SAPCD2 Antibody - BSA Free

Images

 
Immunocytochemistry/ Immunofluorescence: SAPCD2 Antibody [NBP1-91740] - Staining of human cell line U-2 OS shows localization to nucleus & cytosol. Antibody staining is shown in green.
Immunohistochemistry-Paraffin: SAPCD2 Antibody [NBP1-91740] - Staining of human rectum shows moderate cytoplasmic and nuclear positivity in glandular cells.
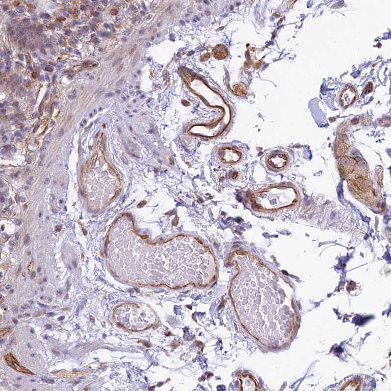
Staining of human colon shows moderate cytoplasmic membranous positivity in endothelial cells.
Staining of human cerebral cortex shows moderate cytoplasmic membranous positivity in endothelial cells.
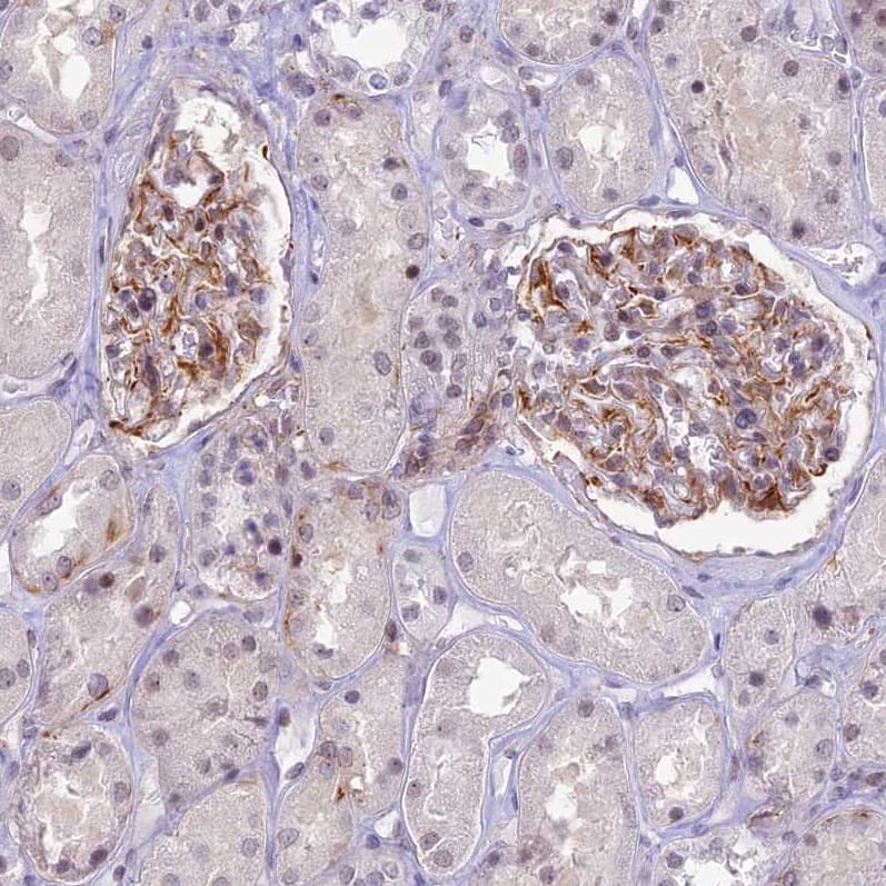
Staining of human kidney shows moderate cytoplasmic membranous positivity in cells in glomeruli.
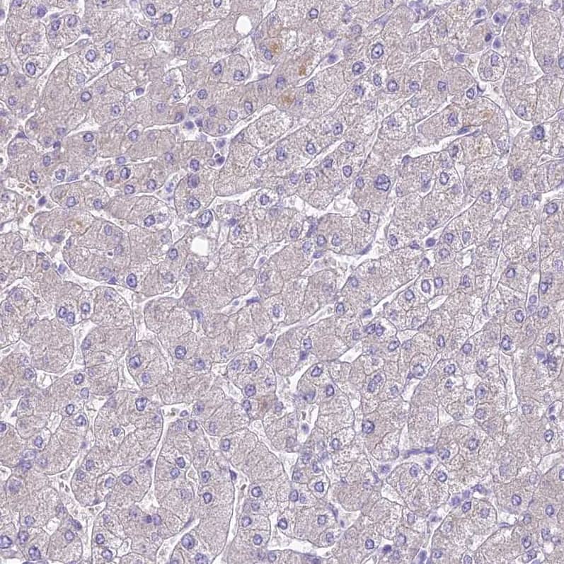
Staining of human liver shows no positivity in hepatocytes as expected.

