Chorionic Gonadotropin beta Chain (hCG beta) Antibody (HCGb/54+ HCGb/459) - Azide and BSA Free

Images

 
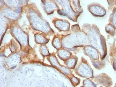
Immunohistochemistry-Paraffin: Chorionic Gonadotropin beta Chain (hCG beta) Antibody (HCGb/54+ HCGb/459) - Azide and BSA Free [NBP2-34632] - Formalin-fixed. paraffin-embedded human placenta stained with hCG beta Ab ...read more

Product Details

Summary
Reactivity HuSpecies Glossary
Applications IHC
Clone
HCGb/54+ HCGb/459
Clonality
Monoclonal
Host
Mouse
Conjugate
Unconjugated
Format
Azide and BSA Free
Concentration
1.0 mg/ml

Order Details

Chorionic Gonadotropin beta Chain (hCG beta) Antibody (HCGb/54+ HCGb/459) - Azide and BSA Free Summary

Description
1.0 mg/ml of antibody purified from Bioreactor Concentrate by Protein A/G. Prepared in 10mM PBS WITHOUT BSA & azide. Also available at 200 ug/ml WITH BSA & azide (NBP2-34238).

Antibody with azide - store at 2 to 8C. Antibody without azide - store at -20 to -80C.
Immunogen
Recombinant Chorionic Gonadotropin beta Chain (hCG beta) protein (HCGb/54 and HCGb/459) (Uniprot: P01233)
Localization
Cytoplasmic, secreted
Marker
Pregnancy & Choriocarcinoma Marker
Specificity
This monoclonal antibody reacts with a protein of 22kDa, identified as beta sub-unit of HCG. It does not cross react with the alpha sub-unit. HCG is a glycoprotein, which is secreted in large quantities by normal trophoblasts. It is present only in trace amounts in non-pregnant urine and sera but rises sharply during pregnancy. HCG is composed of two non-identical, non-covalently linked polypeptide chains designated as the subunit is identical to that of thyroid stimulating hormone (TSH) follicle stimulating hormone (FSH), and luteinizing hormone (LH). hCG monoclonal antibody detects cells and tumors of trophoblastic origin such as choriocarcinoma. Large cell carcinoma and adenocarcinoma of the lung demonstrate anti-hCG positivity in 90% and 60% of cases respectively. 20% of lung squamous cell carcinomas are positive. hCG expression by non-trophoblastic tumors may indicate aggressive behavior.
Isotype
IgG1 Kappa
Clonality
Monoclonal
Host
Mouse
Gene
CGB3
Purity
Protein A or G purified
Innovator's Reward
Test in a species/application not listed above to receive a full credit towards a future purchase.

Applications/Dilutions

Dilutions
  • Immunohistochemistry
  • Immunohistochemistry-Paraffin
Application Notes
Immunohistochemistry (Formalin-fixed): 1-2ug/ml for 30 minutes at RT. Staining of formalin-fixed tissues requires heating tissue sections in 10mM Tris with 1mM EDTA, pH 9.0, for 45 min at 95C followed by cooling at RT for 20 minutes.
Optimal dilution for a specific application should be determined.
Theoretical MW
22 kDa.
Disclaimer note: The observed molecular weight of the protein may vary from the listed predicted molecular weight due to post translational modifications, post translation cleavages, relative charges, and other experimental factors.
Publications
Read Publication using NBP2-34632.

Packaging, Storage & Formulations

Storage
Store at -20 to -80C. Avoid freeze-thaw cycles.
Buffer
10 mM PBS
Preservative
No Preservative
Concentration
1.0 mg/ml
Purity
Protein A or G purified

Alternate Names for Chorionic Gonadotropin beta Chain (hCG beta) Antibody (HCGb/54+ HCGb/459) - Azide and BSA Free

  • CGB
  • CGB3
  • CGB3choriogonadotropin subunit beta
  • CGB5
  • CGB7
  • CGB8
  • CG-Beta
  • Choriogonadotropin Subunit Beta
  • Chorionic gonadotrophin chain beta
  • chorionic gonadotropin beta 3 subunit
  • Chorionic Gonadotropin beta Chain
  • chorionic gonadotropin beta subunit
  • chorionic gonadotropin, beta polypeptide
  • hCGB

Background

Human chorionic gonadotropin (hCG) is a glycoprotein hormone produced by trophoblastic cells of the placenta beginning 10 to 12 days after conception. Maintenance of the fetus in the first trimester of pregnancy requires the production of hCG, which binds to the corpus luteum of the ovary which is stimulated to produce progesterone which in turn maintains the secretory endometrium. hCG is present only in trace amounts in non pregnant urine and sera. It rises sharply during pregnancy. HCG is composed of two non identical, non covalently linked polypeptide chains designated as the a and b subunits. The a subunit of HCG is nearly identical to that of thyroid stimulating hormone (TSH), follicle stimulating hormone (FSH) and luteinizing hormone (LH). A germ cell tumor which is positive for cytokeratin, placental alkaline phosphatase (PLAP) and HCG but negative for EMA and AFP is probably a choriocarcinoma.

