PLEKHA3 Antibody

Images

 
Independent Antibodies: Western Blot: PLEKHA3 Antibody [NBP1-83924] - Analysis using Anti-PLEKHA3 antibody NBP1-83924 (A) shows similar pattern to independent antibody NBP2-32018 (B).
Immunocytochemistry/ Immunofluorescence: PLEKHA3 Antibody [NBP1-83924] - Immunofluorescent staining of human cell line U-251 MG shows localization to the Golgi apparatus.
Western Blot: PLEKHA3 Antibody [NBP1-83924] - Lane 1: NIH-3T3 cell lysate (Mouse embryonic fibroblast cells). Lane 2: NBT-II cell lysate (Rat Wistar bladder tumor cells).
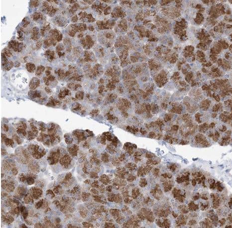
Immunohistochemistry-Paraffin: PLEKHA3 Antibody [NBP1-83924] - Staining of human pancreas shows strong cytoplasmic positivity in exocrine glandular cells.
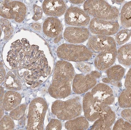
Immunohistochemistry-Paraffin: PLEKHA3 Antibody [NBP1-83924] - Staining of human kidney shows moderate cytoplasmic positivity in cells in tubules and cells in glomeruli.
Immunohistochemistry-Paraffin: PLEKHA3 Antibody [NBP1-83924] - Staining of human cerebral cortex shows strong cytoplasmic positivity in astrocytes.
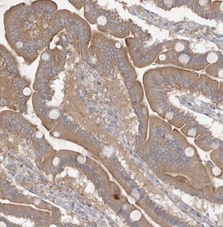
Immunohistochemistry-Paraffin: PLEKHA3 Antibody [NBP1-83924] - Staining of human duodenum shows moderate cytoplasmic-membranous positivity in glandular cells.

Product Details

Summary
Product Discontinued
View other related PLEKHA3 Primary Antibodies
Validated by:
 

Independent Antibodies

       

Order Details


    • Catalog Number
      NBP1-83924
    • Availability
      Product Discontinued

    Can't find what you are looking for? Use our Antibody Concierge Service & we will help you locate your antibody!

    Or feel free to contact us for alternative products.

PLEKHA3 Antibody Summary

Immunogen
This antibody was developed against Recombinant Protein corresponding to amino acids: QQVHTIQEFVHHDENHSSPSAENMNEASSLLSATCNTFITTLEECVKIANAKFKPEMFQLHHPDPLVSPVSPSPVQMMKRSVSHP
Isotype
IgG
Clonality
Polyclonal
Host
Rabbit
Gene
PLEKHA3
Purity
Immunogen affinity purified
Innovator's Reward
Test in a species/application not listed above to receive a full credit towards a future purchase.

Applications/Dilutions

Dilutions
  • Immunocytochemistry/ Immunofluorescence 0.25-2 ug/ml
  • Immunohistochemistry 1:50 - 1:200
  • Immunohistochemistry-Paraffin 1:50-1:200
  • Western Blot 0.04-0.4 ug/ml
Application Notes
For IHC-Paraffin, HIER pH 6 retrieval is recommended. ICC/IF, Fixation Permeabilization: Use PFA/Triton X-100.

Packaging, Storage & Formulations

Storage
Store at 4C short term. Aliquot and store at -20C long term. Avoid freeze-thaw cycles.
Buffer
PBS (pH 7.2) and 40% Glycerol
Preservative
0.02% Sodium Azide
Purity
Immunogen affinity purified

Alternate Names for PLEKHA3 Antibody

  • FAPP-1
  • FAPP1PH domain-containing family A member 3
  • FLJ20067
  • four-phosphate-adaptor protein 1
  • Phosphatidylinositol-four-phosphate adapter protein 1
  • Phosphoinositol 4-phosphate adapter protein 1
  • pleckstrin homology domain containing, family A (phosphoinositide bindingspecific) member 3
  • pleckstrin homology domain-containing family A member 3
  • pleckstrin homology domain-containing, family A (phosphoinositide bindingspecific) member 3

Background

PLEKHA3 binds specifically to phosphatidylinositol-4-phosphate (PtdIns4P), but not to other phosphoinositides

Limitations

This product is for research use only and is not approved for use in humans or in clinical diagnosis. Primary Antibodies are guaranteed for 1 year from date of receipt.

Customers Who Viewed This Item Also Viewed...

NBP2-02300
Species: Hu, Mu, Rt
Applications: Flow, IHC,  IHC-P, WB
NBP2-48615
Species: Hu
Applications: IHC,  IHC-P, WB
NB300-834
Species: Hu
Applications: IHC,  IHC-P, PEP-ELISA
MAB8306
Species: Hu
Applications: IHC, WB
NBP2-29906
Species: Ca, Hu, Mu
Applications: ICC/IF, IHC,  IHC-P, IP, WB
NBP2-00935
Species: Hu, Mu, Rt
Applications: Flow, ICC/IF, IHC,  IHC-P, WB
DYC1825-2
Species: Hu, Mu, Rt
Applications: ELISA
NBP1-80907
Species: Hu
Applications: IHC,  IHC-P, WB
NB200-106
Species: Mu, Rt
Applications: ELISA, ICC/IF, IHC, IHC-Fr,  IHC-P, WB
NBP2-04611
Species: Hu
Applications: WB
NBP1-88502
Species: Hu
Applications: IHC,  IHC-P
NBP2-16686
Species: Hu
Applications: ICC/IF, IHC,  IHC-P, KO, WB
NBP3-04509
Species: Hu, Mu, Rt
Applications: ELISA, IHC,  IHC-P, WB
NBP2-19020
Species: Bv, Hu, Mu, Po, Rt
Applications: WB
NBP3-48674
Species: Hu, Mu, Rt, Ze
Applications: ICC/IF, IHC,  IHC-P, WB
AF5866
Species: Hu
Applications: IHC, WB
NB110-96417
Species: Hu, Mu, Rt
Applications: ICC/IF, IHC, IHC-Fr,  IHC-P
NBP1-83924
Species: Hu
Applications: WB, ICC/IF, IHC

Publications for PLEKHA3 Antibody (NBP1-83924) (0)

There are no publications for PLEKHA3 Antibody (NBP1-83924).
By submitting your publication information earn gift cards and discounts for future purchases.

Reviews for PLEKHA3 Antibody (NBP1-83924) (0)

There are no reviews for PLEKHA3 Antibody (NBP1-83924). By submitting a review you will receive an Amazon e-Gift Card or Novus Product Discount.
  • Review with no image -- $10/€7/£6/$10 CAD/¥70 Yuan/¥1110 Yen
  • Review with an image -- $25/€18/£15/$25 CAD/¥150 Yuan/¥2500 Yen

Product General Protocols

Find general support by application which include: protocols, troubleshooting, illustrated assays, videos and webinars.

Video Protocols

WB Video Protocol
ICC/IF Video Protocol

FAQs for PLEKHA3 Antibody (NBP1-83924) (0)

There are no specific FAQs related to this product. Read our general customer & technical service FAQs.

Contact Information

Product PDFs

Calculators

Concentration Calculator

The concentration calculator allows you to quickly calculate the volume, mass or concentration of your vial. Simply enter your mass, volume, or concentration values for your reagent and the calculator will determine the rest.

=
÷

Review this Product

Be the first to review our PLEKHA3 Antibody and receive a gift card or discount.

Bioinformatics

Gene Symbol PLEKHA3