Product Details

Summary
Product Discontinued
View other related SAPCD2 Primary Antibodies

Order Details


    • Catalog Number
      NBP1-91740
    • Availability
      Product Discontinued

    Can't find what you are looking for? Use our Antibody Concierge Service & we will help you locate your antibody!

    Or feel free to contact us for alternative products.

SAPCD2 Antibody - BSA Free Summary

Description
Novus Biologicals Rabbit SAPCD2 Antibody - BSA Free (NBP1-91740) is a polyclonal antibody validated for use in IHC, WB and ICC/IF. Anti-SAPCD2 Antibody: Cited in 1 publication. All Novus Biologicals antibodies are covered by our 100% guarantee.
Immunogen
This antibody was developed against Recombinant Protein corresponding to amino acids: ELEQEKEVLLQGLEMMARGRDWYQQQLQRVQERQRRLGQSRASADFGAAGSPRPLGRLLPKVQEVARC
Predicted Species
Mouse (93%). Backed by our 100% Guarantee.
Isotype
IgG
Clonality
Polyclonal
Host
Rabbit
Gene
SAPCD2
Purity
Immunogen affinity purified
Innovator's Reward
Test in a species/application not listed above to receive a full credit towards a future purchase.

Applications/Dilutions

Dilutions
  • Immunocytochemistry/ Immunofluorescence 0.25-2 ug/ml
  • Immunohistochemistry 1:1000 - 1:2500
  • Immunohistochemistry-Paraffin 1:1000 - 1:2500
Application Notes
For IHC-Paraffin, HIER pH 6 retrieval method is recommended. ICC/IF Fixation Permeabilization: Use PFA/Triton X-100.
Publications
Read Publications using NBP1-91740.

Reactivity Notes

Immunogen displays the following percentage of sequence identity for non-tested species: Rat (88%)

Packaging, Storage & Formulations

Storage
Store at 4C short term. Aliquot and store at -20C long term. Avoid freeze-thaw cycles.
Buffer
PBS (pH 7.2) and 40% Glycerol
Preservative
0.02% Sodium Azide
Purity
Immunogen affinity purified

Alternate Names for SAPCD2 Antibody - BSA Free

  • C9orf140
  • chromosome 9 open reading frame 140
  • p42.3
  • SAPCD2
  • suppressor APC domain containing 2

Background

Chimera RNA interference (chimera RNAi) is process by which small interfering RNA/DNA chimera triggers the destruction of mRNA for the original gene. The discovery work, design, and application of chimera RNAi has been pioneered by Professor Kaoru Saigo and Dr. Kumiko Ui-Tei at the University of Tokyo. Chimera RNAi has many advantages over the conventional siRNAs. First, it has been demonstrated to have reliable knock-down for over 10,000 human genes. Because the human genome is composed of an intricate, genetic network, chimera RNAi's unique design has successfully obviated the off-target effects including microRNA-based influence. Another advantage of the chimera RNAi technology is its effectiveness at low concentrations (0.5nM to 5nM); only mRNA is destroyed so genomic genes are not affected. Finally, having both the sense and anti-sense strands consisting RNA/DNA chimera, it offers much greater compound stability for streamlining in vitro and in vivo assays and applications while minimizing interferon induction and other adverse reactions.

