CLPS Antibody (CLPS/9021) - Azide and BSA Free

Images

 
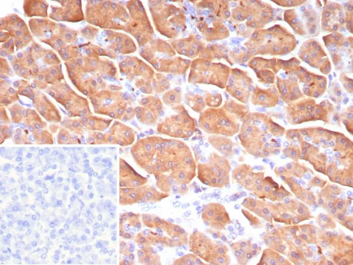
Immunohistochemistry-Paraffin: CLPS Antibody (CLPS/9021) - Azide and BSA Free [NBP3-24278] - Formalin-fixed, paraffin-embedded human pancreas stained with CLPS Antibody (CLPS/9021). Inset: PBS instead of primary ...read more
Western Blot Analysis of human Pancreas tissue lysate using CLPS Antibody (CLPS/9021) - Azide and BSA Free.

Product Details

Summary
Reactivity HuSpecies Glossary
Applications IHC
Clone
CLPS/9021
Clonality
Monoclonal
Host
Mouse
Conjugate
Unconjugated
Format
Azide and BSA Free
Concentration
1 mg/ml

Order Details

CLPS Antibody (CLPS/9021) - Azide and BSA Free Summary

Description
Antibody without azide - store at -20 to -80C.
Immunogen
Recombinant fragment (around aa1-112) of human CLPS protein (exact sequence is proprietary)
Localization
Secreted.
Isotype
IgG1 Kappa
Clonality
Monoclonal
Host
Mouse
Gene
CLPS
Purity
Protein A or G purified
Innovator's Reward
Test in a species/application not listed above to receive a full credit towards a future purchase.

Applications/Dilutions

Dilutions
  • Immunohistochemistry-Paraffin 1-2ug/ml
Application Notes
Immunohistochemistry-Paraffin: 1-2ug/ml for 30 minutes at RT. Staining of formalin-fixed tissues requires heating tissue sections in 10mM Tris with 1mM EDTA, pH 9.0, for 45 min at 95C followed by cooling at RT for 20 minutes. Optimal dilution for a specific application should be determined.

Packaging, Storage & Formulations

Storage
Store at -20 to -80C. Avoid freeze-thaw cycles.
Buffer
10mM PBS
Preservative
No Preservative
Concentration
1 mg/ml
Purity
Protein A or G purified

Alternate Names for CLPS Antibody (CLPS/9021) - Azide and BSA Free

  • colipase
  • colipase, pancreatic
  • pancreatic colipase preproprotein

Background

The protein encoded by the CLPS gene is a cofactor needed by pancreatic lipase for efficient dietary lipid hydrolysis. It binds to the C-terminal, non-catalytic domain of lipase, thereby stabilizing an active conformation and considerably increasing the overall hydrophobic binding site. The gene product allows lipase to anchor noncovalently to the surface of lipid micelles, counteracting the destabilizing influence of intestinal bile salts. This cofactor is only expressed in pancreatic acinar cells, suggesting regulation of expression by tissue-specific elements.

Limitations

This product is for research use only and is not approved for use in humans or in clinical diagnosis. Primary Antibodies are guaranteed for 1 year from date of receipt.

Customers Who Viewed This Item Also Viewed...

NBP2-38962
Species: Hu
Applications: IHC,  IHC-P
NBP2-93552
Species: Mu, Rt
Applications: ICC/IF, IHC, WB
NBP1-89557
Species: Hu, Mu, Rt
Applications: ICC/IF, IHC, IHC-Fr,  IHC-P, KD, WB
NBP2-94066
Species: Hu, Mu, Rt
Applications: ICC/IF, IHC,  IHC-P, WB
MAB5018
Species: Hu
Applications: IP, WB
H00151056-B01P
Species: Hu, Mu
Applications: WB
MAB2669
Species: Hu
Applications: IHC, Simple Western, WB
NBP2-62664
Species: Hu
Applications: IHC,  IHC-P
NBP3-47382
Species: Hu, Mu, Rt
Applications: ELISA, IHC, WB
NBP1-88502
Species: Hu
Applications: IHC,  IHC-P
NBP2-46376
Species: Hu
Applications: IHC,  IHC-P, WB
MAB1417
Species: Bv, Hu, Mu
Applications: ICC, IHC
NBP1-81838
Species: Hu, Mu
Applications: IHC,  IHC-P, WB
AF1152
Species: Hu
Applications: CyTOF-ready, IHC, ICFlow, Simple Western, WB
NBP1-91928
Species: Hu
Applications: IHC,  IHC-P, WB
AF7197
Species: Hu, Mu
Applications: ICC, IHC, WB
NBP2-48988
Species: Hu
Applications: IHC,  IHC-P
H00008767-M02
Species: Hu, Mu, Rt
Applications: ELISA, IHC,  IHC-P, WB

Publications for CLPS Antibody (NBP3-24278) (0)

There are no publications for CLPS Antibody (NBP3-24278).
By submitting your publication information earn gift cards and discounts for future purchases.

Reviews for CLPS Antibody (NBP3-24278) (0)

There are no reviews for CLPS Antibody (NBP3-24278). By submitting a review you will receive an Amazon e-Gift Card or Novus Product Discount.
  • Review with no image -- $10/€7/£6/$10 CAD/¥70 Yuan/¥1110 Yen
  • Review with an image -- $25/€18/£15/$25 CAD/¥150 Yuan/¥2500 Yen

Product General Protocols

Find general support by application which include: protocols, troubleshooting, illustrated assays, videos and webinars.

FAQs for CLPS Antibody (NBP3-24278) (0)

There are no specific FAQs related to this product. Read our general customer & technical service FAQs.

Secondary Antibodies

 

Isotype Controls

Additional CLPS Products

Research Areas for CLPS Antibody (NBP3-24278)

Find related products by research area.

Blogs on CLPS

There are no specific blogs for CLPS, but you can read our latest blog posts.

Customers Who Bought This Also Bought

Contact Information

Product PDFs

Calculators

Concentration Calculator

The concentration calculator allows you to quickly calculate the volume, mass or concentration of your vial. Simply enter your mass, volume, or concentration values for your reagent and the calculator will determine the rest.

=
÷

Review this Product

Be the first to review our CLPS Antibody (CLPS/9021) - Azide and BSA Free and receive a gift card or discount.

Bioinformatics

Gene Symbol CLPS