Limitations

This product is for research use only and is not approved for use in humans or in clinical diagnosis. Primary Antibodies are guaranteed for 1 year from date of receipt.

Customers Who Viewed This Item Also Viewed...

NBP1-80782
Species: Hu
Applications: ICC/IF, IHC,  IHC-P, WB
AF4065
Species: Mu
Applications: IHC, WB
KA2332
Species: Mu, Rt
Applications: ELISA, QFN
MAB4169
Species: Hu
Applications: IHC, WB
NBP2-38770
Species: Hu, Mu
Applications:  IHC-P, WB
NB120-15160
Species: Hu, Mu, Rt
Applications: ICC/IF, IHC,  IHC-P, WB
NBP2-33498
Species: Hu
Applications: ICC/IF, IHC,  IHC-P
H00114336-M02
Species: Hu
Applications: ELISA, WB
NBP2-00521
Species: Hu
Applications: Flow, IHC,  IHC-P, WB
NB100-55735
Species: Bv, Ca, Ch, Hu, Mu, Pm
Applications: ICC/IF, IP, WB
NBP3-35061
Species: Hu, Mu, Rt
Applications: ELISA, ICC/IF, IP, WB
DY523B-05
Species: Hu
Applications: ELISA
NBP2-46477
Species: Ca, Hu, Pm, Mu, Rt
Applications: ICC/IF, IHC,  IHC-P, WB
NBP2-62693
Species: Hu
Applications: IHC,  IHC-P
NBP2-70360
Species: Hu
Applications: CyTOF-ready, Flow, IMC, ICC/IF, IHC,  IHC-P, WB
NBP3-35390
Species: Hu, Mu, Rt
Applications: ELISA, ICC/IF, IHC,  IHC-P, WB
NBP2-53210
Species: Hu
Applications: Flow, ICC/IF, IHC,  IHC-P, WB
314-BP
Species: Hu
Applications: BA, BA
NBP2-46376
Species: Hu
Applications: IHC,  IHC-P, WB
NBP2-34632
Species: Hu
Applications: IHC

Publications for Chorionic Gonadotropin beta Chain (hCG beta) Antibody (NBP2-34632)(1)

Reviews for Chorionic Gonadotropin beta Chain (hCG beta) Antibody (NBP2-34632) (0)

There are no reviews for Chorionic Gonadotropin beta Chain (hCG beta) Antibody (NBP2-34632). By submitting a review you will receive an Amazon e-Gift Card or Novus Product Discount.
  • Review with no image -- $10/€7/£6/$10 CAD/¥70 Yuan/¥1110 Yen
  • Review with an image -- $25/€18/£15/$25 CAD/¥150 Yuan/¥2500 Yen

Product General Protocols

Find general support by application which include: protocols, troubleshooting, illustrated assays, videos and webinars.

FAQs for Chorionic Gonadotropin beta Chain (hCG beta) Antibody (NBP2-34632) (0)

There are no specific FAQs related to this product. Read our general customer & technical service FAQs.

Secondary Antibodies

 

Isotype Controls

Additional Chorionic Gonadotropin beta Chain (hCG beta) Products

Research Areas for Chorionic Gonadotropin beta Chain (hCG beta) Antibody (NBP2-34632)

Find related products by research area.

Blogs on Chorionic Gonadotropin beta Chain (hCG beta)

There are no specific blogs for Chorionic Gonadotropin beta Chain (hCG beta), but you can read our latest blog posts.

Customers Who Bought This Also Bought

Contact Information

Product PDFs

Calculators

Concentration Calculator

The concentration calculator allows you to quickly calculate the volume, mass or concentration of your vial. Simply enter your mass, volume, or concentration values for your reagent and the calculator will determine the rest.

=
÷

Review this Product

Be the first to review our Chorionic Gonadotropin beta Chain (hCG beta) Antibody (HCGb/54+ HCGb/459) - Azide and BSA Free and receive a gift card or discount.

Bioinformatics

Gene Symbol CGB3