CaM Kinase II delta Antibody (JA30-07)

Images

 
Western Blot: CaM Kinase II delta Antibody (JA30-07) [NBP2-67210] - Analysis of CaMKII delta on Human skeletal muscle (1) and Rat heart (2) tissue lysates using anti-CaMKII delta antibody at 1/500 dilution.
Immunohistochemistry-Paraffin: CaM Kinase II delta Antibody (JA30-07) [NBP2-67210] - Analysis of paraffin-embedded rat brain tissue using anti-CaMKII delta antibody. Counter stained with hematoxylin.
Immunohistochemistry-Paraffin: CaM Kinase II delta Antibody (JA30-07) [NBP2-67210] - Analysis of paraffin-embedded mouse heart tissue using anti-CaMKII delta antibody. Counter stained with hematoxylin.
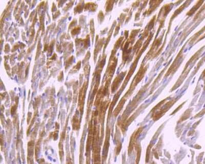
Immunohistochemistry-Paraffin: CaM Kinase II delta Antibody (JA30-07) [NBP2-67210] - Analysis of paraffin-embedded mouse skeletal muscle tissue using anti-CaMKII delta antibody. Counter stained with hematoxylin.
Immunohistochemistry-Paraffin: CaM Kinase II delta Antibody (JA30-07) [NBP2-67210] - Analysis of paraffin-embedded zebrafish tissue using anti-CaMKII delta antibody. Counter stained with hematoxylin.

Product Details

Summary
Product Discontinued
View other related CaM Kinase II delta Primary Antibodies

Order Details


    • Catalog Number
      NBP2-67210
    • Availability
      Product Discontinued

    Can't find what you are looking for? Use our Antibody Concierge Service & we will help you locate your antibody!

    Or feel free to contact us for alternative products.

CaM Kinase II delta Antibody (JA30-07) Summary

Additional Information
Recombinant Monoclonal Antibody.
Immunogen
Synthetic peptide within Human CaM Kinase II delta aa 22-71 / 499. (SwissProt: Q13557 Human; SwissProt: Q6PHZ2 Mouse; SwissProt: P15791 Rat)
Localization
Sarcolemma. Sarcoplasmic reticulum membrane.
Isotype
IgG
Clonality
Monoclonal
Host
Rabbit
Gene
CAMK2D
Purity
Protein A purified
Innovator's Reward
Test in a species/application not listed above to receive a full credit towards a future purchase.

Applications/Dilutions

Dilutions
  • Immunohistochemistry
  • Immunohistochemistry-Paraffin 1:50-1:200
  • Western Blot 1:500-1:2000

Packaging, Storage & Formulations

Storage
Store at 4C short term. Aliquot and store at -20C long term. Avoid freeze-thaw cycles.
Buffer
TBS (pH7.4), 0.05% BSA, 40% Glycerol
Preservative
0.05% Sodium Azide
Concentration
1 mg/ml
Purity
Protein A purified

Alternate Names for CaM Kinase II delta Antibody (JA30-07)

  • calcium/calmodulin-dependent protein kinase (CaM kinase) II delta
  • calcium/calmodulin-dependent protein kinase II delta
  • calcium/calmodulin-dependent protein kinase type II delta chain
  • calcium/calmodulin-dependent protein kinase type II subunit delta
  • CaM kinase II delta subunit
  • CaM Kinase II delta
  • CaM kinase II subunit delta
  • CAMK2D
  • CAMKD
  • CaMK-II delta subunit
  • CaMK-II subunit delta
  • CaM-kinase II delta chain
  • DKFZp686G23119
  • DKFZp686I2288
  • EC 2.7.11
  • EC 2.7.11.17
  • MGC44911

Background

The product of this gene belongs to the serine/threonine protein kinase family and to the Ca(2+)/calmodulin-dependent protein kinase subfamily. Calcium signaling is crucial for several aspects of plasticity at glutamatergic synapses. In mammalian cells, the enzyme is composed of four different chains: alpha, beta, gamma, and delta. The product of this gene is a delta chain. Four alternatively spliced transcript variants that encode three different isoforms have been characterized to date. Distinct isoforms of this chain have different expression patterns.

