SPACA5B Antibody - BSA Free

Images

 
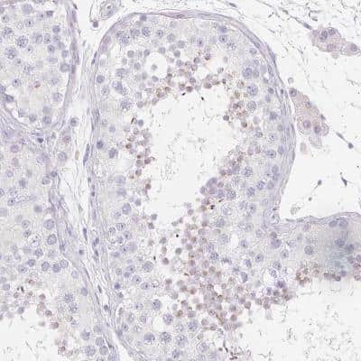
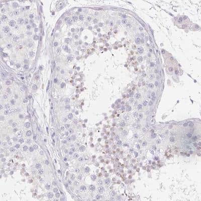
Immunohistochemistry: SPACA5 Antibody [NBP2-46703] - Staining of human testis shows cytoplasmic positivity in acrosomal cap of sperm.

Product Details

Summary
Reactivity Hu, RtSpecies Glossary
Applications IHC
Clonality
Polyclonal
Host
Rabbit
Conjugate
Unconjugated
Format
BSA Free

Order Details

View Available Formulations
Catalog# & Formulation Size Price

SPACA5B Antibody - BSA Free Summary

Description
Novus Biologicals Rabbit SPACA5B Antibody - BSA Free (NBP2-46703) is a polyclonal antibody validated for use in IHC. All Novus Biologicals antibodies are covered by our 100% guarantee.
Immunogen
This antibody was developed against Recombinant Protein corresponding to amino acids: AGLNGYKGYGVGDWLCMAHYESGFDTAFVDHNPDGSSEYGIFQLNSAWWCDNGITPTKNLC
Predicted Species
Rat (90%). Backed by our 100% Guarantee.
Isotype
IgG
Clonality
Polyclonal
Host
Rabbit
Gene
SPACA5B
Purity
Immunogen affinity purified
Innovator's Reward
Test in a species/application not listed above to receive a full credit towards a future purchase.

Applications/Dilutions

Dilutions
  • Immunohistochemistry 1:500 - 1:1000
  • Immunohistochemistry-Paraffin 1:500 - 1:1000
Application Notes
For IHC-Paraffin, HIER pH 6 retrieval is recommended.
Control Peptide
SPACA5B Recombinant Protein Antigen (NBP2-46703PEP)

Reactivity Notes

Immunogen displays the following percentage of sequence identity for non-tested species: Mouse (89%)

Packaging, Storage & Formulations

Storage
Store at 4C short term. Aliquot and store at -20C long term. Avoid freeze-thaw cycles.
Buffer
PBS (pH 7.2) and 40% Glycerol
Preservative
0.02% Sodium Azide
Purity
Immunogen affinity purified

Alternate Names for SPACA5B Antibody - BSA Free

  • Lysozyme-Like Protein 5
  • LYZL5
  • LYZL5B
  • SLLP-X
  • SPACA5 SPACA5B
  • SPACA5A
  • Sperm Acrosome Associated 5B
  • Sperm Acrosome-Associated Protein 5
  • Sperm-Specific Lysozyme-Like Protein X

Limitations

This product is for research use only and is not approved for use in humans or in clinical diagnosis. Primary Antibodies are guaranteed for 1 year from date of receipt.

Customers Who Viewed This Item Also Viewed...

NBP2-32480
Species: Hu
Applications: ICC/IF, IHC,  IHC-P
NBP3-14088
Species: Hu
Applications: ELISA, Flow, ICC/IF, IP, PA, WB
NBP2-49585
Species: Hu
Applications: ICC/IF, IHC,  IHC-P
NBP2-88655
Species: Hu
Applications: IHC,  IHC-P, WB
NBP1-87691
Species: Hu
Applications: IHC,  IHC-P, WB
NBP2-46703
Species: Hu, Rt
Applications: IHC

Publications for SPACA5B Antibody (NBP2-46703) (0)

There are no publications for SPACA5B Antibody (NBP2-46703).
By submitting your publication information earn gift cards and discounts for future purchases.

Reviews for SPACA5B Antibody (NBP2-46703) (0)

There are no reviews for SPACA5B Antibody (NBP2-46703). By submitting a review you will receive an Amazon e-Gift Card or Novus Product Discount.
  • Review with no image -- $10/€7/£6/$10 CAD/¥70 Yuan/¥1110 Yen
  • Review with an image -- $25/€18/£15/$25 CAD/¥150 Yuan/¥2500 Yen

Product General Protocols

Find general support by application which include: protocols, troubleshooting, illustrated assays, videos and webinars.

FAQs for SPACA5B Antibody (NBP2-46703) (0)

There are no specific FAQs related to this product. Read our general customer & technical service FAQs.

Customers Who Bought This Also Bought

Contact Information

Product PDFs

Calculators

Concentration Calculator

The concentration calculator allows you to quickly calculate the volume, mass or concentration of your vial. Simply enter your mass, volume, or concentration values for your reagent and the calculator will determine the rest.

=
÷

Review this Product

Be the first to review our SPACA5B Antibody - BSA Free and receive a gift card or discount.

Bioinformatics

Gene Symbol SPACA5B