Cdk6 Antibody (SD20-50)

Images

 
Western Blot: Cdk6 Antibody (SD20-50) [NBP2-67758] - Western blot analysis of Cdk6 on different lysates. Proteins were transferred to a PVDF membrane and blocked with 5% BSA in PBS for 1 hour at room temperature. The ...read more
Immunocytochemistry/ Immunofluorescence: Cdk6 Antibody (SD20-50) [NBP2-67758] - Staining Cdk6 in SW480 cells (green). The nuclear counter stain is DAPI (blue). Cells were fixed in paraformaldehyde, permeabilised with ...read more
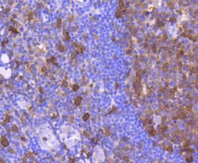
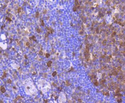
Immunohistochemistry-Paraffin: Cdk6 Antibody (SD20-50) [NBP2-67758] - Analysis of paraffin-embedded human tonsil tissue using anti-Cdk6 antibody. Counter stained with hematoxylin.
Flow Cytometry: Cdk6 Antibody (SD20-50) [NBP2-67758] - Analysis of Hela cells with Cdk6 antibody at 1/50 dilution (red) compared with an unlabelled control (cells without incubation with primary antibody; black). Alexa ...read more
Immunocytochemistry/ Immunofluorescence: Cdk6 Antibody (SD20-50) [NBP2-67758] - Staining Cdk6 in 293 cells (green). The nuclear counter stain is DAPI (blue). Cells were fixed in paraformaldehyde, permeabilised with ...read more
Immunocytochemistry/ Immunofluorescence: Cdk6 Antibody (SD20-50) [NBP2-67758] - Staining Cdk6 in Hela cells (green). The nuclear counter stain is DAPI (blue). Cells were fixed in paraformaldehyde, permeabilised with ...read more
Immunohistochemistry-Paraffin: Cdk6 Antibody (SD20-50) [NBP2-67758] - Analysis of paraffin-embedded human colon cancer tissue using anti-Cdk6 antibody. Counter stained with hematoxylin.

Product Details

Summary
Product Discontinued
View other related Cdk6 Primary Antibodies

Order Details


    • Catalog Number
      NBP2-67758
    • Availability
      Product Discontinued

    Can't find what you are looking for? Use our Antibody Concierge Service & we will help you locate your antibody!

    Or feel free to contact us for alternative products.

Cdk6 Antibody (SD20-50) Summary

Additional Information
Recombinant Monoclonal Antibody.
Immunogen
Synthetic peptide within Human Cdk6 aa 277-326 / 326. (SwissProt: Q00534 Human)
Localization
Cytoplasm, Nucleus, Cell projection.
Isotype
IgG
Clonality
Monoclonal
Host
Rabbit
Gene
CDK6
Purity
Protein A purified
Innovator's Reward
Test in a species/application not listed above to receive a full credit towards a future purchase.

Applications/Dilutions

Dilutions
  • Flow Cytometry 1:50-1:100
  • Immunocytochemistry/ Immunofluorescence 1:50-1:200
  • Immunohistochemistry
  • Immunohistochemistry-Paraffin 1:50-1:200
  • Western Blot 1:500-1:2000

Packaging, Storage & Formulations

Storage
Store at 4C short term. Aliquot and store at -20C long term. Avoid freeze-thaw cycles.
Buffer
TBS (pH7.4), 0.05% BSA, 40% Glycerol
Preservative
0.05% Sodium Azide
Concentration
1 mg/ml
Purity
Protein A purified

Alternate Names for Cdk6 Antibody (SD20-50)

  • Cdk6
  • CDKN6
  • Cell division protein kinase 6
  • cyclin-dependent kinase 6
  • EC 2.7.11
  • EC 2.7.11.22
  • PLSTIREMGC59692
  • Serine/threonine-protein kinase PLSTIRE

Background

Cdk6 is encoded by this gene is a member of the cyclin-dependent protein kinase (CDK) family. CDK family members are highly similar to the gene products of Saccharomyces cerevisiae cdc28, and Schizosaccharomyces pombe cdc2, and are known to be important regulators of cell cycle progression. This kinase is a catalytic subunit of the protein kinase complex that is important for cell cycle G1 phase progression and G1/S transition. The activity of this kinase first appears in mid-G1 phase, which is controlled by the regulatory subunits including D-type cyclins and members of INK4 family of CDK inhibitors. This kinase, as well as CDK4, has been shown to phosphorylate, and thus regulate the activity of, tumor suppressor protein Rb.

