CYP4V2 Antibody

Images

 
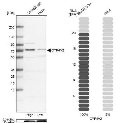
Orthogonal Strategies: Western Blot: CYP4V2 Antibody [NBP1-85361] - Analysis in human cell line SK-MEL-30 and human cell line HeLa.
Immunohistochemistry-Paraffin: CYP4V2 Antibody [NBP1-85361] - Staining of human skeletal muscle shows very weak positivity in myocytes.
Immunohistochemistry-Paraffin: CYP4V2 Antibody [NBP1-85361] - Staining of human liver shows moderate cytoplasmic positivity in hepatocytes.
Immunohistochemistry-Paraffin: CYP4V2 Antibody [NBP1-85361] - Staining of human gastrointestinal shows moderate cytoplasmic positivity in glandular cells.
Immunohistochemistry-Paraffin: CYP4V2 Antibody [NBP1-85361] - Staining of human kidney shows weak cytoplasmic positivity in cells in tubules.

Product Details

Summary
Product Discontinued
View other related CYP4V2 Primary Antibodies
Validated by:
       

Orthogonal Strategies

 

Order Details


    • Catalog Number
      NBP1-85361
    • Availability
      Product Discontinued

    Can't find what you are looking for? Use our Antibody Concierge Service & we will help you locate your antibody!

    Or feel free to contact us for alternative products.

CYP4V2 Antibody Summary

Immunogen
This antibody was developed against Recombinant Protein corresponding to amino acids: AQSNDDSEYVRAVYRMSEMIFRRIKMPWLWLDLWYLMFKEGWEHKKSLQILHTFTNSVIAERANEMNANEDCRGDGRGSAPSKNKRRAFLDLLLSVTDDEGNRLSHEDIREEVDTFMFEGHDTTAAAINWSLYLLGSNPEVQK
Isotype
IgG
Clonality
Polyclonal
Host
Rabbit
Gene
CYP4V2
Purity
Immunogen affinity purified
Innovator's Reward
Test in a species/application not listed above to receive a full credit towards a future purchase.

Applications/Dilutions

Dilutions
  • Immunohistochemistry 1:20 - 1:50
  • Immunohistochemistry-Paraffin 1:50 - 1:200
  • Western Blot 0.04-0.4 ug/ml
Application Notes
For IHC-Paraffin, HIER pH 6 retrieval is recommended.

Reactivity Notes

Immunogen displays the following percentage of sequence identity for non-tested species: Mouse (80%), Rat (80%)

Packaging, Storage & Formulations

Storage
Store at 4C short term. Aliquot and store at -20C long term. Avoid freeze-thaw cycles.
Buffer
PBS (pH 7.2) and 40% Glycerol
Preservative
0.02% Sodium Azide
Purity
Immunogen affinity purified

Alternate Names for CYP4V2 Antibody

  • BCD
  • CYP4AH1
  • cytochrome P450 4V2
  • cytochrome P450, family 4, subfamily V, polypeptide 2
  • EC 1.14
  • EC 1.14.14.1
  • FLJ18432
  • MGC43534

Limitations

This product is for research use only and is not approved for use in humans or in clinical diagnosis. Primary Antibodies are guaranteed for 1 year from date of receipt.

Customers Who Viewed This Item Also Viewed...

NBP1-89290
Species: Hu, Mu, Rt
Applications: ICC/IF, IHC,  IHC-P, WB
NBP2-44421
Species: Hu
Applications: Flow, ICC/IF, IF, IHC,  IHC-P, Simple Western, WB
NBP2-92924
Species: Hu, Mu, Rt
Applications: ICC/IF, IHC,  IHC-P, WB
NBP1-77009
Species: Mu, Rt
Applications: ELISA, ICC/IF, IHC,  IHC-P, WB
MAB7616
Species: Hu
Applications: CyTOF-ready, Flow, WB
AF3880
Species: Hu
Applications: ICC, WB
NBP2-45731
Species: Ca, Hu, Pm
Applications: IHC,  IHC-P, WB
NBP1-33202
Species: Hu, Mu
Applications: ICC/IF, IP, WB
NBP2-67416
Species: Hu, Mu, Rt
Applications: ICC/IF, IHC,  IHC-P, WB
AF2460
Species: Hu
Applications: IP, Neut, WB
PP-H6506-00
Species: Hu
Applications: DirELISA, IP, WB
NBP2-85922
Species: Hu
Applications: WB
NBP2-24503
Species: Hu, Mu
Applications: ICC/IF, IHC,  IHC-P, IP, WB
NBP2-67375
Species: Hu, Mu, Rt
Applications: ChIP, ICC/IF, IHC,  IHC-P, WB
NBP1-89146
Species: Hu
Applications: ICC/IF, IHC,  IHC-P
AF7550
Species: Hu
Applications: IP, KO, WB

Publications for CYP4V2 Antibody (NBP1-85361) (0)

There are no publications for CYP4V2 Antibody (NBP1-85361).
By submitting your publication information earn gift cards and discounts for future purchases.

Reviews for CYP4V2 Antibody (NBP1-85361) (0)

There are no reviews for CYP4V2 Antibody (NBP1-85361). By submitting a review you will receive an Amazon e-Gift Card or Novus Product Discount.
  • Review with no image -- $10/€7/£6/$10 CAD/¥70 Yuan/¥1110 Yen
  • Review with an image -- $25/€18/£15/$25 CAD/¥150 Yuan/¥2500 Yen

Product General Protocols

Find general support by application which include: protocols, troubleshooting, illustrated assays, videos and webinars.

Video Protocols

WB Video Protocol

FAQs for CYP4V2 Antibody (NBP1-85361) (0)

There are no specific FAQs related to this product. Read our general customer & technical service FAQs.

Contact Information

Product PDFs

Calculators

Concentration Calculator

The concentration calculator allows you to quickly calculate the volume, mass or concentration of your vial. Simply enter your mass, volume, or concentration values for your reagent and the calculator will determine the rest.

=
÷

Review this Product

Be the first to review our CYP4V2 Antibody and receive a gift card or discount.

Bioinformatics

Gene Symbol CYP4V2