VSIG1 Antibody - BSA Free

Images

 
Orthogonal Strategies: Immunohistochemistry-Paraffin: VSIG1 Antibody [NBP1-81074] - Staining in human stomach and liver tissues using anti-VSIG1 antibody. Corresponding VSIG1 RNA-seq data are presented for the ...read more
Western Blot: VSIG1 Antibody [NBP1-81074] - Analysis in control (vector only transfected HEK293T lysate) and vSIG1 over-expression lysate (Co-expressed with a C-terminal myc-DDK tag (3.1 kDa) in mammalian HEK293T cells).
Immunohistochemistry-Paraffin: VSIG1 Antibody [NBP1-81074] - Staining of human liver shows low expression as expected.
Western Blot: VSIG1 Antibody [NBP1-81074] - Analysis in denatured VSIG1 overexpression lysate (Cat. # H00340547-T01, left), vector only transfected lysate (center) and native VSIG1 overexpression lysate (Cat. # ...read more
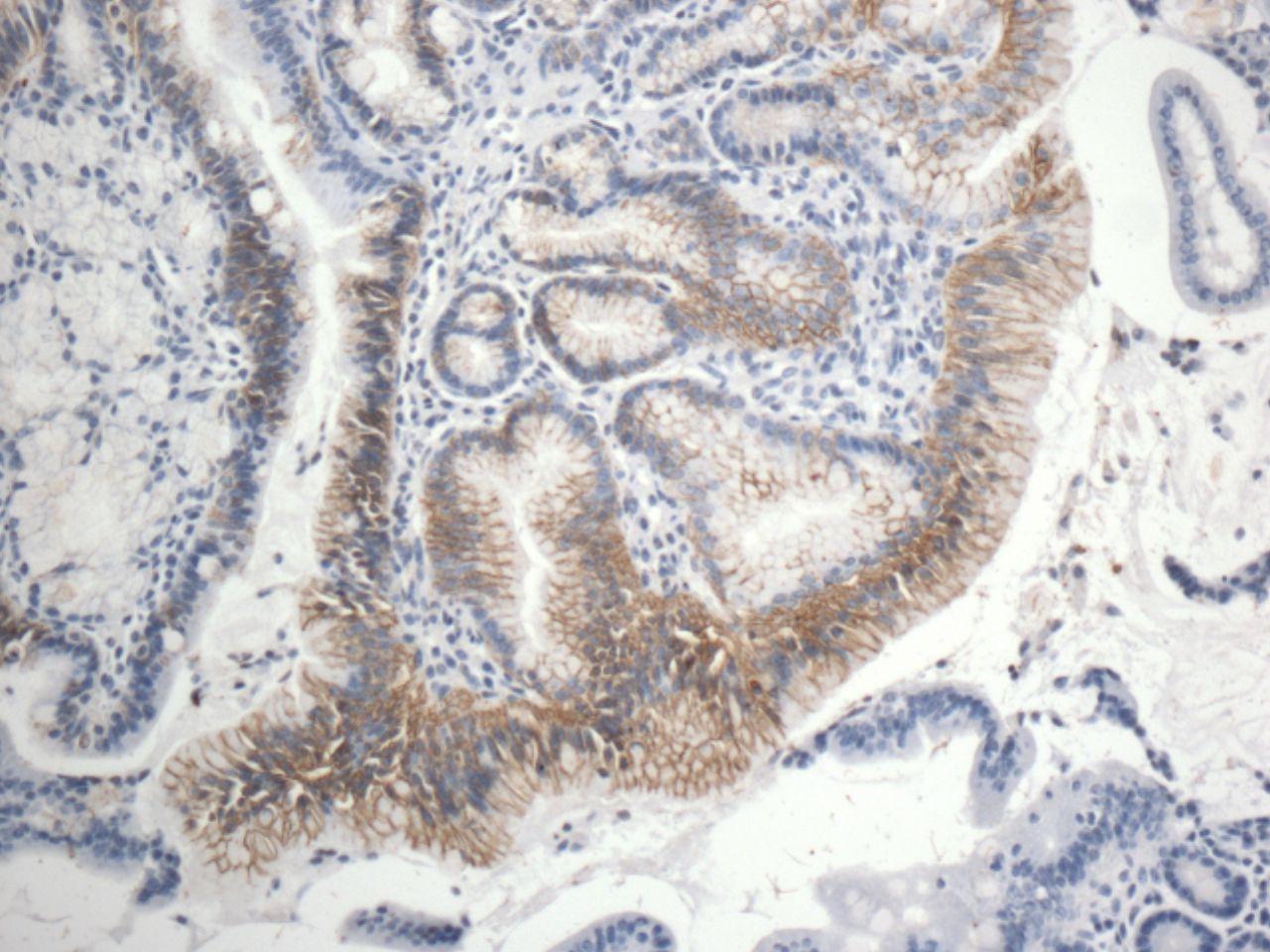
Immunohistochemistry-Paraffin: VSIG1 Antibody [NBP1-81074] - Staining of human stomach shows strong membranous and cytoplasmic positivity in glandular cells.

