Cyclophilin B Antibody (CL3915) - Azide and BSA Free

Images

 
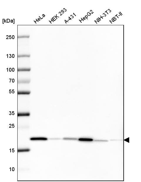
Analysis in human cell line HeLa, human cell line HEK 293, human cell line A-431, human cell line HepG2, mouse cell line NIH-3T3 and rat cell line NBT-II.
Genetic Strategies: Analysis in U-251MG cells transfected with control siRNA, target specific siRNA probe #1 and #2, using Anti-Cyclophilin B antibody. Remaining relative intensity is presented. Loading control: ...read more

Product Details

Summary
Reactivity Hu, Mu, RtSpecies Glossary
Applications WB
Clone
CL3915
Clonality
Monoclonal
Host
Mouse
Conjugate
Unconjugated
Format
Azide and BSA Free
Concentration
LYOPH
Validated by:
     

Genetic Strategies

   

Order Details

Cyclophilin B Antibody (CL3915) - Azide and BSA Free Summary

Description
Novus Biologicals Mouse Cyclophilin B Antibody (CL3915) - Azide and BSA Free (NBP2-59782) is a monoclonal antibody validated for use in WB. All Novus Biologicals antibodies are covered by our 100% guarantee.
Immunogen
This antibody was generated using a synthetic peptide of P23284, with the exact immunogen sequence remaining proprietary.
Isotype
IgG2b
Clonality
Monoclonal
Host
Mouse
Gene
PPIB
Purity
Protein A purified
Innovator's Reward
Test in a species/application not listed above to receive a full credit towards a future purchase.

Applications/Dilutions

Dilutions
  • Western Blot 1 ug/ml
Application Notes
For IHC-Paraffin, HIER pH 6 retrieval is recommended.

Packaging, Storage & Formulations

Storage
Store at 4C short term. Aliquot and store at -20C long term. Avoid freeze-thaw cycles.
Buffer
Lyophilized from a 0.2 um filtered solution in PBS with Trehalose
Preservative
No Preservative
Concentration
LYOPH
Purity
Protein A purified
Reconstitution Instructions
Centrifuge the vial of lyophilized antibody at 12,000 x g for 20 seconds. Reconstitute by adding sterile, distilled water to achieve a final antibody concentration of 1mg/ml.

Alternate Names for Cyclophilin B Antibody (CL3915) - Azide and BSA Free

  • Cyclophilin B
  • cyclophilin-like protein
  • CYPB
  • CYPBEC 5.2.1.8
  • CYP-S1
  • MGC2224
  • OI9MGC14109
  • peptidyl-prolyl cis-trans isomerase B
  • peptidylprolyl isomerase B (cyclophilin B)
  • PPIase B
  • PPIB
  • Rotamase B
  • S-cyclophilin
  • SCYLP

Limitations

This product is for research use only and is not approved for use in humans or in clinical diagnosis. Primary Antibodies are guaranteed for 1 year from date of receipt.

Customers Who Viewed This Item Also Viewed...

NBP1-85358
Species: Hu, Mu, Rt
Applications: ICC/IF, IHC,  IHC-P, KD, Simple Western, WB
H00064175-B01P
Species: Hu, Mu
Applications: ICC/IF, IHC, WB
NBP1-30993
Species: Ha, Hu, Mu, Rt
Applications: ICC/IF, IHC,  IHC-P, KD, WB
NBP1-94105
Species: Hu, Mu, Rt
Applications: ICC/IF, IHC,  IHC-P, WB
NBP3-00253
Species: Hu
Applications: ELISA, IHC,  IHC-P, IP, WB
NBP2-49242
Species: Hu
Applications: IHC,  IHC-P, WB
NBP1-30993
Species: Ha, Hu, Mu, Rt
Applications: ICC/IF, IHC,  IHC-P, KD, WB
MAB3777
Species: Hu, Mu, Rt
Applications: WB
AF972
Species: Hu
Applications: ELISA, IHC, KO, Simple Western, WB
NB110-96874
Species: Ca, Ha, Hu, Mu, Rt
Applications: ICC/IF, IHC,  IHC-P, IP, WB
AF4094
Species: Hu, Mu, Rt
Applications: IHC, KO, Simple Western, WB
MAB4356
Species: Hu, Mu, Rt
Applications: WB
NBP2-92790
Species: Hu, Mu, Rt
Applications: ELISA, ICC/IF, IHC,  IHC-P, WB
NBP1-85360
Species: Hu
Applications: ICC/IF, IHC,  IHC-P, WB
AF4174
Species: Hu, Mu, Rt
Applications: IHC, Simple Western, WB
NBP1-87929
Species: Hu, Mu, Rt
Applications: ICC/IF, IHC,  IHC-P, WB
NB600-408
Species: Bv, Hu, Mu, Po, Rb, Rt
Applications: ELISA, FLISA, ICC/IF, IHC, IHC-Fr,  IHC-P, IP, KD, MiAr, PAGE, WB
NBP1-83889
Species: Hu
Applications: ICC/IF, IHC,  IHC-P, KD, WB
NBP1-88766
Species: Hu
Applications: ICC/IF, IHC,  IHC-P, WB
NBP2-13794
Species: Hu
Applications: ICC/IF, IHC,  IHC-P, WB

Publications for Cyclophilin B Antibody (NBP3-44067) (0)

There are no publications for Cyclophilin B Antibody (NBP3-44067).
By submitting your publication information earn gift cards and discounts for future purchases.

Reviews for Cyclophilin B Antibody (NBP3-44067) (0)

There are no reviews for Cyclophilin B Antibody (NBP3-44067). By submitting a review you will receive an Amazon e-Gift Card or Novus Product Discount.
  • Review with no image -- $10/€7/£6/$10 CAD/¥70 Yuan/¥1110 Yen
  • Review with an image -- $25/€18/£15/$25 CAD/¥150 Yuan/¥2500 Yen

Product General Protocols

Find general support by application which include: protocols, troubleshooting, illustrated assays, videos and webinars.

Video Protocols

WB Video Protocol

FAQs for Cyclophilin B Antibody (NBP3-44067) (0)

There are no specific FAQs related to this product. Read our general customer & technical service FAQs.

Secondary Antibodies

 

Isotype Controls

Additional Cyclophilin B Products

Research Areas for Cyclophilin B Antibody (NBP3-44067)

Find related products by research area.

Blogs on Cyclophilin B

There are no specific blogs for Cyclophilin B, but you can read our latest blog posts.

Customers Who Bought This Also Bought

Contact Information

Product PDFs

Calculators

Concentration Calculator

The concentration calculator allows you to quickly calculate the volume, mass or concentration of your vial. Simply enter your mass, volume, or concentration values for your reagent and the calculator will determine the rest.

=
÷

Review this Product

Be the first to review our Cyclophilin B Antibody (CL3915) - Azide and BSA Free and receive a gift card or discount.

Bioinformatics

Gene Symbol PPIB