Limitations

This product is for research use only and is not approved for use in humans or in clinical diagnosis. Primary Antibodies are guaranteed for 1 year from date of receipt.

Customers Who Viewed This Item Also Viewed...

NBP2-14871
Species: Mu, Rt
Applications: ICC/IF, WB
NB120-2860
Species: Ba, Bv, Ch, Hu, Mu, Rt
Applications: ELISA, Flow, ICC/IF, IHC,  IHC-P, WB
NBP2-15669
Species: Mu, Rt, Ze
Applications: IHC-WhMt, IHC, WB
AF2419
Species: Hu
Applications: Dual ISH-IHC, ICC, IHC, Simple Western, WB
MAB1417
Species: Bv, Hu, Mu
Applications: ICC, IHC
NBP3-16802
Species: Hu, Mu, Rt
Applications: ICC/IF, IHC,  IHC-P, WB
NBP2-19807
Species: Hu, Mu, Po, Rt
Applications: ICC/IF, IHC,  IHC-P, WB
NBP1-87833
Species: Hu, Mu, Rt
Applications: ELISA, ICC/IF, IHC,  IHC-P, WB
DYC1825-2
Species: Hu, Mu, Rt
Applications: ELISA
AF1230
Species: Hu, Mu, Rt
Applications: IHC, KO, WB
NBP2-58572
Species: Hu
Applications: ICC/IF, IHC,  IHC-P
NBP2-37262
Species: Hu, Rt
Applications: CyTOF-ready, ELISA, Flow, IHC,  IHC-P, WB
NB300-815
Species: Hu
Applications: IHC,  IHC-P, PEP-ELISA, WB
NB100-1538
Species: Ha, Hu, Rt
Applications: IHC,  IHC-P, IP, PEP-ELISA, WB
NBP3-12196
Species: Hu, Mu, Rt
Applications: DB, ELISA, IHC,  IHC-P, IP, WB
NBP2-22151
Species: Hu, Mu, Pm, Rt
Applications: ICC/IF, IHC,  IHC-P, Simple Western, WB
NB100-56508
Species: Av, Hu, Mu, Rt
Applications: CyTOF-ready, Flow-IC, Flow, IHC,  IHC-P, WB
AF467
Species: Hu, Mu
Applications: CyTOF-ready, Flow, ICC, IHC, Simple Western, WB

Publications for CaM Kinase II delta Antibody (NBP2-67210) (0)

There are no publications for CaM Kinase II delta Antibody (NBP2-67210).
By submitting your publication information earn gift cards and discounts for future purchases.

Reviews for CaM Kinase II delta Antibody (NBP2-67210) (0)

There are no reviews for CaM Kinase II delta Antibody (NBP2-67210). By submitting a review you will receive an Amazon e-Gift Card or Novus Product Discount.
  • Review with no image -- $10/€7/£6/$10 CAD/¥70 Yuan/¥1110 Yen
  • Review with an image -- $25/€18/£15/$25 CAD/¥150 Yuan/¥2500 Yen

Product General Protocols

Find general support by application which include: protocols, troubleshooting, illustrated assays, videos and webinars.

Video Protocols

WB Video Protocol

FAQs for CaM Kinase II delta Antibody (NBP2-67210) (0)

There are no specific FAQs related to this product. Read our general customer & technical service FAQs.

Secondary Antibodies

 

Isotype Controls

Additional CaM Kinase II delta Products

Research Areas for CaM Kinase II delta Antibody (NBP2-67210)

Find related products by research area.

Blogs on CaM Kinase II delta

There are no specific blogs for CaM Kinase II delta, but you can read our latest blog posts.

Contact Information

Product PDFs

Calculators

Concentration Calculator

The concentration calculator allows you to quickly calculate the volume, mass or concentration of your vial. Simply enter your mass, volume, or concentration values for your reagent and the calculator will determine the rest.

=
÷

Review this Product

Be the first to review our CaM Kinase II delta Antibody (JA30-07) and receive a gift card or discount.

Bioinformatics

Gene Symbol CAMK2D