Centrin 1 Antibody (CETN1/9880) - Azide and BSA Free

Images

 
There are currently no images for Centrin 1 Antibody (NBP3-45052).

Every product we sell is backed by Novus' 100% Guarantee. If you have used this product, please submit your images and reviews to earn reward points.

Product Details

Summary
Reactivity HuSpecies Glossary
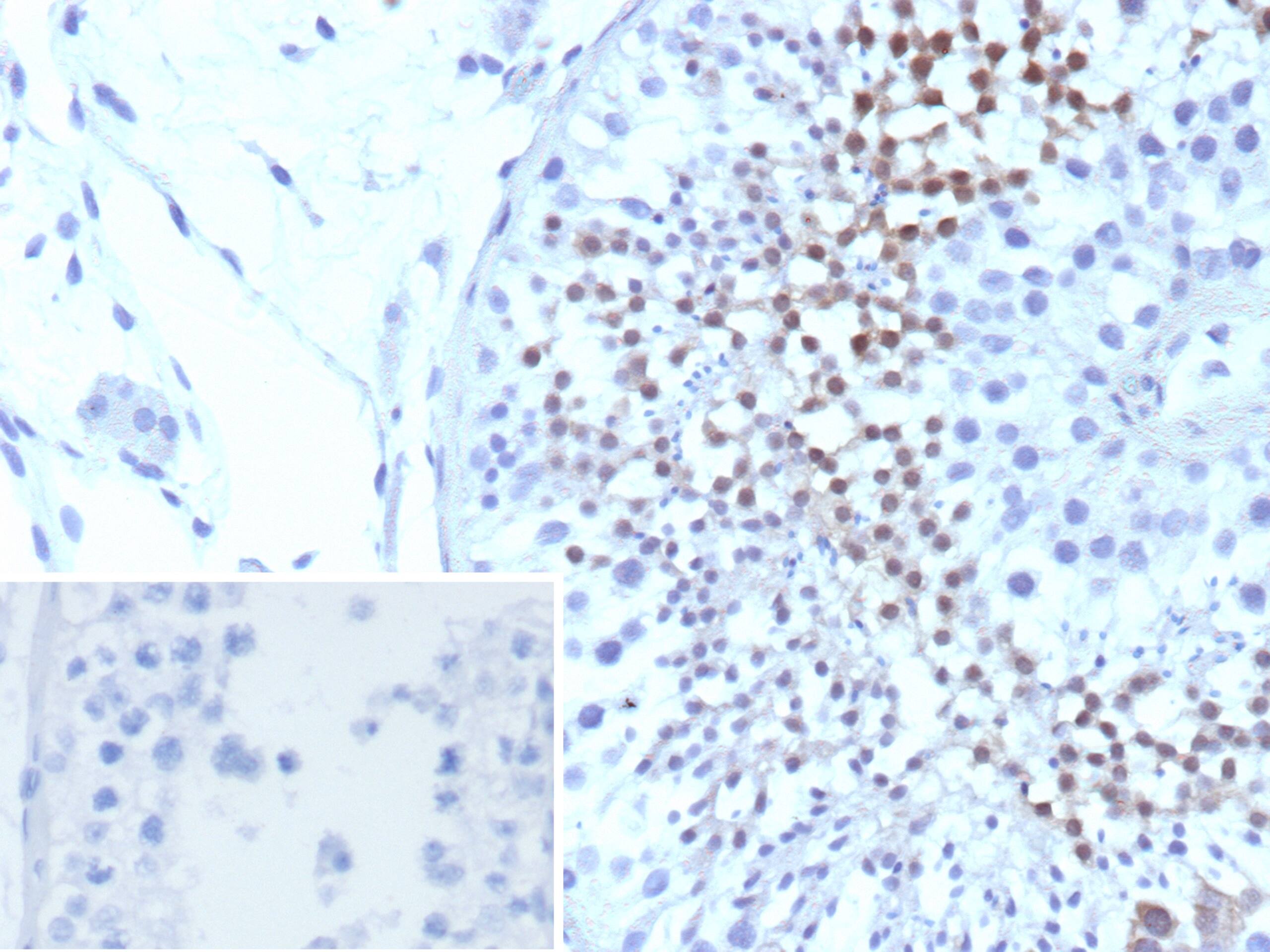
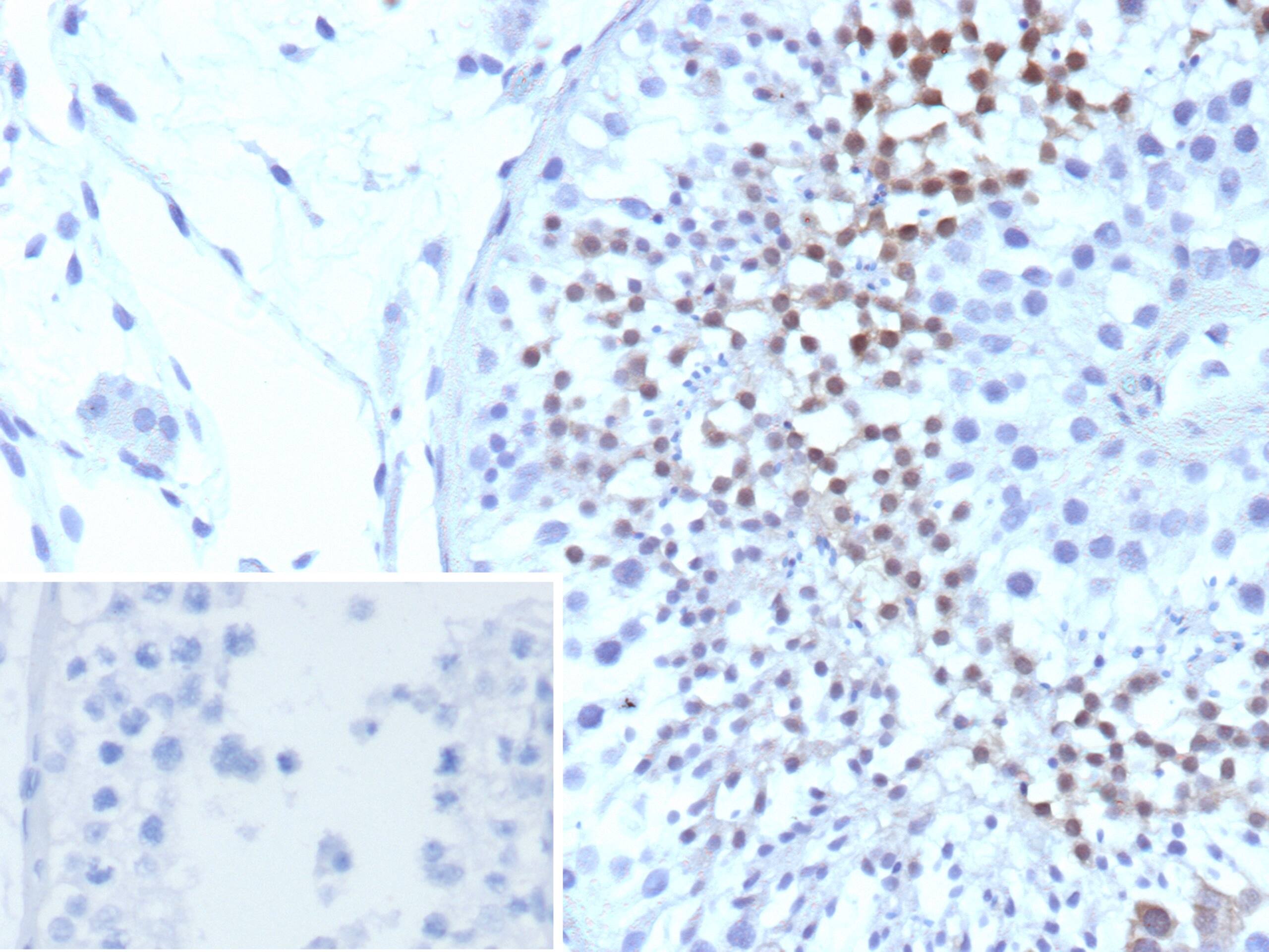
Applications IHC
Clone
CETN1/9880
Clonality
Monoclonal
Host
Mouse
Conjugate
Unconjugated
Format
Azide and BSA Free
Concentration
1 mg/ml

