ZDHHC1 Antibody - BSA Free

Images

 
Western Blot: ZDHHC1 Antibody [NBP2-13539] - Lane 1: Marker [kDa] 250, 130, 100, 70, 55, 35, 25, 15, 10Lane 2: Human Tonsil tissue
Immunocytochemistry/ Immunofluorescence: ZDHHC1 Antibody [NBP2-13539] - Immunofluorescent staining of human cell line A-431 shows localization to cytosol.
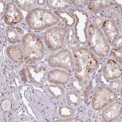
Immunohistochemistry-Paraffin: ZDHHC1 Antibody [NBP2-13539] - Staining of human kidney shows moderate cytoplasmic positivity in cells in tubules.
Lane 1: Marker [kDa] 250, 130, 100, 70, 55, 35, 25, 15, 10Lane 2: Human Tonsil tissue

Product Details

Summary
Reactivity HuSpecies Glossary
Applications WB, ICC/IF, IHC
Clonality
Polyclonal
Host
Rabbit
Conjugate
Unconjugated
Format
BSA Free

Order Details

View Available Formulations
Catalog# & Formulation Size Price

ZDHHC1 Antibody - BSA Free Summary

Description
Novus Biologicals Rabbit ZDHHC1 Antibody - BSA Free (NBP2-13539) is a polyclonal antibody validated for use in IHC, WB and ICC/IF. All Novus Biologicals antibodies are covered by our 100% guarantee.
Immunogen
This antibody was developed against a recombinant protein corresponding to the amino acids: HKLTTYEYIVQHRPPQEAKGVHRELESCPPKMRPIQEMEFYMRTFRHMRPEPPGQAGPAAVNAKHSRPASPDPTPGRRDCAGPPVQVEWD
Isotype
IgG
Clonality
Polyclonal
Host
Rabbit
Gene
ZDHHC1
Purity
Affinity purified
Innovator's Reward
Test in a species/application not listed above to receive a full credit towards a future purchase.

Applications/Dilutions

Dilutions
  • Immunocytochemistry/ Immunofluorescence 0.25-2 ug/ml
  • Immunohistochemistry 1:200 - 1:500
  • Immunohistochemistry-Paraffin 1:200 - 1:500
  • Western Blot 0.04-0.4 ug/ml
Application Notes
For IHC-Paraffin, HIER pH 6 retrieval is recommended. ICC/IF,Fixation Permeabilization: Use PFA/Triton X-100.
Control Peptide
ZDHHC1 Protein (NBP2-13539PEP)

Packaging, Storage & Formulations

Storage
Store at 4C short term. Aliquot and store at -20C long term. Avoid freeze-thaw cycles.
Buffer
PBS (pH 7.2) and 40% Glycerol
Preservative
0.02% Sodium Azide
Purity
Affinity purified

Alternate Names for ZDHHC1 Antibody - BSA Free

  • C16orf1
  • DHHC domain-containing cysteine-rich protein 1
  • DHHC-1
  • DHHC-domain-containing cysteine-rich protein
  • EC 2.3.1.-
  • HSU90653
  • probable palmitoyltransferase ZDHHC1
  • Zinc finger DHHC domain-containing protein 1
  • Zinc finger protein 377
  • zinc finger, DHHC domain containing 1
  • zinc finger, DHHC-type containing 1
  • ZNF377chromosome 16 open reading frame 1

Limitations

This product is for research use only and is not approved for use in humans or in clinical diagnosis. Primary Antibodies are guaranteed for 1 year from date of receipt.

Customers Who Viewed This Item Also Viewed...

NB200-109
Species: Hu, Mu
Applications: ChIP, ChIP, CyTOF-ready, Flow, GS, ICC/IF, IP, WB
AF4559
Species: Hu
Applications: WB
NB600-637
Species: Hu, Mu, Rt
Applications: ELISA, IHC,  IHC-P, WB
NBP3-03473
Species: Hu, Mu, Rt
Applications: ICC/IF, IHC,  IHC-P, KO, WB
NBP1-33704
Species: Hu
Applications: ICC/IF, WB
NBP2-29463
Species: Pm, Hu, Pm, Mu
Applications: Flow, ICC/IF, IHC,  IHC-P, WB
NBP2-56923
Species: Hu
Applications: ICC/IF
AF921
Species: Hu
Applications: IHC, WB
NBP3-13225
Species: Hu
Applications: ICC/IF, IHC,  IHC-P, WB
NBP3-12487
Species: Hu, Mu, Rt
Applications: ELISA, IHC,  IHC-P, WB
AF6897
Species: Hu, Mu
Applications: IHC, Simple Western, WB
NBP2-15140
Species: Hu, Rt
Applications: ICC/IF, IHC,  IHC-P, WB

Publications for ZDHHC1 Antibody (NBP2-13539) (0)

There are no publications for ZDHHC1 Antibody (NBP2-13539).
By submitting your publication information earn gift cards and discounts for future purchases.

Reviews for ZDHHC1 Antibody (NBP2-13539) (0)

There are no reviews for ZDHHC1 Antibody (NBP2-13539). By submitting a review you will receive an Amazon e-Gift Card or Novus Product Discount.
  • Review with no image -- $10/€7/£6/$10 CAD/¥70 Yuan/¥1110 Yen
  • Review with an image -- $25/€18/£15/$25 CAD/¥150 Yuan/¥2500 Yen

Product General Protocols

Find general support by application which include: protocols, troubleshooting, illustrated assays, videos and webinars.

Video Protocols

WB Video Protocol
ICC/IF Video Protocol

FAQs for ZDHHC1 Antibody (NBP2-13539) (0)

There are no specific FAQs related to this product. Read our general customer & technical service FAQs.

Customers Who Bought This Also Bought

Contact Information

Product PDFs

Calculators

Concentration Calculator

The concentration calculator allows you to quickly calculate the volume, mass or concentration of your vial. Simply enter your mass, volume, or concentration values for your reagent and the calculator will determine the rest.

=
÷

Review this Product

Be the first to review our ZDHHC1 Antibody - BSA Free and receive a gift card or discount.

Bioinformatics

Gene Symbol ZDHHC1