RNF113B Antibody (OTI7A1) - Azide and BSA Free

Images

 
Western Blot: RNF113B Antibody (OTI7A1) - Azide and BSA Free [NBP2-73921] - HEK293T cells were transfected with the pCMV6-ENTRY control (Left lane) or pCMV6-ENTRY RNF113B (Right lane) cDNA for 48 hrs and lysed. ...read more
Immunocytochemistry/ Immunofluorescence: RNF113B Antibody (OTI7A1) - Azide and BSA Free [NBP2-73921] - Staining of COS7 cells transiently transfected by pCMV6-ENTRY RNF113B.
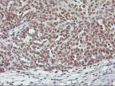
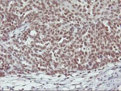
Immunohistochemistry: RNF113B Antibody (OTI7A1) - Azide and BSA Free [NBP2-73921] - Staining of paraffin-embedded Carcinoma of Human thyroid tissue using anti-RNF113B mouse monoclonal antibody.
Western Blot: RNF113B Antibody (OTI7A1) - Azide and BSA Free [NBP2-73921] - Analysis of extracts (35ug) from 9 different cell lines by using anti-RNF113B monoclonal antibody.
Immunohistochemistry: RNF113B Antibody (OTI7A1) - Azide and BSA Free [NBP2-73921] - Staining of paraffin-embedded Adenocarcinoma of Human endometrium tissue using anti-RNF113B mouse monoclonal antibody.
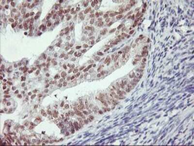
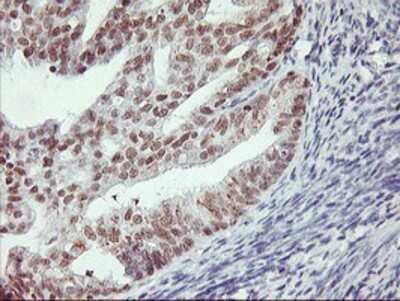
Immunohistochemistry: RNF113B Antibody (OTI7A1) - Azide and BSA Free [NBP2-73921] - Staining of paraffin-embedded Adenocarcinoma of Human ovary tissue using anti-RNF113B mouse monoclonal antibody.
Immunohistochemistry: RNF113B Antibody (OTI7A1) - Azide and BSA Free [NBP2-73921] - Staining of paraffin-embedded Carcinoma of Human bladder tissue using anti-RNF113B mouse monoclonal antibody.
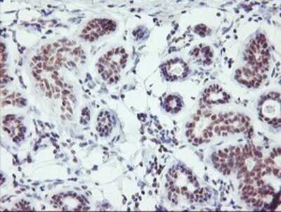
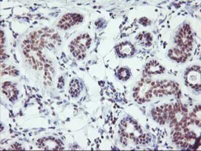
Immunohistochemistry: RNF113B Antibody (OTI7A1) - Azide and BSA Free [NBP2-73921] - Staining of paraffin-embedded Human breast tissue using anti-RNF113B mouse monoclonal antibody.

Product Details

Summary
Reactivity Hu, Mu, Rt, Ca, Pm, PmSpecies Glossary
Applications WB, ICC/IF, IHC
Clone
OTI7A1
Clonality
Monoclonal
Host
Mouse
Conjugate
Unconjugated
Format
Azide and BSA Free
Concentration
LYOPH

Order Details

RNF113B Antibody (OTI7A1) - Azide and BSA Free Summary

Description
Novus Biologicals Mouse RNF113B Antibody (OTI7A1) - Azide and BSA Free (NBP2-01644) is a monoclonal antibody validated for use in IHC, WB and ICC/IF. All Novus Biologicals antibodies are covered by our 100% guarantee.
Immunogen
Full length human recombinant protein of human RNF113B(NP_849192) produced in HEK293T cell.
Isotype
IgG1
Clonality
Monoclonal
Host
Mouse
Gene
RNF113B
Purity
Immunogen affinity purified
Innovator's Reward
Test in a species/application not listed above to receive a full credit towards a future purchase.