Order Details

View Available Formulations
Catalog# & Formulation Size Price

Centrin 1 Antibody (CETN1/9880) - Azide and BSA Free Summary

Description
1.0 mg/ml of antibody purified from Bioreactor Concentrate by Protein A/G. Prepared in 10mM PBS WITHOUT BSA & azide. Also available at 200 ug/ml WITH BSA & azide (NBP3-44584).

Antibody with azide - store at 2 to 8C. Antibody without azide - store at -20 to -80C. Non-hazardous. No MSDS required.
Immunogen
Recombinant fragment (around aa 1-172) of human Centrin 1 protein (Uniprot: Q12798). Exact sequence is proprietary.
Localization
Cell projection, Centrosome, Cytoplasm, Cytoskeleton
Isotype
IgG
Clonality
Monoclonal
Host
Mouse
Gene
CETN1
Purity
Protein A or G purified
Innovator's Reward
Test in a species/application not listed above to receive a full credit towards a future purchase.

Applications/Dilutions

Dilutions
  • Immunohistochemistry : 1-2ug/ml
Application Notes
Immunohistochemistry: 30 min at RT. Staining of formalin-fixed tissues requires heating tissue sections in 10mM Tris with 1mM EDTA, pH 9.0, for 45 min at 95C followed by cooling at RT for 20 minutes.
Theoretical MW
20 kDa.
Disclaimer note: The observed molecular weight of the protein may vary from the listed predicted molecular weight due to post translational modifications, post translation cleavages, relative charges, and other experimental factors.

