PTGER4/EP4 Antibody

Images

 
Western Blot: PTGER4/EP4 Antibody [NBP1-84833] - Analysis in mouse cell line NIH-3T3 and rat cell line NBT-II.
Immunohistochemistry-Paraffin: PTGER4/EP4 Antibody [NBP1-84833] - Staining of human lymph node shows moderate membranous positivity in germinal center cells.
Western Blot: PTGER4/EP4 Antibody [NBP1-84833] - Analysis in human cell line RT-4.
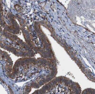
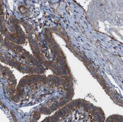
Immunohistochemistry-Paraffin: PTGER4/EP4 Antibody [NBP1-84833] - Staining of human fallopian tube shows moderate to strong membranous positivity in non - germinal center cells.
Immunohistochemistry-Paraffin: PTGER4/EP4 Antibody [NBP1-84833] - Staining of human duodenum shows strong membranous and cytoplasmic positivity in glandular cells.
Immunohistochemistry-Paraffin: PTGER4/EP4 Antibody [NBP1-84833] - Staining of human liver shows very weak membranous positivity in hepatocytes.

Product Details

Summary
Product Discontinued
View other related PTGER4/EP4 Primary Antibodies

Order Details


    • Catalog Number
      NBP1-84833
    • Availability
      Product Discontinued

    Can't find what you are looking for? Use our Antibody Concierge Service & we will help you locate your antibody!

    Or feel free to contact us for alternative products.

PTGER4/EP4 Antibody Summary

Immunogen
This antibody was developed against Recombinant Protein corresponding to amino acids: AASVASRGHPAASPALPRLSDFRRRRSFRRIAGAEIQMV
Isotype
IgG
Clonality
Polyclonal
Host
Rabbit
Gene
PTGER4
Purity
Immunogen affinity purified
Innovator's Reward
Test in a species/application not listed above to receive a full credit towards a future purchase.

Applications/Dilutions

Dilutions
  • Immunohistochemistry 1:50 - 1:200
  • Immunohistochemistry-Paraffin 1:20-1:50
  • Western Blot 0.04 - 0.4 ug/ml
Application Notes
WB reported in scientific literature (PMID: 29415894). For IHC-Paraffin, HIER pH 6 retrieval is recommended.
Publications
Read Publications using
NBP1-84833 in the following applications:

  • WB
    1 publication

Reactivity Notes

Reactivity reported in scientific literature (PMID: 23227994).

Packaging, Storage & Formulations

Storage
Store at 4C short term. Aliquot and store at -20C long term. Avoid freeze-thaw cycles.
Buffer
PBS (pH 7.2) and 40% Glycerol
Preservative
0.02% Sodium Azide
Purity
Immunogen affinity purified

Alternate Names for PTGER4/EP4 Antibody

  • EP4
  • EP4R
  • MGC126583
  • PGE receptor EP4 subtype
  • PGE receptor, EP4 subtype
  • PGE2 receptor EP4 subtype
  • prostaglandin E receptor 4 (subtype EP4)
  • prostaglandin E2 receptor EP4 subtype
  • Prostanoid EP4 receptor
  • PTGER2
  • PTGER4

Background

Prostaglandin E receptor EP4 is a Prostanoid Receptor with a relaxing effect on smooth muscle. It may play an important role in regulating renal hemodynamics, intestinal epithelial transport, adrenal aldosterone secretion, and uterine function. EP4 has been reported to be expressed in blood, colon, immune tissue, intestine, kidney, lung, ovary, skin, and uterus. ESTs have been isolated from a wide range of human tissue libraries.

Limitations

This product is for research use only and is not approved for use in humans or in clinical diagnosis. Primary Antibodies are guaranteed for 1 year from date of receipt.

Customers Who Viewed This Item Also Viewed...

NLS975
Species: Bt, Hu, Pm, Pm
Applications: IHC,  IHC-P
NBP1-89522
Species: Hu, Mu, Rt
Applications: ICC/IF, IHC,  IHC-P, WB
NBP2-92856
Species: Hu, Mu, Rt
Applications: ELISA, ICC/IF, IHC,  IHC-P, IP, WB
MEP00B
Species: Mu
Applications: ELISA
NB100-689
Species: Hu, Rt
Applications: IHC, IHC-Fr,  IHC-P, Simple Western, WB
NBP2-59438
Species: Hu
Applications: ELISA, ICC/IF, WB
NBP3-47534
Species: Hu, Mu
Applications: ELISA, IHC, WB
NBP1-32550
Species: Hu, Mu, Ze
Applications: ICC/IF, IHC,  IHC-P, Simple Western, WB
M6000B
Species: Mu
Applications: ELISA
NLS1049
Species: Eq, Hu, Pm, Po, Pm
Applications: ICC, ICC/IF, IHC,  IHC-P
NBP1-87852
Species: Hu, Mu
Applications: ICC/IF, IHC,  IHC-P
NBP3-13522
Species: Hu, Mu, Rt
Applications: ICC/IF, IHC,  IHC-P, WB
NBP1-84833
Species: Hu, Mu
Applications: WB, IHC

Publications for PTGER4/EP4 Antibody (NBP1-84833)(4)

Reviews for PTGER4/EP4 Antibody (NBP1-84833) (0)

There are no reviews for PTGER4/EP4 Antibody (NBP1-84833). By submitting a review you will receive an Amazon e-Gift Card or Novus Product Discount.
  • Review with no image -- $10/€7/£6/$10 CAD/¥70 Yuan/¥1110 Yen
  • Review with an image -- $25/€18/£15/$25 CAD/¥150 Yuan/¥2500 Yen

Product General Protocols

Find general support by application which include: protocols, troubleshooting, illustrated assays, videos and webinars.

Video Protocols

WB Video Protocol

FAQs for PTGER4/EP4 Antibody (NBP1-84833) (0)

There are no specific FAQs related to this product. Read our general customer & technical service FAQs.

Secondary Antibodies

 

Isotype Controls

Additional PTGER4/EP4 Products

Research Areas for PTGER4/EP4 Antibody (NBP1-84833)

Find related products by research area.

Blogs on PTGER4/EP4

There are no specific blogs for PTGER4/EP4, but you can read our latest blog posts.

Contact Information

Product PDFs

Calculators

Concentration Calculator

The concentration calculator allows you to quickly calculate the volume, mass or concentration of your vial. Simply enter your mass, volume, or concentration values for your reagent and the calculator will determine the rest.

=
÷

Review this Product

Be the first to review our PTGER4/EP4 Antibody and receive a gift card or discount.

Bioinformatics

Gene Symbol PTGER4
Entrez
Uniprot