AGAP1 Antibody (OTI4E8) - Azide and BSA Free

Images

 
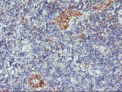
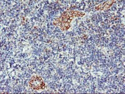
Immunohistochemistry: AGAP1 Antibody (OTI4E8) - Azide and BSA Free [NBP2-72357] - Staining of paraffin-embedded Human tonsil using anti-AGAP1 mouse monoclonal antibody.
Flow Cytometry: AGAP1 Antibody (OTI4E8) - Azide and BSA Free [NBP2-72357] - Analysis of Jurkat cells, using anti-AGAP1 antibody, (Red), compared to a nonspecific negative control antibody (Blue).
Flow Cytometry: AGAP1 Antibody (OTI4E8) - Azide and BSA Free [NBP2-72357] - HEK293T cells were transfected with the pCMV6-ENTRY control (Left lane) or pCMV6-ENTRY AGAP1 (Right lane) cDNA for 48 hrs and lysed. Equivalent ...read more

Product Details

Summary
Reactivity Hu, Mu, RtSpecies Glossary
Applications WB, Flow, IHC, CyTOF-ready
Clone
OTI4E8
Clonality
Monoclonal
Host
Mouse
Conjugate
Unconjugated
Format
Azide and BSA Free
Concentration
LYOPH

Order Details

AGAP1 Antibody (OTI4E8) - Azide and BSA Free Summary

Description
Novus Biologicals Mouse AGAP1 Antibody (OTI4E8) - Azide and BSA Free (NBP2-01708) is a monoclonal antibody validated for use in IHC, WB and Flow. All Novus Biologicals antibodies are covered by our 100% guarantee.
Immunogen
Full length human recombinant protein of human AGAP1(NP_055729) produced in HEK293T cell.
Isotype
IgG1
Clonality
Monoclonal
Host
Mouse
Gene
AGAP1
Purity
Immunogen affinity purified
Innovator's Reward
Test in a species/application not listed above to receive a full credit towards a future purchase.

Applications/Dilutions

Dilutions
  • CyTOF-ready
  • Flow Cytometry 1:100
  • Immunohistochemistry 1:150
  • Immunohistochemistry-Paraffin
  • Western Blot 1:2000

Reactivity Notes

Please note that this antibody is reactive to Mouse and derived from the same host, Mouse. Mouse-On-Mouse blocking reagent may be needed for IHC and ICC experiments to reduce high background signal. You can find these reagents under catalog numbers PK-2200-NB and MP-2400-NB. Please contact Technical Support if you have any questions.

Packaging, Storage & Formulations

Storage
Store at -20C. Avoid freeze-thaw cycles.
Buffer
Lyophilized from PBS (pH 7.3) with 8% Trehalose
Preservative
No Preservative
Concentration
LYOPH
Purity
Immunogen affinity purified
Reconstitution Instructions
we recommend adding 100uL distilled water to a final antibody concentration of about 1 mg/mL. To use this carrier-free antibody for conjugation experiment, we strongly recommend performing another round of desalting process.

Alternate Names for AGAP1 Antibody (OTI4E8) - Azide and BSA Free

  • AGAP-1
  • ANK repeat and PH domains 1
  • ArfGAP with GTPase domain, ankyrin repeat and PH domain 1
  • centaurin, gamma 2
  • centaurin-gamma-2
  • CENTG2
  • cnt-g2
  • GTP-binding and GTPase-activating protein 1
  • KIAA1099arf-GAP with GTPase, ANK repeat and PH domain-containing protein 1
  • MGC71657

Background

CENTG2 belongs to an ADP-ribosylation factor GTPase-activating (ARF-GAP) protein family involved in membrane trafficand actin cytoskeleton dynamics (Nie et al., 2002 (PubMed 12388557)).(supplied by OMIM)

Limitations

This product is for research use only and is not approved for use in humans or in clinical diagnosis. Primary Antibodies are guaranteed for 1 year from date of receipt.

Customers Who Viewed This Item Also Viewed...

NBP2-29906
Species: Ca, Hu, Mu
Applications: ICC/IF, IHC,  IHC-P, IP, WB
NB200-106
Species: Mu, Rt
Applications: ELISA, ICC/IF, IHC, IHC-Fr,  IHC-P, WB
NBP2-02300
Species: Hu, Mu, Rt
Applications: Flow, IHC,  IHC-P, WB
NBP1-88842
Species: Hu
Applications: ICC/IF, IHC,  IHC-P, WB
NBP2-48909
Species: Hu, Mu
Applications: ICC/IF, IHC,  IHC-P, KO
NBP2-00513
Species: Hu, Pm, Mu, Rt
Applications: Flow, ICC/IF, IHC,  IHC-P, WB
NBP2-37485
Species: Hu, Pm, Mu, Pm
Applications: CyTOF-ready, ELISA, Flow, IHC,  IHC-P, WB
NBP2-67471
Species: Hu, Mu, Rt
Applications: ICC/IF, IHC,  IHC-P, WB
NBP2-24498
Species: Ca, Eq, Hu, Mu, Pm, Rt
Applications: ICC/IF, IHC,  IHC-P, KD, WB
H00342184-M07
Species: Hu
Applications: ELISA, ICC/IF, WB
NBP2-13795
Species: Hu
Applications: IHC,  IHC-P
NBP3-48239
Species: Hu, Mu, Rt
Applications: ELISA, IHC, WB
NBP1-59944
Species: Hu
Applications: WB
AF6989
Species: Mu
Applications: IHC
NBP2-41263
Species: Hu, Mu, Rt
Applications: ELISA, ICC/IF, IHC,  IHC-P, WB
2914-HT
Species: Hu
Applications: BA
NBP2-56429
Species: Hu
Applications: ICC/IF, IHC,  IHC-P, WB
NBP2-72357
Species: Hu, Mu, Rt
Applications: WB, Flow, IHC, CyTOF-ready

Publications for AGAP1 Antibody (NBP2-72357) (0)

There are no publications for AGAP1 Antibody (NBP2-72357).
By submitting your publication information earn gift cards and discounts for future purchases.

Reviews for AGAP1 Antibody (NBP2-72357) (0)

There are no reviews for AGAP1 Antibody (NBP2-72357). By submitting a review you will receive an Amazon e-Gift Card or Novus Product Discount.
  • Review with no image -- $10/€7/£6/$10 CAD/¥70 Yuan/¥1110 Yen
  • Review with an image -- $25/€18/£15/$25 CAD/¥150 Yuan/¥2500 Yen

Product General Protocols

Find general support by application which include: protocols, troubleshooting, illustrated assays, videos and webinars.

Video Protocols

WB Video Protocol

FAQs for AGAP1 Antibody (NBP2-72357) (0)

There are no specific FAQs related to this product. Read our general customer & technical service FAQs.

Customers Who Bought This Also Bought

Contact Information

Product PDFs

Calculators

Concentration Calculator

The concentration calculator allows you to quickly calculate the volume, mass or concentration of your vial. Simply enter your mass, volume, or concentration values for your reagent and the calculator will determine the rest.

=
÷

Review this Product

Be the first to review our AGAP1 Antibody (OTI4E8) - Azide and BSA Free and receive a gift card or discount.

Bioinformatics

Gene Symbol AGAP1