WFDC8 Antibody - BSA Free

Images

 
Immunohistochemistry-Paraffin: WFDC8 Antibody [NBP2-62671] - Staining of human cerebral cortex.
Orthogonal Strategies: Immunohistochemistry-Paraffin: WFDC8 Antibody [NBP2-62671] - Analysis in human epididymis and colon tissues using Anti-WFDC8 antibody. Corresponding WFDC8 RNA-seq data are presented for the ...read more
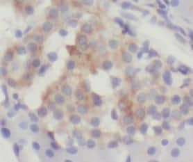
Immunohistochemistry-Paraffin: WFDC8 Antibody [NBP2-62671] - Staining of human epididymis shows high expression.
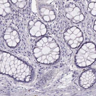
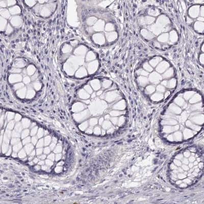
Immunohistochemistry-Paraffin: WFDC8 Antibody [NBP2-62671] - Staining of human colon shows low expression as expected.
Independent Antibodies: Immunohistochemistry-Paraffin: WFDC8 Antibody [NBP2-62671] - Staining of human cerebral cortex, colon, epididymis and liver using Anti-WFDC8 antibody NBP2-62671 (A) shows similar protein ...read more
Immunohistochemistry-Paraffin: WFDC8 Antibody [NBP2-62671] - Staining of human liver.

Product Details

Summary
Reactivity HuSpecies Glossary
Applications IHC
Clonality
Polyclonal
Host
Rabbit
Conjugate
Unconjugated
Format
BSA Free

Order Details

View Available Formulations
Catalog# & Formulation Size Price

WFDC8 Antibody - BSA Free Summary

Description
Novus Biologicals Rabbit WFDC8 Antibody - BSA Free (NBP2-62671) is a polyclonal antibody validated for use in IHC. All Novus Biologicals antibodies are covered by our 100% guarantee.
Immunogen
This antibody was developed against a recombinant protein corresponding to amino acids: GQCPLFPFTERKECPPSCHSDIDCPQTDKCCESRCGFVCARAWTVKKGFCPRKPLLCTKIDKPKCLQDEECPLVEKCCSHCGLKCMDPR
Isotype
IgG
Clonality
Polyclonal
Host
Rabbit
Gene
WFDC8
Purity
Protein A purified
Innovator's Reward
Test in a species/application not listed above to receive a full credit towards a future purchase.

Applications/Dilutions

Dilutions
  • Immunohistochemistry 1:500 - 1:1000
  • Immunohistochemistry-Paraffin 1:500 - 1:1000
Application Notes
For IHC-Paraffin, HIER pH 6 retrieval is recommended.
Control Peptide
WFDC8 Recombinant Protein Antigen (NBP2-62671PEP)

Packaging, Storage & Formulations

Storage
Store at 4C short term. Aliquot and store at -20C long term. Avoid freeze-thaw cycles.
Buffer
PBS (pH 7.2) and 40% Glycerol
Preservative
0.02% Sodium Azide
Purity
Protein A purified

Alternate Names for WFDC8 Antibody - BSA Free

  • C20orf170
  • dJ461P17.1
  • WAP8
  • WFDC8 WAP four-disulfide core domain 8

Limitations

This product is for research use only and is not approved for use in humans or in clinical diagnosis. Primary Antibodies are guaranteed for 1 year from date of receipt.

Customers Who Viewed This Item Also Viewed...

NBP3-05629
Species: Hu, Mu, Rt
Applications: WB
NBP2-51521
Species: Hu
Applications: PAGE
H00140870-P01
Species: Hu
Applications: ELISA, AP, PA, WB
DY1747
Species: Hu
Applications: ELISA
NBP2-50363
Species: Hu
Applications: ELISA, IHC, WB
DPI00
Species: Hu
Applications: ELISA
NBL1-17840
Species: Hu
Applications: WB
NBP2-62613
Species: Hu
Applications: IHC,  IHC-P
NBP3-45550
Species: Hu, Mu
Applications: ELISA, IHC, WB
DHE400
Species: Hu
Applications: ELISA

Publications for WFDC8 Antibody (NBP2-62671) (0)

There are no publications for WFDC8 Antibody (NBP2-62671).
By submitting your publication information earn gift cards and discounts for future purchases.

Reviews for WFDC8 Antibody (NBP2-62671) (0)

There are no reviews for WFDC8 Antibody (NBP2-62671). By submitting a review you will receive an Amazon e-Gift Card or Novus Product Discount.
  • Review with no image -- $10/€7/£6/$10 CAD/¥70 Yuan/¥1110 Yen
  • Review with an image -- $25/€18/£15/$25 CAD/¥150 Yuan/¥2500 Yen

Product General Protocols

Find general support by application which include: protocols, troubleshooting, illustrated assays, videos and webinars.

FAQs for WFDC8 Antibody (NBP2-62671) (0)

There are no specific FAQs related to this product. Read our general customer & technical service FAQs.

Customers Who Bought This Also Bought

Contact Information

Product PDFs

Calculators

Concentration Calculator

The concentration calculator allows you to quickly calculate the volume, mass or concentration of your vial. Simply enter your mass, volume, or concentration values for your reagent and the calculator will determine the rest.

=
÷

Review this Product

Be the first to review our WFDC8 Antibody - BSA Free and receive a gift card or discount.

Bioinformatics

Gene Symbol WFDC8