Caspase-6 Antibody (SC56-09) - (Pro and Active)

Images

 
Western Blot: Caspase-6 Antibody (SC56-09) - (Pro and Active) [NBP2-67567] - Analysis of Caspase-6 on different lysates using anti-Caspase-6 antibody at 1/1,000 dilution. Positive control: Lane 1: Mouse colon Lane 2: ...read more
Immunocytochemistry/ Immunofluorescence: Caspase-6 Antibody (SC56-09) - (Pro and Active) [NBP2-67567] - Staining Caspase-6 in SW480 cells (green). The nuclear counter stain is DAPI (blue). Cells were fixed in ...read more
Immunohistochemistry-Paraffin: Caspase-6 Antibody (SC56-09) - (Pro and Active) [NBP2-67567] - Analysis of paraffin-embedded human small intestine tissue with Rabbit anti-Caspase-6 antibody washed with ddH2O and PBS, and ...read more
Western Blot: Caspase-6 Antibody (SC56-09) - (Pro and Active) [NBP2-67567] - Analysis of Caspase-6 on different cell lysates using anti-Caspase-6 antibody at 1/500 dilution. Positive control: Lane 1: 3T3 Lane 2: mouse ...read more
Immunohistochemistry-Paraffin: Caspase-6 Antibody (SC56-09) - (Pro and Active) [NBP2-67567] - Analysis of paraffin-embedded human breast carcinoma tissue using anti-Caspase-6 antibody. Counter stained with hematoxylin.
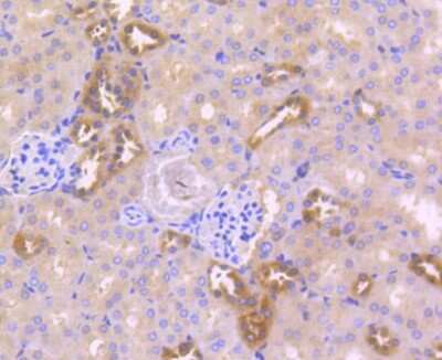
Immunohistochemistry-Paraffin: Caspase-6 Antibody (SC56-09) - (Pro and Active) [NBP2-67567] - Analysis of paraffin-embedded human kidney tissue using anti-Caspase-6 antibody. Counter stained with hematoxylin.
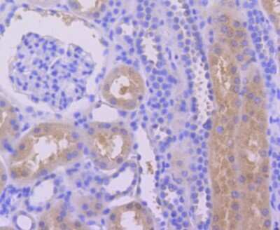
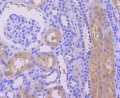
Immunohistochemistry-Paraffin: Caspase-6 Antibody (SC56-09) - (Pro and Active) [NBP2-67567] - Analysis of paraffin-embedded mouse kidney tissue using anti-Caspase-6 antibody. Counter stained with hematoxylin.

Product Details

Summary
Product Discontinued
View other related Caspase-6 Primary Antibodies

Order Details


    • Catalog Number
      NBP2-67567
    • Availability
      Product Discontinued

    Can't find what you are looking for? Use our Antibody Concierge Service & we will help you locate your antibody!

    Or feel free to contact us for alternative products.

Caspase-6 Antibody (SC56-09) - (Pro and Active) Summary

Additional Information
Recombinant Monoclonal Antibody.
Immunogen
Synthetic peptide within Human Caspase-6 aa 210-249 / 253. (SwissProt: P55212 Human; SwissProt: O08738 Mouse; SwissProt: O35397 Rat)
Localization
Cytoplasm, Nucleus.
Isotype
IgG
Clonality
Monoclonal
Host
Rabbit
Gene
CASP6
Purity
Protein A purified
Innovator's Reward
Test in a species/application not listed above to receive a full credit towards a future purchase.

Applications/Dilutions

Dilutions
  • Immunocytochemistry/ Immunofluorescence 1:50-1:200
  • Immunohistochemistry
  • Immunohistochemistry-Paraffin 1:50-1:400
  • Immunoprecipitation
  • Western Blot 1:1000-1:2000
Control
Jurkat Staurosporine Treated / Untreated Cell Lysate

Packaging, Storage & Formulations

Storage
Store at 4C short term. Aliquot and store at -20C long term. Avoid freeze-thaw cycles.
Buffer
TBS (pH7.4), 0.05% BSA, 40% Glycerol
Preservative
0.05% Sodium Azide
Concentration
1 mg/ml
Purity
Protein A purified

Alternate Names for Caspase-6 Antibody (SC56-09) - (Pro and Active)

  • Apoptotic protease Mch-2
  • CASP6
  • CASP-6
  • caspase 6, apoptosis-related cysteine peptidase
  • caspase 6, apoptosis-related cysteine protease
  • Caspase6
  • Caspase-6
  • EC 3.4.22
  • Mch2
  • MCH2EC 3.4.22.59

Background

Caspases are a family of cytosolic aspartate-specific cysteine proteases involved in the initiation and execution of apoptosis. Caspase-6 is a major apoptotic executioner (1,2). It exists as a pro-domain protein and is cleaved by caspase-3 into two active subunits, an 18 kDa and a 10 kDa subunit (3). Caspase-6 cleaves among many different intracellular proteins, nuclear lamins. Lamins play a significant role in maintaining the integrity of the cell membrane, and their cleavage results in subsequent cellular breakdown and death (4).

