Septin-7 Antibody - BSA Free

Images

 
Western Blot: Septin-7 Antibody [NBP2-95090] - Analysis of extracts of various cell lines, using Septin-7 at 1:1000 dilution. Secondary antibody: HRP Goat Anti-Rabbit IgG (H+L) at 1:10000 dilution. Lysates/proteins: ...read more
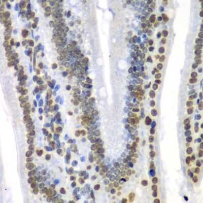
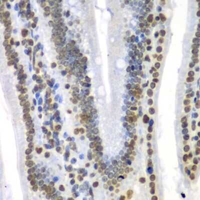
Immunohistochemistry-Paraffin: Septin-7 Antibody [NBP2-95090] - Paraffin-embedded mouse Intestine using Septin-7 .
Western Blot: Septin-7 Antibody [NBP2-95090] - Paraffin-embedded mouse kidney using Septin-7 .
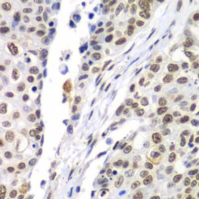
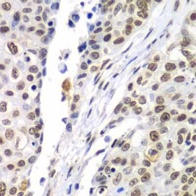
Immunohistochemistry-Paraffin: Septin-7 Antibody [NBP2-95090] - Paraffin-embedded human lung cancer using Septin-7 .

Product Details

Summary
Product Discontinued
View other related Septin-7 Primary Antibodies

Order Details


    • Catalog Number
      NBP2-95090
    • Availability
      Product Discontinued

    Can't find what you are looking for? Use our Antibody Concierge Service & we will help you locate your antibody!

    Or feel free to contact us for alternative products.

Septin-7 Antibody - BSA Free Summary

Immunogen
Recombinant fusion protein containing a sequence corresponding to amino acids 307-436 of human Septin-7 (NP_001011553.2). NYRSRKLAAVTYNGVDNNKNKGQLTKSPLAQMEEERREHVAKMKKMEMEMEQVFEMKVKEKVQKLKDSEAELQRRHEQMKKNLEAQHKELEEKRRQFEDEKANWEAQQRILEQQNSSRTLEKNKKKGKIF
Isotype
IgG
Clonality
Polyclonal
Host
Rabbit
Gene
SEPTIN7
Purity
Affinity purified
Innovator's Reward
Test in a species/application not listed above to receive a full credit towards a future purchase.

Applications/Dilutions

Dilutions
  • Immunohistochemistry 1:50 - 1:200
  • Immunohistochemistry-Paraffin
  • Western Blot 1:500 - 1:2000
Theoretical MW
50 kDa.
Disclaimer note: The observed molecular weight of the protein may vary from the listed predicted molecular weight due to post translational modifications, post translation cleavages, relative charges, and other experimental factors.

Packaging, Storage & Formulations

Storage
Store at -20C. Avoid freeze-thaw cycles.
Buffer
PBS (pH 7.3), 50% glycerol
Preservative
0.02% Sodium Azide
Purity
Affinity purified

Alternate Names for Septin-7 Antibody - BSA Free

  • CDC10 cell division cycle 10 homolog (S. cerevisiae)
  • CDC10 cell division cycle 10 homolog
  • CDC10 protein homolog
  • CDC10S. cerevisiae, homolog)
  • Nbla02942
  • septin 7
  • septin-7

Background

This gene encodes a protein that is highly similar to the CDC10 protein of Saccharomyces cerevisiae. The protein also shares similarity with Diff 6 of Drosophila and with H5 of mouse. Each of these similar proteins, including the yeast CDC10, contains a GTP-binding motif. The yeast CDC10 protein is a structural component of the 10 nm filament which lies inside the cytoplasmic membrane and is essential for cytokinesis. Although the exact function of this gene has not yet been determined, its high similarity to yeast CDC10 and the high conservative nature of eukaryotic cell cycle machinery suggest a similar role to that of its yeast counterpart. Alternative splicing results in two transcript variants encoding different isoforms. [provided by RefSeq]

Limitations

This product is for research use only and is not approved for use in humans or in clinical diagnosis. Primary Antibodies are guaranteed for 1 year from date of receipt.

Customers Who Viewed This Item Also Viewed...

NBP1-85729
Species: Hu, Mu, Rt
Applications: ICC/IF, IHC,  IHC-P, WB
NBP2-33466
Species: Hu
Applications: ICC/IF, IHC,  IHC-P, WB
NBP1-89787
Species: Hu, Mu, Rt
Applications: ICC/IF, IHC,  IHC-P, KD, WB
NB500-106
Species: Ch, Dr, Fi, Hu, Mar, Mu, Po, Pm, Rb, Rt, Ye, Ze
Applications: ChIP, ChIP, ELISA, Flow, ICC/IF, IHC-FrFl, IHC, IHC-Fr,  IHC-P, IP, Simple Western, WB
H00010097-M01
Species: Hu
Applications: ELISA, IHC,  IHC-P, S-ELISA, WB
NBP2-71688
Species: Ca, Hu, Mu, Rt
Applications: CyTOF-ready, Flow, ICC/IF, IHC,  IHC-P, IP, WB
NBP1-33506
Species: Hu, Mu
Applications: IHC,  IHC-P, WB
NBP1-85727
Species: Hu
Applications: ICC/IF, IHC,  IHC-P
NBP3-13279
Species: Hu, Mu, Rt
Applications: ICC/IF, IHC,  IHC-P, WB
AF3847
Species: Hu
Applications: ICC, WB
NBP1-97492
Species: Bv, Ca, Ch, Fi, Gp, Ha, Hu, Mu, Pm, Rb, Rt, Sh
Applications: ICC/IF, IHC,  IHC-P, IP, WB
NBP2-95090
Species: Hu, Mu, Rt
Applications: WB, IHC

Publications for Septin-7 Antibody (NBP2-95090) (0)

There are no publications for Septin-7 Antibody (NBP2-95090).
By submitting your publication information earn gift cards and discounts for future purchases.

Reviews for Septin-7 Antibody (NBP2-95090) (0)

There are no reviews for Septin-7 Antibody (NBP2-95090). By submitting a review you will receive an Amazon e-Gift Card or Novus Product Discount.
  • Review with no image -- $10/€7/£6/$10 CAD/¥70 Yuan/¥1110 Yen
  • Review with an image -- $25/€18/£15/$25 CAD/¥150 Yuan/¥2500 Yen

Product General Protocols

Find general support by application which include: protocols, troubleshooting, illustrated assays, videos and webinars.

Video Protocols

WB Video Protocol

FAQs for Septin-7 Antibody (NBP2-95090) (0)

There are no specific FAQs related to this product. Read our general customer & technical service FAQs.

Secondary Antibodies

 

Isotype Controls

Additional Septin-7 Products

Research Areas for Septin-7 Antibody (NBP2-95090)

Find related products by research area.

Blogs on Septin-7

There are no specific blogs for Septin-7, but you can read our latest blog posts.

Contact Information

Product PDFs

Calculators

Concentration Calculator

The concentration calculator allows you to quickly calculate the volume, mass or concentration of your vial. Simply enter your mass, volume, or concentration values for your reagent and the calculator will determine the rest.

=
÷

Review this Product

Be the first to review our Septin-7 Antibody - BSA Free and receive a gift card or discount.

Bioinformatics

Gene Symbol SEPTIN7