INAVA Antibody (OTI6A6)

Images

 
Western Blot: C1orf106 Antibody (6A6) [NBP2-46597] - Analysis of HEK293T cells were transfected with the pCMV6-ENTRY control (Left lane) or pCMV6-ENTRY C1orf106.
Immunohistochemistry: C1orf106 Antibody (6A6) [NBP2-46597] - Analysis of Human tonsil tissue. (Heat-induced epitope retrieval by 1 mM EDTA in 10mM Tris, pH8.5, 120C for 3min)
Immunohistochemistry: C1orf106 Antibody (OTI6A6) [NBP2-46597] - C1orf106 Antibody (6A6) [NBP2-46597] - Analysis of Carcinoma of Human lung tissue. (Heat-induced epitope retrieval by 1 mM EDTA in 10mM Tris, pH8.5, 120C ...read more
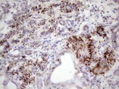
Immunohistochemistry: C1orf106 Antibody (6A6) [NBP2-46597] - Analysis of Carcinoma of Human pancreas tissue. (Heat-induced epitope retrieval by 1 mM EDTA in 10mM Tris, pH8.5, 120C for 3min)

Product Details

Summary
Reactivity HuSpecies Glossary
Applications WB, IHC
Clone
OTI6A6
Clonality
Monoclonal
Host
Mouse
Conjugate
Unconjugated
Concentration
1 mg/ml

Order Details

INAVA Antibody (OTI6A6) Summary

Description
Novus Biologicals Mouse INAVA Antibody (OTI6A6) (NBP2-46597) is a monoclonal antibody validated for use in IHC and WB. All Novus Biologicals antibodies are covered by our 100% guarantee.
Immunogen
Human recombinant protein fragment corresponding to amino acids 1-270 of human C1ORF106(NP_060735) produced in E.coli.
Isotype
IgG1
Clonality
Monoclonal
Host
Mouse
Gene
C1ORF106
Purity
Immunogen affinity purified
Innovator's Reward
Test in a species/application not listed above to receive a full credit towards a future purchase.

Applications/Dilutions

Dilutions
  • Immunohistochemistry 1:150
  • Immunohistochemistry-Paraffin
  • Western Blot 1:2000
Theoretical MW
72.7 kDa.
Disclaimer note: The observed molecular weight of the protein may vary from the listed predicted molecular weight due to post translational modifications, post translation cleavages, relative charges, and other experimental factors.

Packaging, Storage & Formulations

Storage
Store at -20C. Avoid freeze-thaw cycles.
Buffer
PBS (pH 7.3), 1.0% BSA and 50% Glycerol
Preservative
0.02% Sodium Azide
Concentration
1 mg/ml
Purity
Immunogen affinity purified

Alternate Names for INAVA Antibody (OTI6A6)

  • C1orf106
  • chromosome 1 open reading frame 106
  • hypothetical protein LOC55765

Limitations

This product is for research use only and is not approved for use in humans or in clinical diagnosis. Primary Antibodies are guaranteed for 1 year from date of receipt.

Customers Who Viewed This Item Also Viewed...

AF3428
Species: Hu
Applications: ICC, Simple Western, WB
NB100-524
Species: Hu, Mu
Applications: Flow-IC, Flow, ICC/IF, IHC, IHC-Fr,  IHC-P, IP, WB
MAB1686
Species: Mu
Applications: Neut, WB
NBP1-49873
Species: Hu, Mu
Applications: IHC,  IHC-P, PEP-ELISA, WB
PP-H7833-00
Species: Hu
Applications: IP, WB
AF856
Species: Mu
Applications: CyTOF-ready, Flow, Neut, WB
NBP2-37975
Species: Hu
Applications: IHC,  IHC-P
MAB6519
Species: Hu, Mu
Applications: IHC, WB
MAB8245
Species: Hu
Applications: IHC
NBP2-46597
Species: Hu
Applications: WB, IHC

Publications for INAVA Antibody (NBP2-46597) (0)

There are no publications for INAVA Antibody (NBP2-46597).
By submitting your publication information earn gift cards and discounts for future purchases.

Reviews for INAVA Antibody (NBP2-46597) (0)

There are no reviews for INAVA Antibody (NBP2-46597). By submitting a review you will receive an Amazon e-Gift Card or Novus Product Discount.
  • Review with no image -- $10/€7/£6/$10 CAD/¥70 Yuan/¥1110 Yen
  • Review with an image -- $25/€18/£15/$25 CAD/¥150 Yuan/¥2500 Yen

Product General Protocols

Find general support by application which include: protocols, troubleshooting, illustrated assays, videos and webinars.

Video Protocols

WB Video Protocol

FAQs for INAVA Antibody (NBP2-46597) (0)

There are no specific FAQs related to this product. Read our general customer & technical service FAQs.

Customers Who Bought This Also Bought

Contact Information

Product PDFs

Calculators

Concentration Calculator

The concentration calculator allows you to quickly calculate the volume, mass or concentration of your vial. Simply enter your mass, volume, or concentration values for your reagent and the calculator will determine the rest.

=
÷

Review this Product

Be the first to review our INAVA Antibody (OTI6A6) and receive a gift card or discount.

Bioinformatics

Gene Symbol C1ORF106