ZNF304 Antibody - BSA Free

Images

 
Immunocytochemistry/ Immunofluorescence: ZNF304 Antibody [NBP2-31901] - Staining of human cell line U-2 OS shows localization to nuclear speckles. Antibody staining is shown in green.
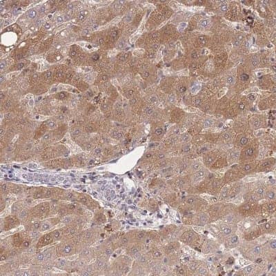
Immunohistochemistry-Paraffin: ZNF304 Antibody [NBP2-31901] - Staining of human liver shows moderate cytoplasmic positivity in hepatocytes.

Product Details

Summary
Reactivity HuSpecies Glossary
Applications ICC/IF, IHC
Clonality
Polyclonal
Host
Rabbit
Conjugate
Unconjugated
Format
BSA Free

Order Details

View Available Formulations
Catalog# & Formulation Size Price

ZNF304 Antibody - BSA Free Summary

Description
Novus Biologicals Rabbit ZNF304 Antibody - BSA Free (NBP2-31901) is a polyclonal antibody validated for use in IHC and ICC/IF. All Novus Biologicals antibodies are covered by our 100% guarantee.
Immunogen
This antibody was developed against a recombinant protein corresponding to amino acids: SLRQHQGDYDGQMLFSCGDEGKAFLDTFTLLDSQMTHAEVRPFRCLPCGNVFKEKS
Isotype
IgG
Clonality
Polyclonal
Host
Rabbit
Gene
ZNF304
Purity
Affinity purified
Innovator's Reward
Test in a species/application not listed above to receive a full credit towards a future purchase.

Applications/Dilutions

Dilutions
  • Immunocytochemistry/ Immunofluorescence 0.25-2 ug/ml
  • Immunohistochemistry 1:500 - 1:1000
  • Immunohistochemistry-Paraffin 1:500 - 1:1000
Application Notes
For IHC-Paraffin, HIER pH 6 retrieval is recommended. ICC/IF Fixation Permeabilization: Use PFA/Triton X-100.
Control Peptide
ZNF304 Protein (NBP2-31901PEP)

Packaging, Storage & Formulations

Storage
Store at 4C short term. Aliquot and store at -20C long term. Avoid freeze-thaw cycles.
Buffer
PBS (pH 7.2) and 40% Glycerol
Preservative
0.02% Sodium Azide
Purity
Affinity purified

Alternate Names for ZNF304 Antibody - BSA Free

  • ZNF304 zinc finger protein 304

Background

ZNF304 may be involved in transcriptional regulation

Limitations

This product is for research use only and is not approved for use in humans or in clinical diagnosis. Primary Antibodies are guaranteed for 1 year from date of receipt.

Customers Who Viewed This Item Also Viewed...

H00003930-B01P
Species: Hu, Mu
Applications: ICC/IF, IHC,  IHC-P, WB
485-MI
Species: Mu
Applications: BA
6507-IL/CF
Species: Hu
Applications: BA
DY417
Species: Mu
Applications: ELISA
AF3635
Species: Mu
Applications: IHC, WB
NBP2-31901
Species: Hu
Applications: ICC/IF, IHC

Publications for ZNF304 Antibody (NBP2-31901) (0)

There are no publications for ZNF304 Antibody (NBP2-31901).
By submitting your publication information earn gift cards and discounts for future purchases.

Reviews for ZNF304 Antibody (NBP2-31901) (0)

There are no reviews for ZNF304 Antibody (NBP2-31901). By submitting a review you will receive an Amazon e-Gift Card or Novus Product Discount.
  • Review with no image -- $10/€7/£6/$10 CAD/¥70 Yuan/¥1110 Yen
  • Review with an image -- $25/€18/£15/$25 CAD/¥150 Yuan/¥2500 Yen

Product General Protocols

Find general support by application which include: protocols, troubleshooting, illustrated assays, videos and webinars.

Video Protocols

ICC/IF Video Protocol

FAQs for ZNF304 Antibody (NBP2-31901) (0)

There are no specific FAQs related to this product. Read our general customer & technical service FAQs.

Customers Who Bought This Also Bought

Contact Information

Product PDFs

Calculators

Concentration Calculator

The concentration calculator allows you to quickly calculate the volume, mass or concentration of your vial. Simply enter your mass, volume, or concentration values for your reagent and the calculator will determine the rest.

=
÷

Review this Product

Be the first to review our ZNF304 Antibody - BSA Free and receive a gift card or discount.

Bioinformatics

Gene Symbol ZNF304
Uniprot