KOR Antibody - BSA Free

Images

 
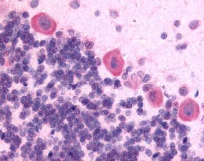
Immunohistochemistry-Paraffin: KOR Antibody [NLS230] - Analysis of anti-Kappa Opioid Receptor antibody of rat brain, Purkinje neurons at 15 ug/ml.

Product Details

Summary
Product Discontinued
View other related KOR Primary Antibodies

Order Details


    • Catalog Number
      NLS230
    • Availability
      Product Discontinued

    Can't find what you are looking for? Use our Antibody Concierge Service & we will help you locate your antibody!

    Or feel free to contact us for alternative products.

KOR Antibody - BSA Free Summary

Description
Product can be stored undiluted at 4C for up to 1 month.
Immunogen
Synthetic 18 amino acid peptide from C-terminus of human KOR.
Epitope
C-Terminus
Specificity
Human KOR. BLAST analysis of the peptide immunogen showed no homology with other human proteins.
Predicted Species
Bovine (94%), Rabbit (94%), Bat (94%), Hamster (94%), Canine (94%), Equine (94%), Primate (100%). Backed by our 100% Guarantee.
Isotype
IgG
Clonality
Polyclonal
Host
Rabbit
Gene
OPRK1
Purity
Immunogen affinity purified
Innovator's Reward
Test in a species/application not listed above to receive a full credit towards a future purchase.

Applications/Dilutions

Dilutions
  • Immunohistochemistry
  • Immunohistochemistry-Paraffin 15 ug/ml
Application Notes
.

Reactivity Notes

Predicted cross-reactivity based on sequence identity: Gorilla (100%), Gibbon (100%), Marmoset (94%), Mouse (89%), Turkey (89%), Chicken (89%).

Packaging, Storage & Formulations

Storage
Keep as concentrated solution. Aliquot and store at -20C or below. Avoid multiple freeze-thaw cycles.
Buffer
PBS
Preservative
0.1% Sodium Azide
Concentration
1.0 mg/ml
Purity
Immunogen affinity purified

Alternate Names for KOR Antibody - BSA Free

  • kappa opioid receptor
  • kappa-type opioid receptor
  • KOR
  • K-OR-1
  • KOR-1
  • Opiate receptor, kappa-1
  • opioid receptor, kappa 1
  • OPRK
  • OPRK1
  • Oprk2
  • R21

Background

KOR1, an Opioid Receptor, plays a modulatory role in specific aspects of opioid function such as the control of pain. Its endogenous ligand, dynorphin A, is an important neurotransmitter in the central and peripheral nervous systems. KOR1 is believed to mediate sedation, analgesia, and diuresis. KOR1 has been reported to be expressed in the central and peripheral nervous systems, placenta, uterus, breast, and blood. ESTs have been isolated from placenta and prostate libraries.

Limitations

This product is for research use only and is not approved for use in humans or in clinical diagnosis. Primary Antibodies are guaranteed for 1 year from date of receipt.

Customers Who Viewed This Item Also Viewed...

H00005173-M01
Species: Hu
Applications: ELISA, IP, S-ELISA, WB
NB100-1533
Species: Hu, Mu, Po, Rt, Sh
Applications: Flow, ICC/IF, IHC,  IHC-P, PEP-ELISA, WB
DYC1825-2
Species: Hu, Mu, Rt
Applications: ELISA
AF1230
Species: Hu, Mu, Rt
Applications: IHC, KO, WB
NBP3-43655
Species: Hu, Mu
Applications: IHC,  IHC-P, WB
NBP3-47255
Species: Hu, Mu, Rt
Applications: ELISA, IHC, IP, WB
MAB4375
Species: Hu, Mu, Rt
Applications: IHC
NBP1-90944
Species: Hu
Applications: IHC,  IHC-P, WB
H00001392-M02
Species: Hu
Applications: ELISA, IHC,  IHC-P, S-ELISA, WB
NB600-326
Species: ET
Applications: ELISA, ICC/IF, IHC,  IHC-P, IP, Simple Western, WB
NBP2-37447
Species: Hu
Applications: CyTOF-ready, ELISA, Flow, ICC/IF, IHC,  IHC-P
NB200-106
Species: Mu, Rt
Applications: ELISA, ICC/IF, IHC, IHC-Fr,  IHC-P, WB
NB7276
Species: Ch
Applications: ELISA, ICC/IF, IHC,  IHC-P, WB
NBP1-92292
Species: Hu, Mu, Rt
Applications: IHC,  IHC-P, KD, WB
NLS230
Species: Hu, Rt, Bt, Bv, Ca, Eq, Ha, Pm, Rb
Applications: IHC

Publications for KOR Antibody (NLS230) (0)

There are no publications for KOR Antibody (NLS230).
By submitting your publication information earn gift cards and discounts for future purchases.

Reviews for KOR Antibody (NLS230) (0)

There are no reviews for KOR Antibody (NLS230). By submitting a review you will receive an Amazon e-Gift Card or Novus Product Discount.
  • Review with no image -- $10/€7/£6/$10 CAD/¥70 Yuan/¥1110 Yen
  • Review with an image -- $25/€18/£15/$25 CAD/¥150 Yuan/¥2500 Yen

Product General Protocols

Find general support by application which include: protocols, troubleshooting, illustrated assays, videos and webinars.

FAQs for KOR Antibody (NLS230). (Showing 1 - 1 of 1 FAQ).

  1. Can you please provide me with the exact amino acid sequence that this antibody was raised against?
    • Although the exact immunogen sequence for our Kappa Opioid Receptor antibody with catalogue number NLS230 is proprietary, I can confirm that the antibody was raised against a synthetic 18 amino acid peptide from the C-terminus of the human protein. This sequence shares the following percent identity with other species: Human, Gorilla, Gibbon, Monkey (100%); Marmoset, Bat, Dog, Bovine, Hamster, Panda, Horse, Rabbit, Guinea pig (94%); Mouse, Rat, Elephant, Turkey, Chicken (89%). A BLAST search has shown it to have no homology with other human proteins.

Secondary Antibodies

 

Isotype Controls

Additional KOR Products

Research Areas for KOR Antibody (NLS230)

Find related products by research area.

Blogs on KOR

There are no specific blogs for KOR, but you can read our latest blog posts.

Contact Information

Product PDFs

Calculators

Concentration Calculator

The concentration calculator allows you to quickly calculate the volume, mass or concentration of your vial. Simply enter your mass, volume, or concentration values for your reagent and the calculator will determine the rest.

=
÷

Review this Product

Be the first to review our KOR Antibody - BSA Free and receive a gift card or discount.

Bioinformatics

Gene Symbol OPRK1
Entrez
Uniprot