RPUSD2 Antibody - BSA Free

Images

 
Western Blot: RPUSD2 Antibody [NBP1-80477] - Titration: 5.0ug/ml Positive Control: HepG2 cell lysate.
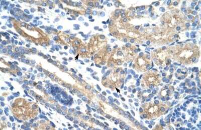
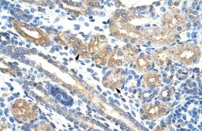
Immunohistochemistry-Paraffin: RPUSD2 Antibody [NBP1-80477] - Human kidney Tissue, antibody concentration 4-8ug/ml. Cells with positive label: renal corpuscle cells (indicated with arrows) 400X magnification.

Product Details

Summary
Reactivity HuSpecies Glossary
Applications WB, IHC
Clonality
Polyclonal
Host
Rabbit
Conjugate
Unconjugated
Format
BSA Free
Concentration
1 mg/ml

Order Details

RPUSD2 Antibody - BSA Free Summary

Description
The addition of 50% glycerol is optional for those storing this antibody at -20C and not aliquoting smaller units. However, please note that glycerol may interrupt some downstream antibody applications and should be added with caution.
Immunogen
Synthetic peptide directed towards the N terminal of human RPUSD2. Peptide sequence LKDNDFLRNTVHRHEPPVTAEPIRLLAENEDVVVVDKPSSIPVHPCGRFR. The peptide sequence for this immunogen was taken from within the described region.
Isotype
IgG
Clonality
Polyclonal
Host
Rabbit
Gene
RPUSD2
Purity
Protein A purified
Innovator's Reward
Test in a species/application not listed above to receive a full credit towards a future purchase.

Applications/Dilutions

Dilutions
  • Immunohistochemistry 1:10-1:500
  • Immunohistochemistry-Paraffin 1:10-1:500
  • Western Blot 1.0 ug/ml

Packaging, Storage & Formulations

Storage
Store at 4C short term. Aliquot and store at -20C long term. Avoid freeze-thaw cycles.
Buffer
PBS, 2% Sucrose
Preservative
0.09% Sodium Azide
Concentration
1 mg/ml
Purity
Protein A purified

Alternate Names for RPUSD2 Antibody - BSA Free

  • C15orf19
  • C18B11 homolog (44.9kD)
  • C18B11
  • chromosome 15 open reading frame 19
  • FLJ31409
  • RNA pseudouridylate synthase domain containing 2
  • RNA pseudouridylate synthase domain-containing protein 2

Limitations

This product is for research use only and is not approved for use in humans or in clinical diagnosis. Primary Antibodies are guaranteed for 1 year from date of receipt.

Customers Who Viewed This Item Also Viewed...

NBP1-32847
Species: Hu
Applications: ICC/IF, IP, WB
NBP3-35061
Species: Hu, Mu, Rt
Applications: ELISA, ICC/IF, IP, WB
NBP3-05293
Species: Hu
Applications: ICC/IF, IHC,  IHC-P, WB
NBP3-12291
Species: Hu, Mu, Rt
Applications: ELISA, IHC,  IHC-P, IP, WB
NBP1-83840
Species: Hu
Applications: IHC,  IHC-P
MAB7200
Species: Mu
Applications: CyTOF-ready, Flow, IHC
NBP3-13225
Species: Hu
Applications: ICC/IF, IHC,  IHC-P, WB
NBP1-80477
Species: Hu
Applications: WB, IHC

Publications for RPUSD2 Antibody (NBP1-80477) (0)

There are no publications for RPUSD2 Antibody (NBP1-80477).
By submitting your publication information earn gift cards and discounts for future purchases.

Reviews for RPUSD2 Antibody (NBP1-80477) (0)

There are no reviews for RPUSD2 Antibody (NBP1-80477). By submitting a review you will receive an Amazon e-Gift Card or Novus Product Discount.
  • Review with no image -- $10/€7/£6/$10 CAD/¥70 Yuan/¥1110 Yen
  • Review with an image -- $25/€18/£15/$25 CAD/¥150 Yuan/¥2500 Yen

Product General Protocols

Find general support by application which include: protocols, troubleshooting, illustrated assays, videos and webinars.

Video Protocols

WB Video Protocol

FAQs for RPUSD2 Antibody (NBP1-80477) (0)

There are no specific FAQs related to this product. Read our general customer & technical service FAQs.

Customers Who Bought This Also Bought

Contact Information

Product PDFs

Calculators

Concentration Calculator

The concentration calculator allows you to quickly calculate the volume, mass or concentration of your vial. Simply enter your mass, volume, or concentration values for your reagent and the calculator will determine the rest.

=
÷

Review this Product

Be the first to review our RPUSD2 Antibody - BSA Free and receive a gift card or discount.

Bioinformatics

Gene Symbol RPUSD2
Uniprot