Applications/Dilutions

Dilutions
  • Immunocytochemistry/ Immunofluorescence 1:100
  • Immunohistochemistry 1:150
  • Immunohistochemistry-Paraffin
  • Western Blot 1:500-2000
Theoretical MW
36.1 kDa.
Disclaimer note: The observed molecular weight of the protein may vary from the listed predicted molecular weight due to post translational modifications, post translation cleavages, relative charges, and other experimental factors.

Reactivity Notes

Please note that this antibody is reactive to Mouse and derived from the same host, Mouse. Mouse-On-Mouse blocking reagent may be needed for IHC and ICC experiments to reduce high background signal. You can find these reagents under catalog numbers PK-2200-NB and MP-2400-NB. Please contact Technical Support if you have any questions.

Packaging, Storage & Formulations

Storage
Store at -20C. Avoid freeze-thaw cycles.
Buffer
Lyophilized from PBS (pH 7.3) with 8% Trehalose
Preservative
No Preservative
Concentration
LYOPH
Purity
Immunogen affinity purified
Reconstitution Instructions
we recommend adding 100uL distilled water to a final antibody concentration of about 1 mg/mL. To use this carrier-free antibody for conjugation experiment, we strongly recommend performing another round of desalting process.

Alternate Names for RNF113B Antibody (OTI7A1) - Azide and BSA Free

  • bA10G5.1
  • MGC26599
  • ring finger protein 113B
  • Zinc finger protein 183-like 1RNF161ZNF183L1

Limitations

This product is for research use only and is not approved for use in humans or in clinical diagnosis. Primary Antibodies are guaranteed for 1 year from date of receipt.

Customers Who Viewed This Item Also Viewed...

NBP1-87833
Species: Hu, Mu, Rt
Applications: ELISA, ICC/IF, IHC,  IHC-P, WB
NB500-265
Species: Hu, Mu
Applications: ICC/IF, IP, WB
NBP2-24607
Species: Bv, Ca, Ch, Eq, Hu, Mu, Pm
Applications: WB
H00010160-M01
Species: Hu, Mu
Applications: ELISA, ICC/IF,  IHC-P, WB
NBP2-55165
Species: Hu
Applications: ICC/IF, IHC,  IHC-P, WB
NBP2-33544
Species: Hu
Applications: IHC,  IHC-P
NBP2-84346
Species: Hu
Applications: WB
H00003843-M01
Species: Ca, Hu, Mu, Rt
Applications: ELISA, IHC,  IHC-P, WB
NBP3-25228
Species: Hu
Applications: ICC/IF
NBP2-73921
Species: Hu, Mu, Rt, Ca, Pm, Pm
Applications: WB, ICC/IF, IHC

Publications for RNF113B Antibody (NBP2-73921) (0)

There are no publications for RNF113B Antibody (NBP2-73921).
By submitting your publication information earn gift cards and discounts for future purchases.

Reviews for RNF113B Antibody (NBP2-73921) (0)

There are no reviews for RNF113B Antibody (NBP2-73921). By submitting a review you will receive an Amazon e-Gift Card or Novus Product Discount.
  • Review with no image -- $10/€7/£6/$10 CAD/¥70 Yuan/¥1110 Yen
  • Review with an image -- $25/€18/£15/$25 CAD/¥150 Yuan/¥2500 Yen

Product General Protocols

Find general support by application which include: protocols, troubleshooting, illustrated assays, videos and webinars.

Video Protocols

WB Video Protocol
ICC/IF Video Protocol

FAQs for RNF113B Antibody (NBP2-73921) (0)

There are no specific FAQs related to this product. Read our general customer & technical service FAQs.

Secondary Antibodies

 

Isotype Controls

Additional RNF113B Products

Research Areas for RNF113B Antibody (NBP2-73921)

Find related products by research area.

Blogs on RNF113B

There are no specific blogs for RNF113B, but you can read our latest blog posts.

Customers Who Bought This Also Bought

Contact Information

Product PDFs

Calculators

Concentration Calculator

The concentration calculator allows you to quickly calculate the volume, mass or concentration of your vial. Simply enter your mass, volume, or concentration values for your reagent and the calculator will determine the rest.

=
÷

Review this Product

Be the first to review our RNF113B Antibody (OTI7A1) - Azide and BSA Free and receive a gift card or discount.

Bioinformatics

Gene Symbol RNF113B