Product Details

Summary
Reactivity HuSpecies Glossary
Applications WB, IHC
Clonality
Polyclonal
Host
Rabbit
Conjugate
Unconjugated
Format
BSA Free
Validated by:
       

Orthogonal Strategies

 

Order Details

View Available Formulations
Catalog# & Formulation Size Price

VSIG1 Antibody - BSA Free Summary

Description
Novus Biologicals Rabbit VSIG1 Antibody - BSA Free (NBP1-81074) is a polyclonal antibody validated for use in IHC and WB. Anti-VSIG1 Antibody: Cited in 1 publication. All Novus Biologicals antibodies are covered by our 100% guarantee.
Immunogen
This antibody was developed against Recombinant Protein corresponding to amino acids: QAVAIGQFKDRITGSNDPGNASITISHMQPADSGIYICDVNNPPDFLGQNQGILNVSVLVKPSKPLCSVQGRPETGHTISLSCLSALGTPSPVYYWHKLEGRDIVPV
Isotype
IgG
Clonality
Polyclonal
Host
Rabbit
Gene
VSIG1
Purity
Immunogen affinity purified
Innovator's Reward
Test in a species/application not listed above to receive a full credit towards a future purchase.

Applications/Dilutions

Dilutions
  • Immunohistochemistry 1:500 - 1:1000
  • Immunohistochemistry-Paraffin 1:500 - 1:1000
  • Western Blot 0.04-0.4 ug/ml
Application Notes
For IHC-Paraffin, HIER pH 6 retrieval is recommended.
Control Peptide
VSIG1 Protein (NBP1-81074PEP)
Reviewed Applications
Read 2 Reviews rated 5
using
NBP1-81074 in the following applications:

Publications
Read Publication using NBP1-81074.

Reactivity Notes

Immunogen displays the following percentage of sequence identity for non-tested species: Rat (82%)

Packaging, Storage & Formulations

Storage
Store at 4C short term. Aliquot and store at -20C long term. Avoid freeze-thaw cycles.
Buffer
PBS (pH 7.2) and 40% Glycerol
Preservative
0.02% Sodium Azide
Purity
Immunogen affinity purified

Alternate Names for VSIG1 Antibody - BSA Free

  • Cell surface A33 antigen
  • dJ889N15.1
  • Glycoprotein A34
  • GPA34
  • MGC44287,1700062D20Rik
  • V-set and immunoglobulin domain containing 1
  • V-set and immunoglobulin domain-containing protein 1
  • VSIG1

Background

The VSIG1 gene encodes a member of the junctional adhesion molecule (JAM) family. The encoded protein contains multipleglycosylation sites at the N-terminal region, and multiple phosphorylation sites and glutamic acid/proline (EP)repeats at the C-terminal regi

Limitations

This product is for research use only and is not approved for use in humans or in clinical diagnosis. Primary Antibodies are guaranteed for 1 year from date of receipt.

Customers Who Viewed This Item Also Viewed...

AF3080
Species: Hu
Applications: CyTOF-ready, Flow, IHC, Simple Western, WB
H00050848-M01
Species: Hu
Applications: ELISA, ICC/IF, IHC,  IHC-P, PLA, S-ELISA, WB
AF3449
Species: Hu
Applications: CyTOF-ready, ELISA(Cap), ELISA(Det), ELISA(Sta), Flow, WB
NBP1-85047
Species: Hu, Mu, Po, Rt
Applications: ICC/IF, IHC,  IHC-P, WB
NBP1-26612
Species: Hu
Applications: IP (-), WB
NBP1-81074
Species: Hu
Applications: WB, IHC

Publications for VSIG1 Antibody (NBP1-81074)(1)

We have publications tested in 1 confirmed species: Human.


Filter By Application
All Applications
Filter By Species
Human
(1)
All Species

Reviews for VSIG1 Antibody (NBP1-81074) (2) 52

Average Rating: 5
(Based on 2 reviews)
We have 2 reviews tested in 2 species: Human, Both human and mouse tissue.

Reviews using NBP1-81074:
Filter by Applications
 IHC-P
(1)
WB
(1)
All Applications
Filter by Species
Human
(1)
Both human and mouse tissue
(1)
All Species
Images Ratings Applications Species Date Details
Immunohistochemistry-Paraffin VSIG1 NBP1-81074
Enlarge
5
reviewed by:
Jennifer Cotton
 IHC-P Both human and mouse tissue 12/08/2016
View

Summary

ApplicationImmunohistochemistry-Paraffin
Sample TestedParaffin sections of human and mouse intestine
SpeciesBoth human and mouse tissue
LotN/A
Western Blot VSIG1 NBP1-81074
Enlarge
5
reviewed by:
Ming Lu
WB Human 09/26/2014
View

Summary

ApplicationWestern Blot
Sample TestedVSIG1 overepxression lysate
SpeciesHuman
LotA95938

Product General Protocols

Find general support by application which include: protocols, troubleshooting, illustrated assays, videos and webinars.

Video Protocols

WB Video Protocol

FAQs for VSIG1 Antibody (NBP1-81074) (0)

There are no specific FAQs related to this product. Read our general customer & technical service FAQs.

Customers Who Bought This Also Bought

Contact Information

Product PDFs

Calculators

Concentration Calculator

The concentration calculator allows you to quickly calculate the volume, mass or concentration of your vial. Simply enter your mass, volume, or concentration values for your reagent and the calculator will determine the rest.

=
÷

Recent Reviews

5
5
2
4
0
3
0
2
0
1
0

Jennifer Cotton
12/08/2016
Application:  IHC-P
Species: Both human and mouse tissue

Ming Lu
09/26/2014
Application: WB
Species: Human

Bioinformatics

Gene Symbol VSIG1
Entrez
Uniprot