/mL. To use this carrier-free antibody for conjugation experiment, we strongly recommend performing another round of desalting process.

Alternate Names for GIMAP4 Antibody (OTI1A11) - Azide and BSA Free

  • GTPase IMAP family member 4
  • GTPase, IMAP family member 4
  • HIMAP4
  • human immune associated nucleotide 1
  • IAN-1
  • IAN1FLJ11110
  • IMAP4hIAN1
  • immunity associated protein 4
  • Immunity-associated nucleotide 1 protein
  • Immunity-associated protein 4

Background

GIMAP4 encodes a protein belonging to the GTP-binding superfamily and to the immuno-associated nucleotide (IAN) subfamily of nucleotide-binding proteins. The encoded protein of this gene may be negatively regulated by T-cell acute lymphocytic leukemia 1 (TAL1). In humans, the IAN subfamily genes are located in a cluster at 7q36.1. [provided by RefSeq]

Limitations

This product is for research use only and is not approved for use in humans or in clinical diagnosis. Primary Antibodies are guaranteed for 1 year from date of receipt.

Customers Who Viewed This Item Also Viewed...

NBP1-31165
Species: Hu
Applications: IHC,  IHC-P, WB
AF3428
Species: Hu
Applications: ICC, Simple Western, WB
NBP3-16006
Species: Hu
Applications: ELISA, IHC,  IHC-P, WB
NBP2-01488
Species: Hu, Mu, Rt
Applications: Flow, ICC/IF, IHC,  IHC-P, WB
NBP1-49045
Species: Mu, Rt
Applications: Cell Depl, CyTOF-ready, Flow, ICC/IF, IHC, IHC-Fr,  IHC-P, IP, InhibTFunc
NBP1-19371
Species: Ca, Hu, Mu, Po, Rb, Rt
Applications: Dual ISH-IHC, Flow, ICC/IF, IHC, IHC-Fr,  IHC-P, Simple Western, WB
H00005729-B01P
Species: Hu
Applications: Flow, ICC/IF, WB
NBP2-48836
Species: Ca, Hu
Applications: ICC/IF, IHC,  IHC-P
NBP1-85059
Species: Hu
Applications: IHC,  IHC-P, WB
H00004068-M01
Species: Hu, Mu
Applications: ELISA, Flow, Func, WB
NBP2-14871
Species: Mu, Rt
Applications: ICC/IF, WB
NB120-2860
Species: Ba, Bv, Ch, Hu, Mu, Rt
Applications: ELISA, Flow, ICC/IF, IHC,  IHC-P, WB
NB600-1441
Species: Ca, Hu, Mu, Po
Applications: Flow, ICC/IF, IHC, IHC-Fr,  IHC-P, KD
NBP2-15669
Species: Mu, Rt, Ze
Applications: IHC-WhMt, IHC, WB
202-IL
Species: Hu
Applications: BA

Publications for GIMAP4 Antibody (NBP2-71996) (0)

There are no publications for GIMAP4 Antibody (NBP2-71996).
By submitting your publication information earn gift cards and discounts for future purchases.

Reviews for GIMAP4 Antibody (NBP2-71996) (0)

There are no reviews for GIMAP4 Antibody (NBP2-71996). By submitting a review you will receive an Amazon e-Gift Card or Novus Product Discount.
  • Review with no image -- $10/€7/£6/$10 CAD/¥70 Yuan/¥1110 Yen
  • Review with an image -- $25/€18/£15/$25 CAD/¥150 Yuan/¥2500 Yen

Product General Protocols

Find general support by application which include: protocols, troubleshooting, illustrated assays, videos and webinars.

Video Protocols

WB Video Protocol
ICC/IF Video Protocol

FAQs for GIMAP4 Antibody (NBP2-71996) (0)

There are no specific FAQs related to this product. Read our general customer & technical service FAQs.

Customers Who Bought This Also Bought

Contact Information

Product PDFs

Calculators

Concentration Calculator

The concentration calculator allows you to quickly calculate the volume, mass or concentration of your vial. Simply enter your mass, volume, or concentration values for your reagent and the calculator will determine the rest.

=
÷

Review this Product

Be the first to review our GIMAP4 Antibody (OTI1A11) - Azide and BSA Free and receive a gift card or discount.

Bioinformatics

Gene Symbol GIMAP4