Packaging, Storage & Formulations

Storage
Store at -20 to -80C. Avoid freeze-thaw cycles.
Buffer
10 mM PBS
Preservative
No Preservative
Concentration
1 mg/ml
Purity
Protein A or G purified

Alternate Names for Centrin 1 Antibody (CETN1/9880) - Azide and BSA Free

  • calcium binding protein
  • Caltractin isoform 2
  • caltractin
  • CEN1centrin-1
  • centrin, EF-hand protein, 1
  • CETN
  • EF-hand protein

Background

Centrin 1 is encoded by this gene plays important roles in the determination of centrosome position and segregation, and in the process of microtubule severing. This encoded protein is localized to the centrosome of interphase cells, and redistributes to the region of the spindle poles during mitosis, reflecting the dynamic behavior of the centrosome during the cell cycle.

Limitations

This product is for research use only and is not approved for use in humans or in clinical diagnosis. Primary Antibodies are guaranteed for 1 year from date of receipt.

Customers Who Viewed This Item Also Viewed...

NBP2-15669
Species: Mu, Rt, Ze
Applications: IHC-WhMt, IHC, WB
NBP2-14871
Species: Mu, Rt
Applications: ICC/IF, WB
NB120-2860
Species: Ba, Bv, Ch, Hu, Mu, Rt
Applications: ELISA, Flow, ICC/IF, IHC,  IHC-P, WB
NBP1-88213
Species: Hu
Applications: IHC,  IHC-P
H00001070-M01
Species: Ch, Hu, Mu, Rt, Ze
Applications: ELISA, ICC/IF, IP, KD, WB
NB100-1028
Species: Ca, Eq, Fe, Hu, Mu, Rt
Applications: Dual ISH-IHC, ICC/IF, IHC-FrFl, IHC-WhMt, IHC, IHC-Fr,  IHC-P, KO, PEP-ELISA, WB
NBP1-87102
Species: Hu, Mu, Rt
Applications: ICC/IF, IHC,  IHC-P, WB
NBP2-50028
Species: Bv, Hu, Mu, Rt
Applications: ICC/IF, IHC-FrFl, IHC,  IHC-P, WB
NBP1-88795
Species: Hu
Applications: IHC,  IHC-P, WB
NBP1-88213
Species: Hu
Applications: IHC,  IHC-P
NBP1-87103
Species: Hu, Mu
Applications: IHC,  IHC-P, WB
NBP2-14909
Species: Bv, Hu
Applications: ICC/IF, IHC,  IHC-P, IP, WB
NBP1-33736
Species: Hu, Mu, Rt
Applications: ICC/IF, IHC,  IHC-P, IP, WB
NBP2-13657
Species: Hu
Applications: ICC/IF, IHC,  IHC-P
NBP2-24479
Species: Bv, Ca, Eq, Hu, Mu, Pm, Rt
Applications: ICC/IF, IHC,  IHC-P, WB
MAB4470
Species: All-Multi
Applications: Flow, ICC, IHC, WB
NB120-11427
Species: Fe, Hu, Mu, Rt
Applications: ELISA, ICC/IF, IHC-FrFl, IHC, IHC-Fr,  IHC-P, IP, WB
NBP2-84105
Species: Hu
Applications: IHC,  IHC-P, WB

Publications for Centrin 1 Antibody (NBP3-45052) (0)

There are no publications for Centrin 1 Antibody (NBP3-45052).
By submitting your publication information earn gift cards and discounts for future purchases.

Reviews for Centrin 1 Antibody (NBP3-45052) (0)

There are no reviews for Centrin 1 Antibody (NBP3-45052). By submitting a review you will receive an Amazon e-Gift Card or Novus Product Discount.
  • Review with no image -- $10/€7/£6/$10 CAD/¥70 Yuan/¥1110 Yen
  • Review with an image -- $25/€18/£15/$25 CAD/¥150 Yuan/¥2500 Yen

FAQs for Centrin 1 Antibody (NBP3-45052) (0)

There are no specific FAQs related to this product. Read our general customer & technical service FAQs.

Secondary Antibodies

 

Isotype Controls

Additional Centrin 1 Products

Research Areas for Centrin 1 Antibody (NBP3-45052)

Find related products by research area.

Blogs on Centrin 1

There are no specific blogs for Centrin 1, but you can read our latest blog posts.

Customers Who Bought This Also Bought

Contact Information

Product PDFs

Calculators

Concentration Calculator

The concentration calculator allows you to quickly calculate the volume, mass or concentration of your vial. Simply enter your mass, volume, or concentration values for your reagent and the calculator will determine the rest.

=
÷

Review this Product

Be the first to review our Centrin 1 Antibody (CETN1/9880) - Azide and BSA Free and receive a gift card or discount.

Bioinformatics

Gene Symbol CETN1