PFDN6 Antibody (OTI4E10) - Azide and BSA Free

Images

 
Western Blot: PFDN6 Antibody (OTI4E10) - Azide and BSA Free [NBP2-73339] - HEK293T cells were transfected with the pCMV6-ENTRY control (Left lane) or pCMV6-ENTRY PFDN6 (Right lane) cDNA for 48 hrs and lysed. Equivalent ...read more
Immunohistochemistry: PFDN6 Antibody (OTI4E10) - Azide and BSA Free [NBP2-73339] - Staining of paraffin-embedded Carcinoma of Human lung tissue using anti-PFDN6 mouse monoclonal antibody.
Flow Cytometry: PFDN6 Antibody (OTI4E10) - Azide and BSA Free [NBP2-73339] - HEK293T cells transfected with either overexpression plasmid (Red) or empty vector control plasmid (Blue) were immunostaining by anti-PFDN6 ...read more
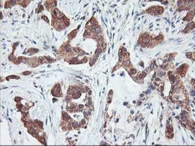
Immunohistochemistry: PFDN6 Antibody (OTI4E10) - Azide and BSA Free [NBP2-73339] - Staining of paraffin-embedded Adenocarcinoma of Human ovary tissue using anti-PFDN6 mouse monoclonal antibody.
Immunohistochemistry: PFDN6 Antibody (OTI4E10) - Azide and BSA Free [NBP2-73339] - Staining of paraffin-embedded Carcinoma of Human kidney tissue using anti-PFDN6 mouse monoclonal antibody.
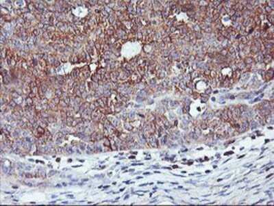
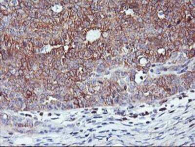
Immunohistochemistry: PFDN6 Antibody (OTI4E10) - Azide and BSA Free [NBP2-73339] - Staining of paraffin-embedded Carcinoma of Human pancreas tissue using anti-PFDN6 mouse monoclonal antibody.

Product Details

Summary
Reactivity Hu, Mu, RtSpecies Glossary
Applications WB, Flow, IHC, CyTOF-ready
Clone
OTI4E10
Clonality
Monoclonal
Host
Mouse
Conjugate
Unconjugated
Format
Azide and BSA Free
Concentration
LYOPH

Order Details

PFDN6 Antibody (OTI4E10) - Azide and BSA Free Summary

Description
Novus Biologicals Mouse PFDN6 Antibody (OTI4E10) - Azide and BSA Free (NBP2-01637) is a monoclonal antibody validated for use in IHC, WB and Flow. All Novus Biologicals antibodies are covered by our 100% guarantee.
Immunogen
Human recombinant protein fragment corresponding to amino acids 2-129 of human PFDN6(NP_055075) produced in E.coli.
Isotype
IgG1
Clonality
Monoclonal
Host
Mouse
Gene
PFDN6
Purity
Immunogen affinity purified
Innovator's Reward
Test in a species/application not listed above to receive a full credit towards a future purchase.

Applications/Dilutions

Dilutions
  • CyTOF-ready
  • Flow Cytometry 1:100
  • Immunohistochemistry 1:150
  • Immunohistochemistry-Paraffin
  • Western Blot 1:2000
Theoretical MW
14.4 kDa.
Disclaimer note: The observed molecular weight of the protein may vary from the listed predicted molecular weight due to post translational modifications, post translation cleavages, relative charges, and other experimental factors.

Reactivity Notes

Please note that this antibody is reactive to Mouse and derived from the same host, Mouse. Mouse-On-Mouse blocking reagent may be needed for IHC and ICC experiments to reduce high background signal. You can find these reagents under catalog numbers PK-2200-NB and MP-2400-NB. Please contact Technical Support if you have any questions.

Packaging, Storage & Formulations

Storage
Store at -20C. Avoid freeze-thaw cycles.
Buffer
Lyophilized from PBS (pH 7.3) with 8% Trehalose
Preservative
No Preservative
Concentration
LYOPH
Purity
Immunogen affinity purified
Reconstitution Instructions
we recommend adding 100uL distilled water to a final antibody concentration of about 1 mg/mL. To use this carrier-free antibody for conjugation experiment, we strongly recommend performing another round of desalting process.

