P2Y13/P2RY13/GPR86 Antibody

Images

 
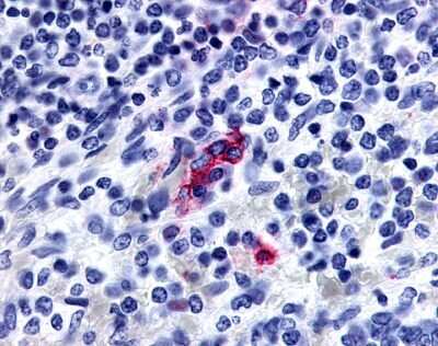
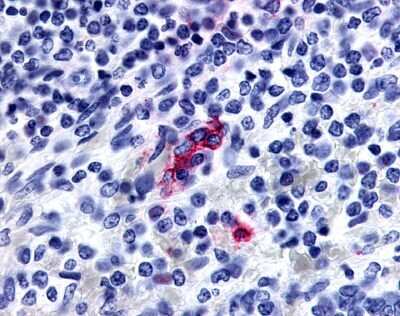
Immunohistochemistry-Paraffin: P2Y13/P2RY13/GPR86 Antibody [NLS4853] - Analysis of anti-P2RY13 / P2Y13 antibody with human spleen.

Product Details

Summary
Product Discontinued
View other related P2Y13/P2RY13/GPR86 Primary Antibodies

Order Details


    • Catalog Number
      NLS4853
    • Availability
      Product Discontinued

    Can't find what you are looking for? Use our Antibody Concierge Service & we will help you locate your antibody!

    Or feel free to contact us for alternative products.

P2Y13/P2RY13/GPR86 Antibody Summary

Immunogen
Synthetic 15 amino acid peptide from N-terminal extracellular domain of human P2Y13/P2RY13/GPR86.
Epitope
N-terminal extracellular domain of human
Specificity
Human P2RY13 / P2Y13. BLAST analysis of the peptide immunogen showed no homology with other human proteins.
Predicted Species
Primate (93%). Backed by our 100% Guarantee.
Isotype
IgG
Clonality
Polyclonal
Host
Rabbit
Gene
P2RY13
Purity
Immunogen affinity purified
Innovator's Reward
Test in a species/application not listed above to receive a full credit towards a future purchase.

Applications/Dilutions

Dilutions
  • Immunohistochemistry
  • Immunohistochemistry-Paraffin 11-22 ug/ml

Reactivity Notes

Predicted cross-reactivity based on sequence identity: Gorilla (100%), Gibbon (93%), Marmoset (93%), Canine (87%), Hamster (80%), Bat (80%), Rabbit (80%), Equine (80%).

Packaging, Storage & Formulations

Storage
Store at 4C short term. Aliquot and store at -20C long term. Avoid freeze-thaw cycles.
Buffer
PBS
Preservative
0.1% Sodium Azide
Concentration
1.0 mg/ml
Purity
Immunogen affinity purified

Alternate Names for P2Y13/P2RY13/GPR86 Antibody

  • FKSG77
  • G protein-coupled receptor 86
  • GPCR1
  • GPR86
  • GPR86GPCR1
  • GPR94
  • G-protein coupled receptor 86
  • G-protein coupled receptor 94
  • P2RY13
  • P2Y purinoceptor 13
  • P2Y13
  • P2Y13FKSG77
  • purinergic receptor P2Y, G-protein coupled, 13
  • SP174

Background

P2Y13 is a Purinergic Receptor. ESTs have been isolated from liver/spleen, melanocyte/uterus/fetal heart, brain/lung/testis, placenta, and uterus libraries.

Limitations

This product is for research use only and is not approved for use in humans or in clinical diagnosis. Primary Antibodies are guaranteed for 1 year from date of receipt.

Customers Who Viewed This Item Also Viewed...

NBP1-78249
Species: Hu, Pm, Mu, Po, Pm, Rt
Applications: ELISA, ICC/IF, IHC,  IHC-P, IP, WB
NBP2-61664
Species: Hu, Rt
Applications: ELISA, Flow, IHC,  IHC-P, WB
NBP2-22203
Species: Hu, Pm, Mu, Rt
Applications: ELISA, Flow, ICC/IF, IHC,  IHC-P, WB
AF1230
Species: Hu, Mu, Rt
Applications: IHC, KO, WB
NBP3-48734
Species: Hu, Mu
Applications: ICC/IF, IHC,  IHC-P
NBP1-20180
Species: Hu, Pm, Mu, Rt
Applications: IHC,  IHC-P, WB
NBP2-61753
Species: Hu
Applications: ELISA, Flow, ICC/IF, IHC,  IHC-P, WB
NBP1-32870
Species: Ch, Hu
Applications: IHC,  IHC-P, IP, KD, WB
NBP2-52979
Species: Hu, Mu
Applications: Flow, ICC/IF, IHC,  IHC-P, WB
NBP3-48674
Species: Hu, Mu, Rt, Ze
Applications: ICC/IF, IHC,  IHC-P, WB
AF5866
Species: Hu
Applications: IHC, WB
AF1347
Species: Hu, Mu, Rt
Applications: ICC, IHC, Simple Western, WB
NBP1-92239
Species: Hu
Applications: ICC/IF, IHC,  IHC-P, WB
DYC2510-2
Species: Hu, Mu, Rt
Applications: ELISA
NLS877
Species: Hu, Pm, Pm
Applications: ICC/IF, IHC,  IHC-P
NBP2-19655
Species: Hu, Mu
Applications: ICC/IF, IHC,  IHC-P, WB
NBP2-61760
Species: Hu
Applications: ELISA, Flow, ICC/IF, IHC,  IHC-P, WB
NLS4853
Species: Hu, Pm
Applications: IHC

Publications for P2Y13/P2RY13/GPR86 Antibody (NLS4853) (0)

There are no publications for P2Y13/P2RY13/GPR86 Antibody (NLS4853).
By submitting your publication information earn gift cards and discounts for future purchases.

Reviews for P2Y13/P2RY13/GPR86 Antibody (NLS4853) (0)

There are no reviews for P2Y13/P2RY13/GPR86 Antibody (NLS4853). By submitting a review you will receive an Amazon e-Gift Card or Novus Product Discount.
  • Review with no image -- $10/€7/£6/$10 CAD/¥70 Yuan/¥1110 Yen
  • Review with an image -- $25/€18/£15/$25 CAD/¥150 Yuan/¥2500 Yen

Product General Protocols

View specific protocols for P2Y13/P2RY13/GPR86 Antibody (NLS4853): Find general support by application which include: protocols, troubleshooting, illustrated assays, videos and webinars.

FAQs for P2Y13/P2RY13/GPR86 Antibody (NLS4853) (0)

There are no specific FAQs related to this product. Read our general customer & technical service FAQs.

Secondary Antibodies

 

Isotype Controls

Additional P2Y13/P2RY13/GPR86 Products

Research Areas for P2Y13/P2RY13/GPR86 Antibody (NLS4853)

Find related products by research area.

Blogs on P2Y13/P2RY13/GPR86

There are no specific blogs for P2Y13/P2RY13/GPR86, but you can read our latest blog posts.

Contact Information

Product PDFs

Calculators

Concentration Calculator

The concentration calculator allows you to quickly calculate the volume, mass or concentration of your vial. Simply enter your mass, volume, or concentration values for your reagent and the calculator will determine the rest.

=
÷

Review this Product

Be the first to review our P2Y13/P2RY13/GPR86 Antibody and receive a gift card or discount.

Bioinformatics

Gene Symbol P2RY13
Entrez