TEX30 Antibody - BSA Free

Images

 
Western Blot: TEX30 Antibody [NBP2-30640] - Lane 1: Marker [kDa] 250, 130, 100, 70, 55, 35, 25, 15, 10. Lane 2: MOLT-4
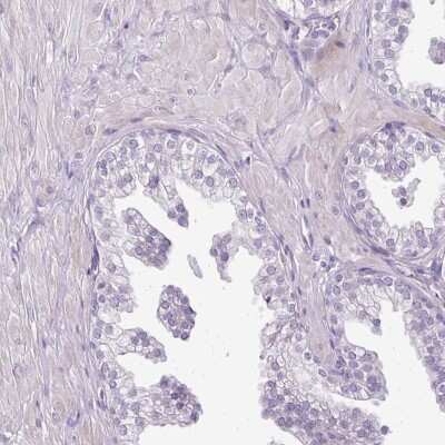
Orthogonal Strategies: Immunohistochemistry-Paraffin: TEX30 Antibody [NBP2-30640] - Staining in human testis and prostate tissues using anti-TEX30 antibody. Corresponding TEX30 RNA-seq data are presented for the ...read more
Immunohistochemistry-Paraffin: TEX30 Antibody [NBP2-30640] - Staining of human prostate shows low expression as expected.
Immunohistochemistry-Paraffin: TEX30 Antibody [NBP2-30640] - Staining of human testis shows high expression.

Product Details

Summary
Reactivity Hu, Mu, RtSpecies Glossary
Applications WB, IHC
Clonality
Polyclonal
Host
Rabbit
Conjugate
Unconjugated
Format
BSA Free
Validated by:
       

Orthogonal Strategies

 

Order Details

View Available Formulations
Catalog# & Formulation Size Price

TEX30 Antibody - BSA Free Summary

Description
Novus Biologicals Rabbit TEX30 Antibody - BSA Free (NBP2-30640) is a polyclonal antibody validated for use in IHC and WB. All Novus Biologicals antibodies are covered by our 100% guarantee.
Immunogen
This antibody was developed against a recombinant protein corresponding to amino acids: LGGRSMGSRAAASVMCHIEPDDGDDFVRGLICISYPLHHPKQQHKLRDEDLFRLKEPVLFVSGSADEMCEKNLLEKVAQKMQAP
Predicted Species
Mouse (95%), Rat (94%). Backed by our 100% Guarantee.
Isotype
IgG
Clonality
Polyclonal
Host
Rabbit
Gene
TEX30
Purity
Immunogen affinity purified
Innovator's Reward
Test in a species/application not listed above to receive a full credit towards a future purchase.

Applications/Dilutions

Dilutions
  • Immunohistochemistry 1:200 - 1:500
  • Immunohistochemistry-Paraffin 1:200 - 1:500
  • Western Blot 0.04-0.4 ug/ml
Application Notes
For IHC-Paraffin, HIER pH 6 retrieval is recommended.
Control Peptide
TEX30 Protein (NBP2-30640PEP)

Packaging, Storage & Formulations

Storage
Store at 4C short term. Aliquot and store at -20C long term. Avoid freeze-thaw cycles.
Buffer
PBS (pH 7.2) and 40% Glycerol
Preservative
0.02% Sodium Azide
Purity
Immunogen affinity purified

Alternate Names for TEX30 Antibody - BSA Free

  • C13orf27
  • chromosome 13 open reading frame 27
  • hypothetical protein LOC93081
  • RP11-484I6.3
  • testis expressed 30

Limitations

This product is for research use only and is not approved for use in humans or in clinical diagnosis. Primary Antibodies are guaranteed for 1 year from date of receipt.

Customers Who Viewed This Item Also Viewed...

602-A1
Species: Mu
Applications: Bind
AF2550
Species: Hu
Applications: ELISA(Cap), ELISA(Det), ELISA(Sta), IHC, IP, WB
H00056937-M01
Species: Hu, Mu, Rt
Applications: ELISA, ICC/IF, IHC,  IHC-P, WB
H00022894-B01P
Species: Ch, Hu, Mu
Applications: ICC/IF, WB

Publications for TEX30 Antibody (NBP2-30640) (0)

There are no publications for TEX30 Antibody (NBP2-30640).
By submitting your publication information earn gift cards and discounts for future purchases.

Reviews for TEX30 Antibody (NBP2-30640) (0)

There are no reviews for TEX30 Antibody (NBP2-30640). By submitting a review you will receive an Amazon e-Gift Card or Novus Product Discount.
  • Review with no image -- $10/€7/£6/$10 CAD/¥70 Yuan/¥1110 Yen
  • Review with an image -- $25/€18/£15/$25 CAD/¥150 Yuan/¥2500 Yen

Product General Protocols

Find general support by application which include: protocols, troubleshooting, illustrated assays, videos and webinars.

Video Protocols

WB Video Protocol

FAQs for TEX30 Antibody (NBP2-30640) (0)

There are no specific FAQs related to this product. Read our general customer & technical service FAQs.

Customers Who Bought This Also Bought

Contact Information

Product PDFs

Calculators

Concentration Calculator

The concentration calculator allows you to quickly calculate the volume, mass or concentration of your vial. Simply enter your mass, volume, or concentration values for your reagent and the calculator will determine the rest.

=
÷

Review this Product

Be the first to review our TEX30 Antibody - BSA Free and receive a gift card or discount.

Bioinformatics

Gene Symbol TEX30
Uniprot