INO80C Antibody - BSA Free

Images

 
Orthogonal Strategies: Immunohistochemistry-Paraffin: INO80C Antibody [NBP2-14123] - Staining in human testis and skeletal muscle tissues.. Corresponding INO80C RNA-seq data are presented for the same tissues.
Immunocytochemistry/ Immunofluorescence: INO80C Antibody [NBP2-14123] - Immunofluorescent staining of human cell line U-2 OS shows localization to nucleoli fibrillar center.
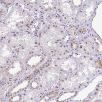
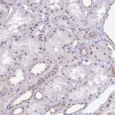
Immunohistochemistry-Paraffin: INO80C Antibody [NBP2-14123] - Staining of human kidney shows weak to moderate positivity in cells in tubules.
Immunohistochemistry-Paraffin: INO80C Antibody [NBP2-14123] - Staining of human testis shows weak nuclear positivity in cells in seminiferous ducts.
Immunohistochemistry-Paraffin: INO80C Antibody [NBP2-14123] - Staining of human skeletal muscle shows very weak positivity in myocytes.
ChIP-Exo-Seq composite graph for Anti-INO80C (NBP2-14123) tested in K562 cells. Strand-specific reads (blue: forward, red: reverse) and IgG controls (black: forward, grey: reverse) are plotted against the distance from ...read more

Product Details

Summary
Reactivity HuSpecies Glossary
Applications ICC/IF, IHC, ChIP
Clonality
Polyclonal
Host
Rabbit
Conjugate
Unconjugated
Format
BSA Free
Validated by:
       

Orthogonal Strategies

 

Order Details

View Available Formulations
Catalog# & Formulation Size Price

INO80C Antibody - BSA Free Summary

Description
Novus Biologicals Rabbit INO80C Antibody - BSA Free (NBP2-14123) is a polyclonal antibody validated for use in IHC and ICC/IF. All Novus Biologicals antibodies are covered by our 100% guarantee.
Immunogen
This antibody was developed against a recombinant protein corresponding to the amino acids: GYGASKKKKASASSFAQGISMEAMSENKMVPSEFSTGPVEKAAKPLPFKDPNFVHSGHGGAVAGKKNRT
Isotype
IgG
Clonality
Polyclonal
Host
Rabbit
Gene
INO80C
Purity
Immunogen affinity purified
Innovator's Reward
Test in a species/application not listed above to receive a full credit towards a future purchase.

Applications/Dilutions

Dilutions
  • Chromatin Immunoprecipitation-exo-Seq 1-10ug per reaction
  • Immunocytochemistry/ Immunofluorescence 0.25-2 ug/ml
  • Immunohistochemistry 1:200 - 1:500
  • Immunohistochemistry-Paraffin 1:200-1:500
Application Notes
IHC-Paraffin, HIER pH 6 retrieval is recommended. ICC/IF, Fixation/Permeabilization: PFA/Triton X-100.
Control Peptide
INO80C Protein (NBP2-14123PEP)

Reactivity Notes

Immunogen displays the following percentage of sequence identity for non-tested species: Mouse (86%), Rat (87%)

Packaging, Storage & Formulations

Storage
Store at 4C short term. Aliquot and store at -20C long term. Avoid freeze-thaw cycles.
Buffer
PBS (pH 7.2) and 40% Glycerol
Preservative
0.02% Sodium Azide
Purity
Immunogen affinity purified

Alternate Names for INO80C Antibody - BSA Free

  • C18orf37
  • chromosome 18 open reading frame 37
  • FLJ38183
  • hIes6
  • IES6 homolog
  • IES6
  • INO80 complex subunit C

Limitations

This product is for research use only and is not approved for use in humans or in clinical diagnosis. Primary Antibodies are guaranteed for 1 year from date of receipt.

Customers Who Viewed This Item Also Viewed...

H00056852-M01
Species: Hu, Mu, Rt
Applications: ELISA, ICC/IF, IHC,  IHC-P, IP, KD, WB
NBP1-85260
Species: Hu
Applications: ChIP-EXO-SEQ, IHC,  IHC-P, WB
NBP3-46297
Species: Hu, Mu, Rt
Applications: ELISA, WB
NBP3-30234
Species: Hu, Mu
Applications: WB
NBP1-78759
Species: Hu
Applications: IP, WB
AF3844
Species: Hu, Mu
Applications: IHC
H00146956-B01P
Species: Hu
Applications: ICC/IF, WB
H00200316-P01
Species: Hu
Applications: ELISA, AP, PA, WB
NBP2-38025
Species: Hu
Applications: ICC/IF, IHC,  IHC-P, WB
NB300-731
Species: Gp, Hu, Mu, Rb, Rt, Sh, Ye
Applications: B/N, ChIP, Flow, GS, ICC/IF, IHC,  IHC-P, IP, WB
NBP1-52176
Species: Mu
Applications: Flow, ICC/IF, PEP-ELISA
NBP2-14123
Species: Hu
Applications: ICC/IF, IHC, ChIP

Publications for INO80C Antibody (NBP2-14123) (0)

There are no publications for INO80C Antibody (NBP2-14123).
By submitting your publication information earn gift cards and discounts for future purchases.

Reviews for INO80C Antibody (NBP2-14123) (0)

There are no reviews for INO80C Antibody (NBP2-14123). By submitting a review you will receive an Amazon e-Gift Card or Novus Product Discount.
  • Review with no image -- $10/€7/£6/$10 CAD/¥70 Yuan/¥1110 Yen
  • Review with an image -- $25/€18/£15/$25 CAD/¥150 Yuan/¥2500 Yen

Product General Protocols

Find general support by application which include: protocols, troubleshooting, illustrated assays, videos and webinars.

Video Protocols

ICC/IF Video Protocol

FAQs for INO80C Antibody (NBP2-14123) (0)

There are no specific FAQs related to this product. Read our general customer & technical service FAQs.

Customers Who Bought This Also Bought

Contact Information

Product PDFs

Calculators

Concentration Calculator

The concentration calculator allows you to quickly calculate the volume, mass or concentration of your vial. Simply enter your mass, volume, or concentration values for your reagent and the calculator will determine the rest.

=
÷

Review this Product

Be the first to review our INO80C Antibody - BSA Free and receive a gift card or discount.

Bioinformatics

Gene Symbol INO80C