Limitations

This product is for research use only and is not approved for use in humans or in clinical diagnosis. Primary Antibodies are guaranteed for 1 year from date of receipt.

Customers Who Viewed This Item Also Viewed...

NB600-302
Species: Bv, Dr, Hu, Mu
Applications: ChIP, ELISA, Flow-IC, Flow, IB, ICC/IF, IHC, IHC-Fr,  IHC-P, IP, PLA, S-ELISA, Simple Western, WB
NBP2-71688
Species: Ca, Hu, Mu, Rt
Applications: CyTOF-ready, Flow, ICC/IF, IHC,  IHC-P, IP, WB
AF6000
Species: Hu, Mu
Applications: IHC, Simple Western, WB
NBP1-77397
Species: Hu, Mu
Applications: Flow, IB, ICC/IF, IHC,  IHC-P, KD, Simple Western, WB
H00001164-M01
Species: Hu
Applications: ELISA, ICC/IF, S-ELISA, WB
NBP3-35390
Species: Hu, Mu, Rt
Applications: ELISA, ICC/IF, IHC,  IHC-P, WB
AF4874
Species: Hu
Applications: IHC, WB
NBP2-61832
Species: Hu, Pm, Mu, Rt
Applications: ELISA, Flow, ICC/IF, IHC,  IHC-P, WB
NBP2-42864
Species: Hu, Mu, Rt
Applications: ICC/IF, IHC,  IHC-P, IP, WB
NBP3-46656
Species: Hu, Mu, Rt
Applications: ELISA, IHC, WB
H00054606-M05
Species: Hu, Rt
Applications: ELISA, ICC/IF, IHC,  IHC-P, S-ELISA, WB
NBP2-46483
Species: Hu, Mu, Rt
Applications: IHC,  IHC-P, WB
NB100-1718
Species: Hu, Mu, Ze
Applications: ChIP, ChIP, Flow, ICC/IF, IHC,  IHC-P, IP, KD, WB
NBP1-91740
Species: Hu, Mu
Applications: ICC/IF, IHC

Publications for SAPCD2 Antibody (NBP1-91740)(2)

We have publications tested in 2 applications: Immunohistochemistry, WB.


Filter By Application
Immunohistochemistry
(1)
WB
(1)
All Applications
Filter By Species
All Species
Showing Publications 1 - 2 of 2.
Publications using NBP1-91740 Applications Species
Sun Z, Mao Y, Zhang X et al. Identification of ARHGEF38, NETO2, GOLM1, and SAPCD2 Associated With Prostate Cancer Progression by Bioinformatic Analysis and Experimental Validation Frontiers in Cell and Developmental Biology 2021-09-01 [PMID: 34540835] (Immunohistochemistry) Immunohistochemistry
Baker AL Investigating the Novel Oncogenic Function of SAPCD2 in Pediatric Neuroblastoma Thesis 2021-01-01 (WB) WB

Reviews for SAPCD2 Antibody (NBP1-91740) (0)

There are no reviews for SAPCD2 Antibody (NBP1-91740). By submitting a review you will receive an Amazon e-Gift Card or Novus Product Discount.
  • Review with no image -- $10/€7/£6/$10 CAD/¥70 Yuan/¥1110 Yen
  • Review with an image -- $25/€18/£15/$25 CAD/¥150 Yuan/¥2500 Yen

Product General Protocols

Find general support by application which include: protocols, troubleshooting, illustrated assays, videos and webinars.

Video Protocols

ICC/IF Video Protocol

FAQs for SAPCD2 Antibody (NBP1-91740) (0)

There are no specific FAQs related to this product. Read our general customer & technical service FAQs.

Contact Information

Product PDFs

Calculators

Concentration Calculator

The concentration calculator allows you to quickly calculate the volume, mass or concentration of your vial. Simply enter your mass, volume, or concentration values for your reagent and the calculator will determine the rest.

=
÷

Review this Product

Be the first to review our SAPCD2 Antibody - BSA Free and receive a gift card or discount.

Bioinformatics

Gene Symbol SAPCD2
Entrez
Uniprot