LENG9 Antibody - BSA Free

Images

 
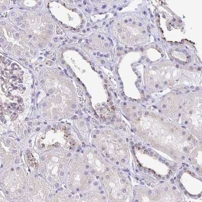
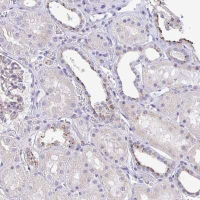
Immunohistochemistry: LENG9 Antibody [NBP2-30893] - Staining of human kidney shows strong granular cytoplasmic positivity in a subset of tubules.

Product Details

Summary
Reactivity HuSpecies Glossary
Applications IHC
Clonality
Polyclonal
Host
Rabbit
Conjugate
Unconjugated
Format
BSA Free

Order Details

View Available Formulations
Catalog# & Formulation Size Price

LENG9 Antibody - BSA Free Summary

Description
Novus Biologicals Rabbit LENG9 Antibody - BSA Free (NBP2-30893) is a polyclonal antibody validated for use in IHC. All Novus Biologicals antibodies are covered by our 100% guarantee.
Immunogen
This antibody was developed against a recombinant protein corresponding to amino acids: NFLVPSQNLHLTLALLRLAGAGEEAAAIGALRRALLAPGLNAPPRLSFRKLVLLGPHVLCAPPSPTLESMAQVLSQRLEAEGLSTLQSPGQLHPHLTVAKVPHGSQV
Isotype
IgG
Clonality
Polyclonal
Host
Rabbit
Gene
LENG9
Purity
Immunogen affinity purified
Innovator's Reward
Test in a species/application not listed above to receive a full credit towards a future purchase.

Applications/Dilutions

Dilutions
  • Immunohistochemistry 1:500 - 1:1000
  • Immunohistochemistry-Paraffin 1:500 - 1:1000
Application Notes
For IHC-Paraffin, HIER pH 6 retrieval is recommended.
Control Peptide
LENG9 Protein (NBP2-30893PEP)

Packaging, Storage & Formulations

Storage
Store at 4C short term. Aliquot and store at -20C long term. Avoid freeze-thaw cycles.
Buffer
PBS (pH 7.2) and 40% Glycerol
Preservative
0.02% Sodium Azide
Purity
Immunogen affinity purified

Alternate Names for LENG9 Antibody - BSA Free

  • leukocyte receptor cluster member 9
  • leukocyte receptor cluster (LRC) member 9

Background

The LENG9 gene encodes a 501 amino acid long, 53 kDA leukocyte receptor cluster member 9. This gene interacts with the CDC5L, ACTB, ACTL6A, ABCF1, and ABCF3 genes.

Limitations

This product is for research use only and is not approved for use in humans or in clinical diagnosis. Primary Antibodies are guaranteed for 1 year from date of receipt.

Customers Who Viewed This Item Also Viewed...

MAB7875
Species: Hu, Mu
Applications: WB
NBP1-85635
Species: Hu
Applications: ICC/IF, IHC,  IHC-P, WB
NBP2-93195
Species: Hu, Mu, Rt
Applications: ICC/IF, WB
NBP2-83654
Species: Hu
Applications: IHC,  IHC-P, WB
NBP1-91249
Species: Hu
Applications: IHC,  IHC-P, WB
NBP1-80601
Species: Hu
Applications: ICC/IF, IHC,  IHC-P, WB
NBP2-02105
Species: Hu, Mu, Rt
Applications: Flow, ICC/IF, IHC,  IHC-P, WB
NBP2-30893
Species: Hu
Applications: IHC

Publications for LENG9 Antibody (NBP2-30893) (0)

There are no publications for LENG9 Antibody (NBP2-30893).
By submitting your publication information earn gift cards and discounts for future purchases.

Reviews for LENG9 Antibody (NBP2-30893) (0)

There are no reviews for LENG9 Antibody (NBP2-30893). By submitting a review you will receive an Amazon e-Gift Card or Novus Product Discount.
  • Review with no image -- $10/€7/£6/$10 CAD/¥70 Yuan/¥1110 Yen
  • Review with an image -- $25/€18/£15/$25 CAD/¥150 Yuan/¥2500 Yen

Product General Protocols

Find general support by application which include: protocols, troubleshooting, illustrated assays, videos and webinars.

FAQs for LENG9 Antibody (NBP2-30893) (0)

There are no specific FAQs related to this product. Read our general customer & technical service FAQs.

Customers Who Bought This Also Bought

Contact Information

Product PDFs

Calculators

Concentration Calculator

The concentration calculator allows you to quickly calculate the volume, mass or concentration of your vial. Simply enter your mass, volume, or concentration values for your reagent and the calculator will determine the rest.

=
÷

Review this Product

Be the first to review our LENG9 Antibody - BSA Free and receive a gift card or discount.

Bioinformatics

Gene Symbol LENG9
Uniprot