PRR11 Antibody (OTI2A10) - Azide and BSA Free

Images

 
Western Blot: PRR11 Antibody (OTI2A10) - Azide and BSA Free [NBP2-73677] - Analysis of HEK293T cells were transfected with the pCMV6-ENTRY control (Left lane) or pCMV6-ENTRY PRR11.
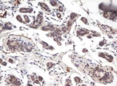
Immunohistochemistry: PRR11 Antibody (OTI2A10) - Azide and BSA Free [NBP2-73677] - Analysis of Adenocarcinoma of Human breast tissue.
Western Blot: PRR11 Antibody (OTI2A10) - Azide and BSA Free [NBP2-73677] - Analysis of extracts (35ug) from 9 different cell lines by using PRR11 monoclonal antibody (HepG2: human; HeLa: human; SVT2: mouse; A549: human; ...read more
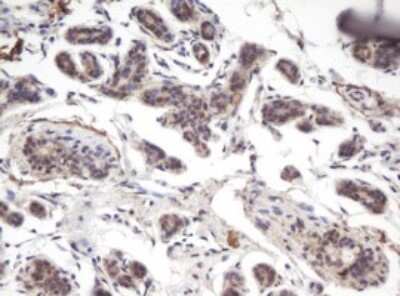
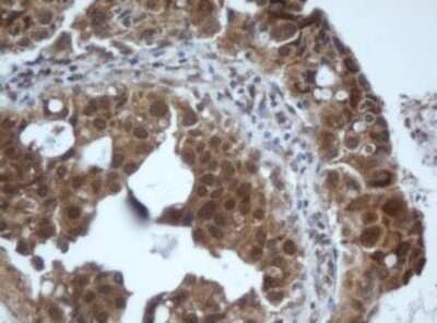
Immunohistochemistry: PRR11 Antibody (OTI2A10) - Azide and BSA Free [NBP2-73677] - Analysis of Human breast tissue.

Product Details

Summary
Reactivity Hu, PmSpecies Glossary
Applications WB, IHC
Clone
OTI2A10
Clonality
Monoclonal
Host
Mouse
Conjugate
Unconjugated
Format
Azide and BSA Free
Concentration
LYOPH

Order Details

PRR11 Antibody (OTI2A10) - Azide and BSA Free Summary

Description
Novus Biologicals Mouse PRR11 Antibody (OTI2A10) - Azide and BSA Free (NBP2-45902) is a monoclonal antibody validated for use in IHC and WB. All Novus Biologicals antibodies are covered by our 100% guarantee.
Immunogen
Human recombinant protein fragment corresponding to amino acids 125-360 of human PRR11 (NP_060774) produced in E.coli.
Isotype
IgG1
Clonality
Monoclonal
Host
Mouse
Gene
PRR11
Purity
Immunogen affinity purified
Innovator's Reward
Test in a species/application not listed above to receive a full credit towards a future purchase.

Applications/Dilutions

Dilutions
  • Immunohistochemistry 1:150
  • Immunohistochemistry-Paraffin
  • Western Blot 1:500
Theoretical MW
39.9 kDa.
Disclaimer note: The observed molecular weight of the protein may vary from the listed predicted molecular weight due to post translational modifications, post translation cleavages, relative charges, and other experimental factors.

Packaging, Storage & Formulations

Storage
Store at -20C. Avoid freeze-thaw cycles.
Buffer
Lyophilized from PBS (pH 7.3) with 8% Trehalose
Preservative
No Preservative
Concentration
LYOPH
Purity
Immunogen affinity purified
Reconstitution Instructions
we recommend adding 100uL distilled water to a final antibody concentration of about 1 mg/mL. To use this carrier-free antibody for conjugation experiment, we strongly recommend performing another round of desalting process.

Alternate Names for PRR11 Antibody (OTI2A10) - Azide and BSA Free

  • FLJ11029
  • proline rich 11
  • proline-rich protein 11
  • transcription repressor of MHCII

Limitations

This product is for research use only and is not approved for use in humans or in clinical diagnosis. Primary Antibodies are guaranteed for 1 year from date of receipt.

Customers Who Viewed This Item Also Viewed...

NB400-105
Species: Ca, Ch, ChHa, Eq, Ha, Hu, Mu, Md, Po, Pm, Rb, Rt
Applications: B/N, ChIP, ChIP, Dual ISH-IHC, ELISA, Flow, GS, GS, IB, ICC/IF, IHC, IHC-Fr,  IHC-P, IP, KD, KO, PCR, Simple Western, WB
PP-H7431-00
Species: Hu
Applications: WB
NB100-1607
Species: Hu, Mu, Rt
Applications: ICC/IF, IHC, IP, WB
NBP1-85018
Species: Hu
Applications: IHC,  IHC-P, WB
NBP2-94706
Species: Hu, Mu, Rt
Applications: ICC/IF, WB
NBP2-80913
Species: Bv(-), Hu, Mu(-), Pm, Rt(-)
Applications: IHC,  IHC-P, WB
NBP1-86649
Species: Hu
Applications: ICC/IF, IHC,  IHC-P
NBP2-73677
Species: Hu, Pm
Applications: WB, IHC

Publications for PRR11 Antibody (NBP2-73677) (0)

There are no publications for PRR11 Antibody (NBP2-73677).
By submitting your publication information earn gift cards and discounts for future purchases.

Reviews for PRR11 Antibody (NBP2-73677) (0)

There are no reviews for PRR11 Antibody (NBP2-73677). By submitting a review you will receive an Amazon e-Gift Card or Novus Product Discount.
  • Review with no image -- $10/€7/£6/$10 CAD/¥70 Yuan/¥1110 Yen
  • Review with an image -- $25/€18/£15/$25 CAD/¥150 Yuan/¥2500 Yen

Product General Protocols

Find general support by application which include: protocols, troubleshooting, illustrated assays, videos and webinars.

Video Protocols

WB Video Protocol

FAQs for PRR11 Antibody (NBP2-73677) (0)

There are no specific FAQs related to this product. Read our general customer & technical service FAQs.

Customers Who Bought This Also Bought

Contact Information

Product PDFs

Calculators

Concentration Calculator

The concentration calculator allows you to quickly calculate the volume, mass or concentration of your vial. Simply enter your mass, volume, or concentration values for your reagent and the calculator will determine the rest.

=
÷

Review this Product

Be the first to review our PRR11 Antibody (OTI2A10) - Azide and BSA Free and receive a gift card or discount.

Bioinformatics

Gene Symbol PRR11