Alternate Names for PFDN6 Antibody (OTI4E10) - Azide and BSA Free

  • H2-KE2
  • HLA class II region expressed gene KE2
  • KE2 protein
  • KE-2
  • MGC70744
  • PFD6HKE2
  • prefoldin 6
  • prefoldin subunit 6
  • Protein Ke2

Background

PFDN6 binds specifically to cytosolic chaperonin (c-CPN) and transfers target proteins to it. Binds to nascentpolypeptide chain and promotes folding in an environment in which there are many competing pathways for nonnativeproteins

Limitations

This product is for research use only and is not approved for use in humans or in clinical diagnosis. Primary Antibodies are guaranteed for 1 year from date of receipt.

Customers Who Viewed This Item Also Viewed...

NBP1-88606
Species: Hu
Applications: IHC,  IHC-P, Simple Western
NBP1-76504
Species: Hu, Mu, Rt
Applications: ELISA, ICC/IF, IHC,  IHC-P, WB
NBP1-92603
Species: Hu
Applications: ChIP-EXO-SEQ, ICC/IF, WB
NB100-56136
Species: Hu, Mu, Rt
Applications: IB, IHC,  IHC-P, IP, WB
NBP2-43728
Species: Hu, Mu, Rt
Applications: ICC/IF, WB
NBP3-35275
Species: Hu, Mu, Rt
Applications: ELISA, ICC/IF, IHC,  IHC-P, WB
NBP2-93632
Species: Hu, Mu, Rt
Applications: ELISA, ICC/IF, IHC,  IHC-P, WB
NBP2-15454
Species: Hu
Applications: IHC,  IHC-P, WB
NBP2-13798
Species: Hu
Applications: IHC,  IHC-P
NBP2-03754
Species: Ca, Hu, Pm, Mu, Rt
Applications: ICC/IF, IHC,  IHC-P, WB
NB100-40844
Species: Hu, Rt
Applications: ChIP, ICC/IF, IHC,  IHC-P, IP, WB
H00023179-M01
Species: Hu, Mu
Applications: ELISA, IHC,  IHC-P, S-ELISA, WB
H00005863-M02
Species: Hu
Applications: ELISA, ICC/IF, WB
MAB17761
Species: Hu, Mu, Rt
Applications: ICC, WB
H00005729-B01P
Species: Hu
Applications: Flow, ICC/IF, WB
NBP3-45558
Species: Hu, Mu, Rt
Applications: ELISA, WB

Publications for PFDN6 Antibody (NBP2-73339) (0)

There are no publications for PFDN6 Antibody (NBP2-73339).
By submitting your publication information earn gift cards and discounts for future purchases.

Reviews for PFDN6 Antibody (NBP2-73339) (0)

There are no reviews for PFDN6 Antibody (NBP2-73339). By submitting a review you will receive an Amazon e-Gift Card or Novus Product Discount.
  • Review with no image -- $10/€7/£6/$10 CAD/¥70 Yuan/¥1110 Yen
  • Review with an image -- $25/€18/£15/$25 CAD/¥150 Yuan/¥2500 Yen

Product General Protocols

Find general support by application which include: protocols, troubleshooting, illustrated assays, videos and webinars.

Video Protocols

WB Video Protocol

FAQs for PFDN6 Antibody (NBP2-73339) (0)

There are no specific FAQs related to this product. Read our general customer & technical service FAQs.

Secondary Antibodies

 

Isotype Controls

Additional PFDN6 Products

Research Areas for PFDN6 Antibody (NBP2-73339)

Find related products by research area.

Blogs on PFDN6

There are no specific blogs for PFDN6, but you can read our latest blog posts.

Customers Who Bought This Also Bought

Contact Information

Product PDFs

Calculators

Concentration Calculator

The concentration calculator allows you to quickly calculate the volume, mass or concentration of your vial. Simply enter your mass, volume, or concentration values for your reagent and the calculator will determine the rest.

=
÷

Review this Product

Be the first to review our PFDN6 Antibody (OTI4E10) - Azide and BSA Free and receive a gift card or discount.

Bioinformatics

Gene Symbol PFDN6