GBP1 Antibody (GBP1/7617) - Azide and BSA Free

Images

 
IHC analysis of formalin-fixed, paraffin-embedded human lymph node. GBP1 Antibody (GBP1/7617) - Azide and BSA Free. Inset: PBS instead of primary antibody; secondary only negative control.
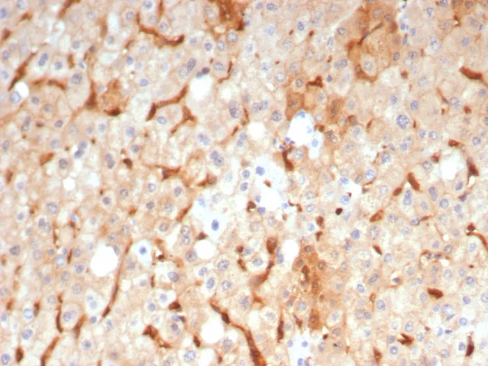
IHC analysis of formalin-fixed, paraffin-embedded human liver. GBP1 Antibody (GBP1/7617) - Azide and BSA Free. HIER: Tris/EDTA, pH9.0, 45min. 2°C: HRP-polymer, 30min. DAB, 5min.

Product Details

Summary
Reactivity HuSpecies Glossary
Applications IHC
Clone
GBP1/7617
Clonality
Monoclonal
Host
Mouse
Conjugate
Unconjugated
Format
Azide and BSA Free
Concentration
1 mg/ml

Order Details

GBP1 Antibody (GBP1/7617) - Azide and BSA Free Summary

Description
Antibody without azide - store at -20 to -80C. Non-hazardous. No MSDS required.
Immunogen
Recombinant fragment (around aa400-592) of human GBP1 protein (exact sequence is proprietary)
Localization
Cell membrane
Isotype
IgG1 Kappa
Clonality
Monoclonal
Host
Mouse
Gene
GBP1
Purity
Protein A or G purified
Innovator's Reward
Test in a species/application not listed above to receive a full credit towards a future purchase.

Applications/Dilutions

Dilutions
  • Immunohistochemistry-Paraffin 1-2ug/ml for 30 minutes at RT
Application Notes
Immunohistochemistry-Paraffin 1-2ug/ml for 30 minutes at RT. Optimal dilution for a specific application should be determined.. Staining of formalin-fixed tissues requires heating tissue sections in 10mM Tris with 1mM EDTA, pH 9.0, for 45 min at 95C followed by cooling at RT for 20 minutes

Packaging, Storage & Formulations

Storage
Store at -20 to -80C. Avoid freeze-thaw cycles.
Buffer
10mM PBS
Preservative
No Preservative
Concentration
1 mg/ml
Purity
Protein A or G purified

Alternate Names for GBP1 Antibody (GBP1/7617) - Azide and BSA Free

  • GBP-1
  • GTP-binding protein 1
  • Guanine nucleotide-binding protein 1
  • guanylate binding protein 1, interferon-inducible
  • guanylate binding protein 1, interferon-inducible, 67kDa
  • huGBP-1
  • interferon-induced guanylate-binding protein 1

Background

Guanylate binding protein expression is induced by interferon. Guanylate binding proteins are characterized by their ability to specifically bind guanine nucleotides (GMP, GDP, and GTP) and are distinguished from the GTP-binding proteins by the presence of 2 binding motifs rather than 3. [provided by RefSeq]

Limitations

This product is for research use only and is not approved for use in humans or in clinical diagnosis. Primary Antibodies are guaranteed for 1 year from date of receipt.

Customers Who Viewed This Item Also Viewed...

485-MI
Species: Mu
Applications: BA
NBP1-47768
Species: Hu
Applications: Flow, ICC/IF, IHC,  IHC-P, WB
NBP3-16858
Species: Hu, Mu, Rt
Applications: IHC,  IHC-P, WB
NBP1-83387
Species: Hu, Mu
Applications: ICC/IF, IHC,  IHC-P, KD, WB
AF1152
Species: Hu
Applications: CyTOF-ready, IHC, ICFlow, Simple Western, WB
NBP2-75930
Species: Hu, Mu, Rt
Applications: Flow, ICC/IF, IHC,  IHC-P, WB
AF2894
Species: Hu, Mu
Applications: CyTOF-ready, ICFlow, Simple Western, WB
NBP2-72343
Species: Hu, Pm
Applications: CyTOF-ready, Flow, ICC/IF, WB
DIP100
Species: Hu
Applications: ELISA
H00002537-P01
Species: Hu
Applications: ELISA, AP, PA, WB
H00051062-M03
Species: Hu, Mu, Rt
Applications: ELISA, IHC,  IHC-P, WB
NBP1-31714
Species: Hu
Applications: ICC/IF, IHC,  IHC-P, WB
NBP1-32905
Species: Bv, Hu, Pm, Rb
Applications: ICC/IF, IHC, IHC-Fr,  IHC-P, WB
6507-IL/CF
Species: Hu
Applications: BA
NB100-2176
Species: Hu, Mu, Rt
Applications: ChIP, ICC/IF, IHC,  IHC-P, IP, WB
NBP1-90014
Species: Hu, Mu, Rt
Applications: ICC/IF, IHC,  IHC-P, WB

Publications for GBP1 Antibody (NBP3-26937) (0)

There are no publications for GBP1 Antibody (NBP3-26937).
By submitting your publication information earn gift cards and discounts for future purchases.

Reviews for GBP1 Antibody (NBP3-26937) (0)

There are no reviews for GBP1 Antibody (NBP3-26937). By submitting a review you will receive an Amazon e-Gift Card or Novus Product Discount.
  • Review with no image -- $10/€7/£6/$10 CAD/¥70 Yuan/¥1110 Yen
  • Review with an image -- $25/€18/£15/$25 CAD/¥150 Yuan/¥2500 Yen

Product General Protocols

Find general support by application which include: protocols, troubleshooting, illustrated assays, videos and webinars.

FAQs for GBP1 Antibody (NBP3-26937) (0)

There are no specific FAQs related to this product. Read our general customer & technical service FAQs.

Secondary Antibodies

 

Isotype Controls

Additional GBP1 Products

Research Areas for GBP1 Antibody (NBP3-26937)

Find related products by research area.

Blogs on GBP1

There are no specific blogs for GBP1, but you can read our latest blog posts.

Customers Who Bought This Also Bought

Contact Information

Product PDFs

Calculators

Concentration Calculator

The concentration calculator allows you to quickly calculate the volume, mass or concentration of your vial. Simply enter your mass, volume, or concentration values for your reagent and the calculator will determine the rest.

=
÷

Review this Product

Be the first to review our GBP1 Antibody (GBP1/7617) - Azide and BSA Free and receive a gift card or discount.

Bioinformatics

Gene Symbol GBP1