MAPKAP Kinase 3 Antibody

Images

 
Biological Strategies: Western Blot: MAPKAP Kinase 3 Antibody [NBP2-32092] - Samples: Whole cell lysate (50 ug) from HeLa, 293T, and Jurkat cells. Antibodies: Affinity purified rabbit anti-MAPKAP Kinase 3 ...read more
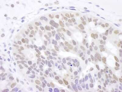
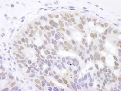
Immunohistochemistry: MAPKAP Kinase 3 Antibody [NBP2-32092] - Sample: FFPE section of human ovarian carcinoma. Antibody: Affinity purified rabbit anti- 3pK used at a dilution of 1:1,000 (1ug/ml). Detection: DAB. ...read more

Product Details

Summary
Reactivity HuSpecies Glossary
Applications WB, IHC, IP (-)
Clonality
Polyclonal
Host
Rabbit
Conjugate
Unconjugated
Concentration
1.0 mg/ml
Validated by:
   

Biological Strategies

     

Order Details

MAPKAP Kinase 3 Antibody Summary

Immunogen
The immunogen this antibody was made to, maps to a region between residue 1 to 50 of human Chromosome 3p Kinase using the numbering given in entry NP_001230855.1 (GeneID 7867).
Isotype
IgG
Clonality
Polyclonal
Host
Rabbit
Gene
MAPKAPK3
Purity
Immunogen affinity purified
Innovator's Reward
Test in a species/application not listed above to receive a full credit towards a future purchase.

Applications/Dilutions

Dilutions
  • Immunohistochemistry 1:500 - 1:2000
  • Immunohistochemistry-Paraffin 1:500 - 1:2000
  • Western Blot 1:1000 - 1:5000

Packaging, Storage & Formulations

Storage
Store at 4C. Do not freeze.
Buffer
Tris-Citrate/Phosphate (pH 7.0 - 8.0)
Preservative
0.09% Sodium Azide
Concentration
1.0 mg/ml
Purity
Immunogen affinity purified

Alternate Names for MAPKAP Kinase 3 Antibody

  • 3PKEC 2.7.11.1
  • Chromosome 3p kinase
  • EC 2.7.11
  • MAP kinase-activated protein kinase 3
  • MAPK-activated protein kinase 3
  • MAPKAP kinase 3
  • MAPKAP33pK
  • MAPKAPK-3
  • mitogen-activated protein kinase-activated protein kinase 3

Background

MAPKAP Kinase 3 encodes a member of the Ser/Thr protein kinase family. This kinase functions as a mitogen-activated protein kinase (MAP kinase)- activated protein kinase. MAP kinases are also known as extracellular signal-regulated kinases (ERKs), act as an integration point for multiple biochemical signals. This kinase was shown to be activated by growth inducers and stress stimulation of cells. In vitro studies demonstrated that ERK, p38 MAP kinase and Jun N-terminal kinase were all able to phosphorylate and activate this kinase, which suggested the role of this kinase as an integrative element of signaling in both mitogen and stress responses. This kinase was reported to interact with, phosphorylate and repress the activity of E47, which is a basic helix-loop-helix transcription factor known to be involved in the regulation of tissue-specific gene expression and cell differentiation.

Limitations

This product is for research use only and is not approved for use in humans or in clinical diagnosis. Primary Antibodies are guaranteed for 1 year from date of receipt.

Customers Who Viewed This Item Also Viewed...

H00009261-M01
Species: Hu
Applications: ELISA, ICC/IF, IHC, IHC-P, IP, PLA, Simple Western, WB
AF1230
Species: Hu, Mu, Rt
Applications: IHC, KO, WB
AF8691
Species: Hu, Mu, Rt
Applications: IHC, KO, Simple Western, WB
AF467
Species: Hu, Mu
Applications: CyTOF-ready, Flow, ICC, IHC, Simple Western, WB
NBP2-13304
Species: Hu
Applications: ICC/IF, IHC, IHC-P, WB
MAB17761
Species: Hu, Mu, Rt
Applications: ICC, WB
NBP2-22203
Species: Hu, Pm, Mu, Rt
Applications: ELISA, Flow, ICC/IF, IHC, IHC-P, WB
NBP2-52508
Species: Hu
Applications: CyTOF-ready, ELISA, Flow, ICC, ICC/IF, IHC, IHC-P, WB
NBP2-00764
Species: Hu, Mu, Rt
Applications: Flow, IHC, IHC-P, WB
NBP1-81575
Species: Hu, Mu, Rt
Applications: ICC/IF, IHC, IHC-P, WB
NBP2-37568
Species: Hu
Applications: ELISA, Flow, ICC/IF, IHC, IHC-P, WB
NBP1-68874
Species: Hu, Mu, Rt
Applications: PEP-ELISA, WB
H00010598-M01
Species: Hu, Mu, Rt
Applications: ELISA, ICC/IF, S-ELISA, WB
NB200-106
Species: Mu, Rt
Applications: ELISA, ICC/IF, IHC, IHC-Fr, IHC-P, WB
NBP2-16991
Species: Hu
Applications: ELISA, ICC/IF, IHC, IHC-P, WB
NBP1-87791
Species: Hu, Mu, Rt
Applications: ICC/IF, IHC, IHC-P, WB
AF1347
Species: Hu, Mu, Rt
Applications: ICC, IHC, Simple Western, WB

Publications for MAPKAP Kinase 3 Antibody (NBP2-32092) (0)

There are no publications for MAPKAP Kinase 3 Antibody (NBP2-32092).
By submitting your publication information earn gift cards and discounts for future purchases.

Reviews for MAPKAP Kinase 3 Antibody (NBP2-32092) (0)

There are no reviews for MAPKAP Kinase 3 Antibody (NBP2-32092). By submitting a review you will receive an Amazon e-Gift Card or Novus Product Discount.
  • Review with no image -- $10/€7/£6/$10 CAD/¥70 Yuan/¥1110 Yen
  • Review with an image -- $25/€18/£15/$25 CAD/¥150 Yuan/¥2500 Yen

Product General Protocols

Find general support by application which include: protocols, troubleshooting, illustrated assays, videos and webinars.

Video Protocols

WB Video Protocol

FAQs for MAPKAP Kinase 3 Antibody (NBP2-32092) (0)

There are no specific FAQs related to this product. Read our general customer & technical service FAQs.

Secondary Antibodies

 

Isotype Controls

Additional MAPKAP Kinase 3 Products

Research Areas for MAPKAP Kinase 3 Antibody (NBP2-32092)

Find related products by research area.

Blogs on MAPKAP Kinase 3

There are no specific blogs for MAPKAP Kinase 3, but you can read our latest blog posts.

Customers Who Bought This Also Bought

Contact Information

Product PDFs

Calculators

Concentration Calculator

The concentration calculator allows you to quickly calculate the volume, mass or concentration of your vial. Simply enter your mass, volume, or concentration values for your reagent and the calculator will determine the rest.

=
÷

Review this Product

Be the first to review our MAPKAP Kinase 3 Antibody and receive a gift card or discount.

Bioinformatics

Gene Symbol MAPKAPK3
Uniprot