58K Golgi Protein Antibody (JF099-5)

Images

 
Immunohistochemistry-Paraffin: 58K Golgi Protein Antibody (JF099-5) [NBP2-67099] - Analysis of paraffin-embedded human liver tissue using anti-58K Golgi protein antibody. Counter stained with hematoxylin.
Flow Cytometry: 58K Golgi Protein Antibody (JF099-5) [NBP2-67099] - Analysis of HepG2 cells with 58K Golgi protein antibody at 1/50 dilution (red) compared with an unlabelled control (cells without incubation with ...read more
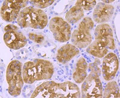
Immunohistochemistry-Paraffin: 58K Golgi Protein Antibody (JF099-5) [NBP2-67099] - Analysis of paraffin-embedded human kidney tissue using anti-58K Golgi protein antibody. Counter stained with hematoxylin.

Product Details

Summary
Product Discontinued
View other related 58K Golgi Protein Primary Antibodies

Order Details


    • Catalog Number
      NBP2-67099
    • Availability
      Product Discontinued

    Can't find what you are looking for? Use our Antibody Concierge Service & we will help you locate your antibody!

    Or feel free to contact us for alternative products.

58K Golgi Protein Antibody (JF099-5) Summary

Additional Information
Recombinant Monoclonal Antibody.
Immunogen
Synthetic peptide within Human 58K Golgi Protein aa 51-100 / 541. (SwissProt: O95954 Human)
Localization
Cytoplasm, Golgi apparatus.
Isotype
IgG
Clonality
Monoclonal
Host
Rabbit
Gene
FTCD
Purity
Protein A purified
Innovator's Reward
Test in a species/application not listed above to receive a full credit towards a future purchase.

Applications/Dilutions

Dilutions
  • Flow Cytometry 1:50-1:100
  • Immunohistochemistry
  • Immunohistochemistry-Paraffin 1:50-1:200
  • Western Blot 1:500-1:1000

Packaging, Storage & Formulations

Storage
Store at 4C short term. Aliquot and store at -20C long term. Avoid freeze-thaw cycles.
Buffer
TBS (pH7.4), 0.05% BSA, 40% Glycerol
Preservative
0.05% Sodium Azide
Concentration
1 mg/ml
Purity
Protein A purified

Alternate Names for 58K Golgi Protein Antibody (JF099-5)

  • formimidoyltransferase cyclodeaminase
  • formimidoyltransferase-cyclodeaminase
  • formiminotransferase cyclodeaminase
  • Formiminotransferase-cyclodeaminase
  • human formiminotransferase cyclodeaminase, EC 4.3.1.410formiminotransferase-cyclodeaminase
  • LCHC1

Background

58K protein antibodies are excellent for use as markers for the Golgi complex. The 58K protein has been identified as being FTCD, a bifunctional enzyme that channels 1-carbon units from formiminoglutamate, a metabolite of the histidine degradation pathway, to the folate pool. Defects in FTCD are the cause of glutamate formiminotransferase deficiency; also known as formiminoglutamicaciduria (FIGLU-uria). It is an autosomal recessive disorder. Features of a severe phenotype, include elevated levels of formiminoglutamate (FIGLU) in the urine in response to histidine administration, megaloblastic anemia, and mental retardation. Features of a mild phenotype include high urinary excretion of FIGLU in the absence of histidine administration, mild developmental delay, and no hematological abnormalities.

Limitations

This product is for research use only and is not approved for use in humans or in clinical diagnosis. Primary Antibodies are guaranteed for 1 year from date of receipt.

Customers Who Viewed This Item Also Viewed...

NBP2-75515
Species: Hu, Mu, Rt
Applications: Flow, ICC/IF,  IHC-P, WB
NB300-223
Species: Bv, Ca, Ch, Eq, Hu, Mu, Po, Rt
Applications: ICC/IF, IHC, IHC-Fr,  IHC-P, WB
7268-CT
Species: Hu
Applications: BA
NBP1-91818
Species: Hu
Applications: IHC,  IHC-P, WB
AF6526
Species: Hu
Applications: WB
H00010963-M01
Species: Hu, Mu
Applications: ELISA, ICC/IF, IHC,  IHC-P, IP, S-ELISA, WB
DRT100
Species: Hu
Applications: ELISA
NBP1-80905
Species: Hu
Applications: ICC/IF, IHC,  IHC-P
NBP3-17040
Species: Hu
Applications: IHC,  IHC-P, WB
NBP2-48817
Species: Hu
Applications: ICC/IF, IHC,  IHC-P, WB
H00008878-M01
Species: Bv, Ha, Hu, Mu, Rb, Rt
Applications: ELISA, ICC/IF, IHC, IHC-Fr,  IHC-P, IP, WB
NB100-2559
Species: Hu
Applications: IHC,  IHC-P, PEP-ELISA, WB
NBP2-02148
Species: Hu
Applications: Flow, ICC/IF, WB
H00003669-M01
Species: Hu
Applications: ELISA, ICC/IF, S-ELISA, WB
H00001719-M01
Species: Hu, Mu, Rt, Ye
Applications: ELISA, ICC/IF, S-ELISA, WB
NBP1-57749
Species: Hu
Applications: IHC,  IHC-P, WB

Publications for 58K Golgi Protein Antibody (NBP2-67099) (0)

There are no publications for 58K Golgi Protein Antibody (NBP2-67099).
By submitting your publication information earn gift cards and discounts for future purchases.

Reviews for 58K Golgi Protein Antibody (NBP2-67099) (0)

There are no reviews for 58K Golgi Protein Antibody (NBP2-67099). By submitting a review you will receive an Amazon e-Gift Card or Novus Product Discount.
  • Review with no image -- $10/€7/£6/$10 CAD/¥70 Yuan/¥1110 Yen
  • Review with an image -- $25/€18/£15/$25 CAD/¥150 Yuan/¥2500 Yen

Product General Protocols

Find general support by application which include: protocols, troubleshooting, illustrated assays, videos and webinars.

Video Protocols

WB Video Protocol

FAQs for 58K Golgi Protein Antibody (NBP2-67099) (0)

There are no specific FAQs related to this product. Read our general customer & technical service FAQs.

Secondary Antibodies

 

Isotype Controls

Additional 58K Golgi Protein Products

Research Areas for 58K Golgi Protein Antibody (NBP2-67099)

Find related products by research area.

Blogs on 58K Golgi Protein

There are no specific blogs for 58K Golgi Protein, but you can read our latest blog posts.

Contact Information

Product PDFs

Calculators

Concentration Calculator

The concentration calculator allows you to quickly calculate the volume, mass or concentration of your vial. Simply enter your mass, volume, or concentration values for your reagent and the calculator will determine the rest.

=
÷

Review this Product

Be the first to review our 58K Golgi Protein Antibody (JF099-5) and receive a gift card or discount.

Bioinformatics

Gene Symbol FTCD