ARF1 Antibody (SD2002)

Images

 
Western Blot: ARF1 Antibody (SD2002) [NBP2-67739] - Analysis of ARF1 on NIH/3T3 cells lysates using anti-ARF1 antibody at 1/1,000 dilution.
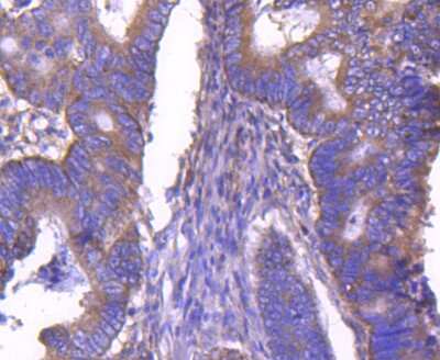
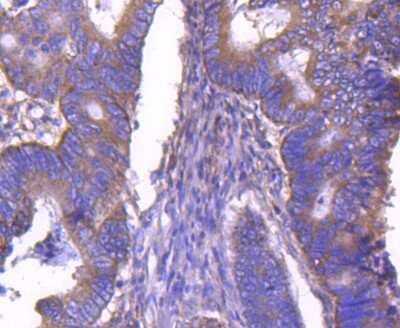
Immunohistochemistry-Paraffin: ARF1 Antibody (SD2002) [NBP2-67739] - Analysis of paraffin-embedded human colon cancer tissue using anti-ARF1 antibody. Counter stained with hematoxylin.
Flow Cytometry: ARF1 Antibody (SD2002) [NBP2-67739] - Analysis of Hela cells with ARF1 antibody at 1/50 dilution (red) compared with an unlabelled control (cells without incubation with primary antibody; black). Alexa ...read more
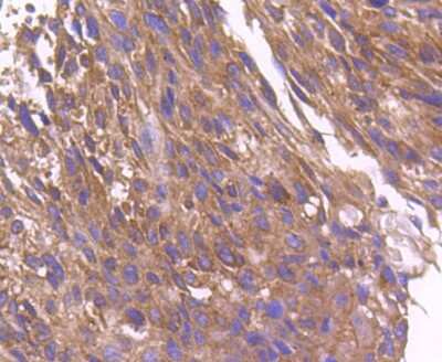
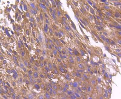
Immunohistochemistry-Paraffin: ARF1 Antibody (SD2002) [NBP2-67739] - Analysis of paraffin-embedded human breast carcinoma tissue using anti-ARF1 antibody. Counter stained with hematoxylin.

Product Details

Summary
Product Discontinued
View other related ARF1 Primary Antibodies

Order Details


    • Catalog Number
      NBP2-67739
    • Availability
      Product Discontinued

    Can't find what you are looking for? Use our Antibody Concierge Service & we will help you locate your antibody!

    Or feel free to contact us for alternative products.

ARF1 Antibody (SD2002) Summary

Additional Information
Recombinant Monoclonal Antibody.
Immunogen
Synthetic peptide within Human ARF1aa 61-110 / 181. (SwissProt: P84077 Human; SwissProt: P84078 Mouse; SwissProt: P84079 Rat)
Localization
Golgi apparatus, Cytoplasm, Cell junction , Membrane.
Isotype
IgG
Clonality
Monoclonal
Host
Rabbit
Gene
ARF1
Purity
Protein A purified
Innovator's Reward
Test in a species/application not listed above to receive a full credit towards a future purchase.

Applications/Dilutions

Dilutions
  • Flow Cytometry 1:50-1:100
  • Immunohistochemistry
  • Immunohistochemistry-Paraffin 1:100
  • Western Blot 1:1000-1:2000

Packaging, Storage & Formulations

Storage
Store at 4C short term. Aliquot and store at -20C long term. Avoid freeze-thaw cycles.
Buffer
TBS (pH7.4), 0.05% BSA, 40% Glycerol
Preservative
0.05% Sodium Azide
Concentration
1 mg/ml
Purity
Protein A purified

Alternate Names for ARF1 Antibody (SD2002)

  • ADP-ribosylation factor 1
  • ARF1

Background

The ADP-ribosylation factor (Arf) family comprises a group of structurally and functionally conserved 21 kDa proteins, which are members of the Ras superfamily of regulatory GTP-binding proteins. Arf is involved in intracellular protein traffic to and within the Golgi complex. Arf has a number of disparate activities including maintenance of organelle integrity, assembly of coat proteins, as a co-factor for cholera toxin and as an activator of phospholipase D. The Arf family is divided functionally into the Arf and the Arf-like (Arl) proteins. Arfs share more than 60% sequence identity, appear to be ubiquitous in eukaryotes, and are highly conserved evolutionarily.

