BST2 Antibody (JU11-93)

Images

 
Western Blot: BST2 Antibody (JU11-93) [NBP2-75423] - Analysis of BST2 on Hela (1) and SiHa (2) cell lysate using anti-BST2 antibody at 1/500 dilution.
Immunohistochemistry-Paraffin: BST2 Antibody (JU11-93) [NBP2-75423] - Analysis of paraffin-embedded human kidney tissue using anti-BST2 antibody. Counter stained with hematoxylin.
Flow Cytometry: BST2 Antibody (JU11-93) [NBP2-75423] - Analysis of Jurkat cells with BST2 antibody at 1/100 dilution (red) compared with an unlabelled control (cells without incubation with primary antibody; black).
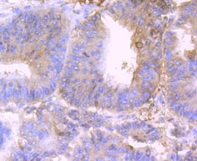
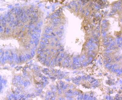
Immunohistochemistry-Paraffin: BST2 Antibody (JU11-93) [NBP2-75423] - Analysis of paraffin-embedded human colon cancer tissue using anti-BST2 antibody. Counter stained with hematoxylin.

Product Details

Summary
Product Discontinued
View other related BST2 Primary Antibodies

Order Details


    • Catalog Number
      NBP2-75423
    • Availability
      Product Discontinued

    Can't find what you are looking for? Use our Antibody Concierge Service & we will help you locate your antibody!

    Or feel free to contact us for alternative products.

BST2 Antibody (JU11-93) Summary

Additional Information
Recombinant Monoclonal Antibody.
Immunogen
Synthetic peptide within Human BST2 aa 111-160 / 180. (SwissProt: Q10589 Human)
Localization
Golgi apparatus. Cell membrane.
Isotype
IgG
Clonality
Monoclonal
Host
Rabbit
Gene
BST2
Purity
Protein A purified
Innovator's Reward
Test in a species/application not listed above to receive a full credit towards a future purchase.

Applications/Dilutions

Dilutions
  • Flow Cytometry 1:50-1:100
  • Immunohistochemistry
  • Immunohistochemistry-Paraffin 1:50-1:200
  • Western Blot 1:500
Theoretical MW
40 kDa.
Disclaimer note: The observed molecular weight of the protein may vary from the listed predicted molecular weight due to post translational modifications, post translation cleavages, relative charges, and other experimental factors.

Packaging, Storage & Formulations

Storage
Store at 4C short term. Aliquot and store at -20C long term. Avoid freeze-thaw cycles.
Buffer
TBS (pH7.4), 0.05% BSA, 40% Glycerol
Preservative
0.05% Sodium Azide
Concentration
1 mg/ml
Purity
Protein A purified

Alternate Names for BST2 Antibody (JU11-93)

  • bone marrow stromal antigen 2
  • bone marrow stromal cell antigen 2
  • BST2
  • BST-2
  • CD317 antigen
  • CD317
  • HM1.24 Antigen
  • NPC-A-7
  • PDCA-1
  • Tetherin

Background

Bone marrow stromal cells are involved in the growth and development of B-cells. The specific function of the protein encoded by the bone marrow stromal cell antigen 2 is undetermined; however, this protein may play a role in pre-B-cell growth and in rheumatoid arthritis. [provided by RefSeq]

Limitations

This product is for research use only and is not approved for use in humans or in clinical diagnosis. Primary Antibodies are guaranteed for 1 year from date of receipt.

Customers Who Viewed This Item Also Viewed...

NB100-524
Species: Hu, Mu
Applications: Flow-IC, Flow, ICC/IF, IHC, IHC-Fr,  IHC-P, IP, WB
NBP2-79843
Species: Hu
Applications: CyTOF-ready, ELISA, Flow, ICC/IF, IHC,  IHC-P, PA, WB
7268-CT
Species: Hu
Applications: BA
NBP1-19371
Species: Ca, Hu, Mu, Po, Rb, Rt
Applications: Dual ISH-IHC, Flow, ICC/IF, IHC, IHC-Fr,  IHC-P, Simple Western, WB
NBP1-87466
Species: Hu
Applications: ICC/IF, IHC,  IHC-P
NBP2-20774
Species: Hu, Mu
Applications: ICC/IF, IHC,  IHC-P, WB
NBP2-24653
Species: Hu, Mu, Rt
Applications: IHC,  IHC-P, WB
NBP2-02541
Species: Hu, Pm, Mu, Pm, Rt
Applications: ICC/IF, IHC,  IHC-P, WB
NBP2-21037
Species: Hu
Applications: IHC,  IHC-P, WB
NBP2-31361
Species: Hu
Applications: IHC,  IHC-P, WB
NBP1-81988
Species: Hu
Applications: IHC,  IHC-P
NBP2-75930
Species: Hu, Mu, Rt
Applications: Flow, ICC/IF, IHC,  IHC-P, WB
NBP1-88592
Species: Hu
Applications: IHC,  IHC-P
NBP1-76601
Species: Hu
Applications: ELISA, ICC/IF, IHC,  IHC-P, WB
NBP2-61931
Species: Hu, Rt
Applications: Flow, ICC/IF, IHC,  IHC-P, WB
MAB6287
Species: Hu
Applications: CyTOF-ready, Flow
NBP2-01801
Species: Hu, Mu, Rt
Applications: Flow, ICC/IF, IHC,  IHC-P, WB
AF7946
Species: Hu
Applications: ICC, IHC, WB
NBP2-82073
Species: Hu
Applications: ELISA, ICC/IF, IHC,  IHC-P, WB
NBP2-75423
Species: Hu
Applications: WB, Flow, IHC

Publications for BST2 Antibody (NBP2-75423) (0)

There are no publications for BST2 Antibody (NBP2-75423).
By submitting your publication information earn gift cards and discounts for future purchases.

Reviews for BST2 Antibody (NBP2-75423) (0)

There are no reviews for BST2 Antibody (NBP2-75423). By submitting a review you will receive an Amazon e-Gift Card or Novus Product Discount.
  • Review with no image -- $10/€7/£6/$10 CAD/¥70 Yuan/¥1110 Yen
  • Review with an image -- $25/€18/£15/$25 CAD/¥150 Yuan/¥2500 Yen

Product General Protocols

Find general support by application which include: protocols, troubleshooting, illustrated assays, videos and webinars.

Video Protocols

WB Video Protocol

FAQs for BST2 Antibody (NBP2-75423) (0)

There are no specific FAQs related to this product. Read our general customer & technical service FAQs.

Secondary Antibodies

 

Isotype Controls

Additional BST2 Products

Research Areas for BST2 Antibody (NBP2-75423)

Find related products by research area.

Blogs on BST2

There are no specific blogs for BST2, but you can read our latest blog posts.

Contact Information

Product PDFs

Calculators

Concentration Calculator

The concentration calculator allows you to quickly calculate the volume, mass or concentration of your vial. Simply enter your mass, volume, or concentration values for your reagent and the calculator will determine the rest.

=
÷

Review this Product

Be the first to review our BST2 Antibody (JU11-93) and receive a gift card or discount.

Bioinformatics

Gene Symbol BST2