Limitations

This product is for research use only and is not approved for use in humans or in clinical diagnosis. Primary Antibodies are guaranteed for 1 year from date of receipt.

Customers Who Viewed This Item Also Viewed...

NB100-56116
Species: Ma, Hu, Mu, Rt
Applications: Flow, ICC/IF, IHC, IHC-Fr,  IHC-P, IP, Simple Western, WB
NB100-56118
Species: Ca, Ma, Hu, Mu, Rt
Applications: Flow-IC, ICC/IF, IHC, IHC-Fr,  IHC-P, IP, WB
NB100-56529
Species: Hu, Mu, Rt
Applications: IHC,  IHC-P, WB
NBP2-27335
Species: Hu, Mu, Rt(-)
Applications: CyTOF-ready, Flow, ICC/IF, WB
NB100-56098
Species: Ca, Hu, Mu, Rt
Applications: IHC,  IHC-P, IP, WB
NB100-56565
Species: Hu, Mu, Rt
Applications: ICC/IF, IHC, IHC-Fr,  IHC-P, Simple Western, WB
NB100-56104
Species: Ca, Hu, Mu, Rt
Applications: IHC, IHC-Fr,  IHC-P, IP, WB
NB100-56503
Species: Dr, Hu, Mu, Rb, Rt
Applications: Flow-CS, Flow-IC, Flow, IB, ICC/IF, IHC,  IHC-P, Simple Western, WB
NB200-103
Species: Hu, Mu, Rt, Xp(-), Ye
Applications: CyTOF-ready, ELISA, Flow-IC, Flow, ICC/IF, IHC, IHC-Fr,  IHC-P, IP, WB
AF820
Species: Hu, Mu
Applications: ICC, IHC, KO, Simple Western, WB
NBP3-15642
Species: Hu, Mu, Rt
Applications: ICC/IF, IHC,  IHC-P, WB
NBP2-80096
Species: Ca, Hu, Pm, Mu, Rt
Applications: ELISA, Flow, ICC/IF, IHC, IP, WB

Publications for Caspase-6 Antibody (NBP2-67567) (0)

There are no publications for Caspase-6 Antibody (NBP2-67567).
By submitting your publication information earn gift cards and discounts for future purchases.

Reviews for Caspase-6 Antibody (NBP2-67567) (0)

There are no reviews for Caspase-6 Antibody (NBP2-67567). By submitting a review you will receive an Amazon e-Gift Card or Novus Product Discount.
  • Review with no image -- $10/€7/£6/$10 CAD/¥70 Yuan/¥1110 Yen
  • Review with an image -- $25/€18/£15/$25 CAD/¥150 Yuan/¥2500 Yen

Product General Protocols

Find general support by application which include: protocols, troubleshooting, illustrated assays, videos and webinars.

Video Protocols

WB Video Protocol
ICC/IF Video Protocol

FAQs for Caspase-6 Antibody (NBP2-67567) (0)

There are no specific FAQs related to this product. Read our general customer & technical service FAQs.

Control Lysate(s)

Secondary Antibodies

 

Isotype Controls

Additional Caspase-6 Products

Research Areas for Caspase-6 Antibody (NBP2-67567)

Find related products by research area.

Blogs on Caspase-6.

Pyroptosis: Mechanisms mediating cell death and pro-inflammatory cytokine release
By Victoria OsinskiPyroptosis is an inflammatory form of programmed cell death characterized by the release of pro-inflammatory cytokines IL-1 beta and IL-18.1,10 It is a process distinct from apoptosis and necrosis (T...  Read full blog post.

Contact Information

Product PDFs

Calculators

Concentration Calculator

The concentration calculator allows you to quickly calculate the volume, mass or concentration of your vial. Simply enter your mass, volume, or concentration values for your reagent and the calculator will determine the rest.

=
÷

Review this Product

Be the first to review our Caspase-6 Antibody (SC56-09) - (Pro and Active) and receive a gift card or discount.

Bioinformatics

Gene Symbol CASP6