BTBD16 Antibody - BSA Free

Images

 
Western Blot: BTBD16 Antibody - BSA Free [NBP3-47848] - Mouse testis tissue were subjected to SDS PAGE followed by western blot with (BTBD16 Antibody) at dilution of 1:300
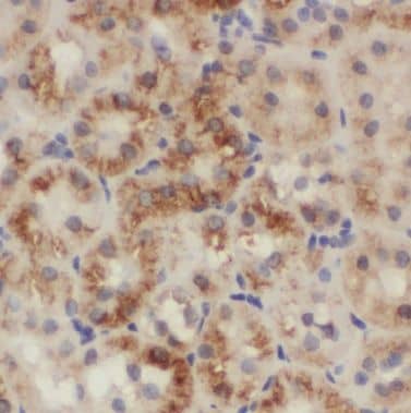
Immunohistochemistry: BTBD16 Antibody - BSA Free [NBP3-47848] - Immunohistochemistry of paraffin-embedded human kidney tissue slide using (BTBD16 Antibody) at dilution of 1:50

Product Details

Summary
Reactivity Hu, MuSpecies Glossary
Applications WB, ELISA, IHC
Clonality
Polyclonal
Host
Rabbit
Conjugate
Unconjugated
Format
BSA Free

Order Details

BTBD16 Antibody - BSA Free Summary

Description
Novus Biologicals Rabbit BTBD16 Antibody - BSA Free (NBP3-47848) is a polyclonal antibody validated for use in IHC, WB and ELISA. All Novus Biologicals antibodies are covered by our 100% guarantee.
Immunogen
BTB(POZ) domain containing 16. (Uniprot# Q32M84)
Isotype
IgG
Clonality
Polyclonal
Host
Rabbit
Gene
BTBD16
Purity
Immunogen affinity purified
Innovator's Reward
Test in a species/application not listed above to receive a full credit towards a future purchase.

Applications/Dilutions

Dilutions
  • ELISA
  • Immunohistochemistry 1:20-1:200
  • Western Blot 1:500-1:2000
Theoretical MW
60 kDa.
Disclaimer note: The observed molecular weight of the protein may vary from the listed predicted molecular weight due to post translational modifications, post translation cleavages, relative charges, and other experimental factors.

Packaging, Storage & Formulations

Storage
Store at -20C. Avoid freeze-thaw cycles.
Buffer
PBS, 50% Glycerol, pH (7.3)
Preservative
0.02% Sodium Azide
Purity
Immunogen affinity purified

Alternate Names for BTBD16 Antibody - BSA Free

  • BTBD16 BTB (POZ) domain containing 16
  • C10orf87

Limitations

This product is for research use only and is not approved for use in humans or in clinical diagnosis. Primary Antibodies are guaranteed for 1 year from date of receipt.

Customers Who Viewed This Item Also Viewed...

NBP2-81840
Species: Hu, Mu, Rt
Applications: ELISA, ICC/IF, IHC,  IHC-P, WB
AF2000
Species: Hu
Applications: CyTOF-ready, Flow, Simple Western, WB
NBP3-05549
Species: Bv, Hu, Pm, Mu, Rt
Applications: ICC/IF, IHC, WB
NBP1-86489
Species: Hu
Applications: ICC/IF, IHC,  IHC-P
AF1494
Species: Hu, Mu, Rt
Applications: Block, IHC, Simple Western, WB
NBP2-00880
Species: Hu, Mu, Rt
Applications: Flow, ICC/IF, IHC,  IHC-P, WB
NBP2-94035
Species: Hu, Mu, Rt
Applications: ChIP, ELISA, ICC/IF, IHC,  IHC-P, WB
NBP1-93829
Species: Hu
Applications: IHC,  IHC-P
NBP1-52813
Species: Hu, Rt
Applications: ICC/IF,  IHC-P, WB
NBP3-47848
Species: Hu, Mu
Applications: WB, ELISA, IHC

Publications for BTBD16 Antibody (NBP3-47848) (0)

There are no publications for BTBD16 Antibody (NBP3-47848).
By submitting your publication information earn gift cards and discounts for future purchases.

Reviews for BTBD16 Antibody (NBP3-47848) (0)

There are no reviews for BTBD16 Antibody (NBP3-47848). By submitting a review you will receive an Amazon e-Gift Card or Novus Product Discount.
  • Review with no image -- $10/€7/£6/$10 CAD/¥70 Yuan/¥1110 Yen
  • Review with an image -- $25/€18/£15/$25 CAD/¥150 Yuan/¥2500 Yen

Product General Protocols

Find general support by application which include: protocols, troubleshooting, illustrated assays, videos and webinars.

Video Protocols

WB Video Protocol

FAQs for BTBD16 Antibody (NBP3-47848) (0)

There are no specific FAQs related to this product. Read our general customer & technical service FAQs.

Customers Who Bought This Also Bought

Contact Information

Product PDFs

Calculators

Concentration Calculator

The concentration calculator allows you to quickly calculate the volume, mass or concentration of your vial. Simply enter your mass, volume, or concentration values for your reagent and the calculator will determine the rest.

=
÷

Review this Product

Be the first to review our BTBD16 Antibody - BSA Free and receive a gift card or discount.

Bioinformatics

Gene Symbol BTBD16