Limitations

This product is for research use only and is not approved for use in humans or in clinical diagnosis. Primary Antibodies are guaranteed for 1 year from date of receipt.

Customers Who Viewed This Item Also Viewed...

NB200-106
Species: Mu, Rt
Applications: ELISA, ICC/IF, IHC, IHC-Fr,  IHC-P, WB
NBP2-41263
Species: Hu, Mu, Rt
Applications: ELISA, ICC/IF, IHC,  IHC-P, WB
H00009266-M02
Species: Hu, Mu, Rt
Applications: ELISA, ICC/IF, IHC, IHC-Fr,  IHC-P, S-ELISA, WB
NBP1-85727
Species: Hu
Applications: ICC/IF, IHC,  IHC-P
NB110-68800
Species: Hu, Mu, Pm
Applications: ICC/IF, WB
AF6260
Species: Hu
Applications: WB
NBP2-67471
Species: Hu, Mu, Rt
Applications: ICC/IF, IHC,  IHC-P, WB
NBP2-22513
Species: Hu
Applications: ICC/IF, IHC,  IHC-P, IP, WB
NBP2-99493
Species: Hu, Mu, Rt
Applications: IHC,  IHC-P
NBP3-48120
Species: Hu, Mu, Rt
Applications: ELISA, ICC/IF, IHC, IP, , WB
NBP1-88842
Species: Hu
Applications: ICC/IF, IHC,  IHC-P, WB
H00000381-M01
Species: Ba, Ca, Hu, Mu, Rt
Applications: ELISA, ICC/IF, WB
NBP2-34078
Species: Hu
Applications: ICC/IF, IHC,  IHC-P
NBP2-34294
Species: Hu, Mu, Rt
Applications: Flow, IHC,  IHC-P
NBP2-00513
Species: Hu, Pm, Mu, Rt
Applications: Flow, ICC/IF, IHC,  IHC-P, WB
NBP2-50037
Species: Hu, Mu, Rt
Applications: ICC/IF, IHC, KO, WB
AF2214
Species: Hu
Applications: ICC, IHC, WB
NBP3-16602
Species: Hu, Mu, Rt
Applications: IHC,  IHC-P, IP, WB
NBP1-89544
Species: Hu
Applications: ChIP-EXO-SEQ, ICC/IF, IHC,  IHC-P, WB
NBP2-67739
Species: Hu, Mu, Rt
Applications: WB, Flow, IHC

Publications for ARF1 Antibody (NBP2-67739) (0)

There are no publications for ARF1 Antibody (NBP2-67739).
By submitting your publication information earn gift cards and discounts for future purchases.

Reviews for ARF1 Antibody (NBP2-67739) (0)

There are no reviews for ARF1 Antibody (NBP2-67739). By submitting a review you will receive an Amazon e-Gift Card or Novus Product Discount.
  • Review with no image -- $10/€7/£6/$10 CAD/¥70 Yuan/¥1110 Yen
  • Review with an image -- $25/€18/£15/$25 CAD/¥150 Yuan/¥2500 Yen

Product General Protocols

Find general support by application which include: protocols, troubleshooting, illustrated assays, videos and webinars.

Video Protocols

WB Video Protocol

FAQs for ARF1 Antibody (NBP2-67739) (0)

There are no specific FAQs related to this product. Read our general customer & technical service FAQs.

Secondary Antibodies

 

Isotype Controls

Additional ARF1 Products

Research Areas for ARF1 Antibody (NBP2-67739)

Find related products by research area.

Blogs on ARF1.

Arf1: A New Focus In Cancer Drug Therapy
ARF1 (ADP-ribosylation factor 1) is a protein in the ARF gene family that is responsible for vesicular trafficking within the cell through its activation of phospholipase D. It is found in the cells golgi apparatus and its main function is intra-Golgi...  Read full blog post.

Contact Information

Product PDFs

Calculators

Concentration Calculator

The concentration calculator allows you to quickly calculate the volume, mass or concentration of your vial. Simply enter your mass, volume, or concentration values for your reagent and the calculator will determine the rest.

=
÷

Review this Product

Be the first to review our ARF1 Antibody (SD2002) and receive a gift card or discount.

Bioinformatics

Gene Symbol ARF1