Limitations

This product is for research use only and is not approved for use in humans or in clinical diagnosis. Primary Antibodies are guaranteed for 1 year from date of receipt.

Customers Who Viewed This Item Also Viewed...

NBP1-31308
Species: Bv, Hu, Mu, Rt
Applications: ICC/IF, IHC,  IHC-P, Simple Western, WB
NBP2-00776
Species: Ca, Hu, Pm, Mu, Rt
Applications: Flow, ICC/IF, IHC,  IHC-P, WB
NB200-106
Species: Mu, Rt
Applications: ELISA, ICC/IF, IHC, IHC-Fr,  IHC-P, WB
NBP2-29463
Species: Pm, Hu, Pm, Mu
Applications: Flow, ICC/IF, IHC,  IHC-P, WB
NBP2-32840
Species: Hu, Pm, Mu, Rt
Applications: Flow, ICC/IF, IHC,  IHC-P, WB
MAB6495
Species: Hu
Applications: ICC, Simple Western, WB
AF1555
Species: Hu
Applications: WB
NBP2-47561
Species: Hu
Applications: ICC/IF, IHC,  IHC-P, WB
NBP1-90949
Species: Hu
Applications: IHC,  IHC-P, WB
NBP1-80616
Species: Hu, Mu, Rt
Applications: IHC,  IHC-P, WB
NBP2-03198
Species: Hu
Applications: Flow, ICC/IF, IHC,  IHC-P, WB
NBP3-26876
Species: Hu
Applications: IHC,  IHC-P
MAB6570
Species: Hu
Applications: IHC, WB
NBP2-46085
Species: Hu
Applications: IHC,  IHC-P, WB
H00027065-M01
Species: Hu, Rt
Applications: ELISA, ICC/IF, S-ELISA, WB
NBP2-45603
Species: Hu, Mu, Rt
Applications: Flow, IHC,  IHC-P, WB
NBP3-12954
Species: Mu, Rt
Applications: ICC/IF, IHC,  IHC-P, WB
NBP3-13225
Species: Hu
Applications: ICC/IF, IHC,  IHC-P, WB
NB500-106
Species: Ch, Dr, Fi, Hu, Mar, Mu, Po, Pm, Rb, Rt, Ye, Ze
Applications: ChIP, ChIP, ELISA, Flow, ICC/IF, IHC-FrFl, IHC, IHC-Fr,  IHC-P, IP, Simple Western, WB
NBP2-67758
Species: Hu
Applications: WB, Flow, ICC/IF, IHC

Publications for Cdk6 Antibody (NBP2-67758) (0)

There are no publications for Cdk6 Antibody (NBP2-67758).
By submitting your publication information earn gift cards and discounts for future purchases.

Reviews for Cdk6 Antibody (NBP2-67758) (0)

There are no reviews for Cdk6 Antibody (NBP2-67758). By submitting a review you will receive an Amazon e-Gift Card or Novus Product Discount.
  • Review with no image -- $10/€7/£6/$10 CAD/¥70 Yuan/¥1110 Yen
  • Review with an image -- $25/€18/£15/$25 CAD/¥150 Yuan/¥2500 Yen

Product General Protocols

Find general support by application which include: protocols, troubleshooting, illustrated assays, videos and webinars.

Video Protocols

WB Video Protocol
ICC/IF Video Protocol

FAQs for Cdk6 Antibody (NBP2-67758) (0)

There are no specific FAQs related to this product. Read our general customer & technical service FAQs.

Secondary Antibodies

 

Isotype Controls

Additional Cdk6 Products

Research Areas for Cdk6 Antibody (NBP2-67758)

Find related products by research area.

Blogs on Cdk6

There are no specific blogs for Cdk6, but you can read our latest blog posts.

Contact Information

Product PDFs

Calculators

Concentration Calculator

The concentration calculator allows you to quickly calculate the volume, mass or concentration of your vial. Simply enter your mass, volume, or concentration values for your reagent and the calculator will determine the rest.

=
÷

Review this Product

Be the first to review our Cdk6 Antibody (SD20-50) and receive a gift card or discount.

Bioinformatics

Gene Symbol CDK6