HSPB8/HSP22 Antibody (JJ08-53)

Images

 
Western Blot: HSPB8/HSP22 Antibody (JJ08-53) [NBP2-67836] - Analysis of Hsp22 on different lysates using anti-Hsp22 antibody at 1/1,000 dilution. Positive control: Lane 1: HepG2 Lane 2: Mouse skeletal muscle
Immunocytochemistry/ Immunofluorescence: HSPB8/HSP22 Antibody (JJ08-53) [NBP2-67836] - Staining Hsp22 in SH-SY-5Y cells (green). The nuclear counter stain is DAPI (blue). Cells were fixed in paraformaldehyde, ...read more
Immunohistochemistry-Paraffin: HSPB8/HSP22 Antibody (JJ08-53) [NBP2-67836] - Analysis of paraffin-embedded rat skeletal muscle tissue using anti-Hsp22 antibody. Counter stained with hematoxylin.
Immunocytochemistry/ Immunofluorescence: HSPB8/HSP22 Antibody (JJ08-53) [NBP2-67836] - Staining Hsp22 in A431 cells (green). The nuclear counter stain is DAPI (blue). Cells were fixed in paraformaldehyde, permeabilised ...read more
Immunocytochemistry/ Immunofluorescence: HSPB8/HSP22 Antibody (JJ08-53) [NBP2-67836] - Staining Hsp22 in Hela cells (green). The nuclear counter stain is DAPI (blue). Cells were fixed in paraformaldehyde, permeabilised ...read more
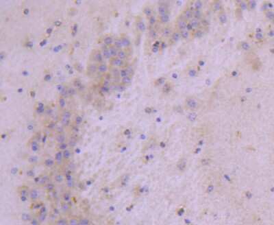
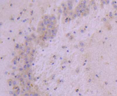
Immunohistochemistry-Paraffin: HSPB8/HSP22 Antibody (JJ08-53) [NBP2-67836] - Analysis of paraffin-embedded mouse brain tissue using anti-Hsp22 antibody. Counter stained with hematoxylin.

Product Details

Summary
Product Discontinued
View other related HSPB8/HSP22 Primary Antibodies

Order Details


    • Catalog Number
      NBP2-67836
    • Availability
      Product Discontinued

    Can't find what you are looking for? Use our Antibody Concierge Service & we will help you locate your antibody!

    Or feel free to contact us for alternative products.

HSPB8/HSP22 Antibody (JJ08-53) Summary

Additional Information
Recombinant Monoclonal Antibody.
Immunogen
Synthetic peptide within Human HSPB8/HSP22 aa 1-50 / 196. (SwissProt: Q9UJY1 Human; SwissProt: Q9JK92 Mouse; SwissProt: Q9EPX0 Rat)
Localization
Nucleus, Cytoplasm.
Isotype
IgG
Clonality
Monoclonal
Host
Rabbit
Gene
HSPB8
Purity
Protein A purified
Innovator's Reward
Test in a species/application not listed above to receive a full credit towards a future purchase.

Applications/Dilutions

Dilutions
  • Immunocytochemistry/ Immunofluorescence 1:100-1:500
  • Immunohistochemistry
  • Immunohistochemistry-Paraffin 1:50-1:200
  • Western Blot 1:500-1:2000

Packaging, Storage & Formulations

Storage
Store at 4C short term. Aliquot and store at -20C long term. Avoid freeze-thaw cycles.
Buffer
TBS (pH7.4), 0.05% BSA, 40% Glycerol
Preservative
0.05% Sodium Azide
Concentration
1 mg/ml
Purity
Protein A purified

Alternate Names for HSPB8/HSP22 Antibody (JJ08-53)

  • Alpha-crystallin C chain
  • CMT2L
  • CRYAC
  • DHMN2
  • E2IG1
  • E2IG1E2-induced gene 1 protein
  • H11
  • H11DHMN2
  • heat shock 22kDa protein 8
  • heat shock 27kDa protein 8
  • heat shock protein beta-8
  • HMN2
  • HMN2A
  • HSP22
  • HSP22CMT2L
  • HSPB8
  • Protein kinase H11
  • Small stress protein-like protein HSP22

Background

HSP22 is encoded by this gene belongs to the superfamily of small heat-shock proteins containing a conservative alpha-crystallin domain at the C-terminal part of the molecule. The expression of this gene in induced by estrogen in estrogen receptor-positive breast cancer cells, and this protein also functions as a chaperone in association with Bag3, a stimulator of macroautophagy. Thus, this gene appears to be involved in regulation of cell proliferation, apoptosis, and carcinogenesis, and mutations in this gene have been associated with different neuromuscular diseases, including Charcot-Marie-Tooth disease.

Limitations

This product is for research use only and is not approved for use in humans or in clinical diagnosis. Primary Antibodies are guaranteed for 1 year from date of receipt.

Customers Who Viewed This Item Also Viewed...

NBP2-32972
Species: Ch, Pm, Hu, Pm, Mu, Rt, Sh
Applications: Flow, ICC/IF, IHC,  IHC-P, WB
NBP3-16751
Species: Hu, Mu, Rt
Applications: ICC/IF, IHC,  IHC-P, WB
NB100-2519
Species: Hu, Mu
Applications: ICC/IF, WB
NBP1-81696
Species: Hu, Mu, Rt
Applications: ICC/IF, IHC,  IHC-P, WB
NLS3775
Species: Hu, Pm
Applications: ICC/IF, IHC,  IHC-P
NBP2-07996
Species: Hu
Applications: WB
NBP2-52486
Species: Hu
Applications: CyTOF-ready, ELISA, Flow, ICC/IF, IHC,  IHC-P, WB
NBP1-85351
Species: Hu, Mu, Rt
Applications: ICC/IF, IHC,  IHC-P, WB
NBP2-38713
Species: Hu
Applications: IHC,  IHC-P
H00027129-M01
Species: Hu, Mu
Applications: ELISA, IHC,  IHC-P, S-ELISA, WB
NBP2-20154
Species: Hu, Mu, Rt
Applications: IHC,  IHC-P, WB
NBP2-47752
Species: Hu, Mu, Rt
Applications: CyTOF-ready, Flow, ICC/IF, IF, IHC,  IHC-P, WB
H00003166-B01P-50ug
Species: Hu
Applications: WB
AF4999
Species: Mu
Applications: Simple Western, WB
NBP2-52490
Species: Hu
Applications: CyTOF-ready, ELISA, Flow, WB
NBP2-67836
Species: Hu, Mu, Rt
Applications: WB, ICC/IF, IHC

Publications for HSPB8/HSP22 Antibody (NBP2-67836) (0)

There are no publications for HSPB8/HSP22 Antibody (NBP2-67836).
By submitting your publication information earn gift cards and discounts for future purchases.

Reviews for HSPB8/HSP22 Antibody (NBP2-67836) (0)

There are no reviews for HSPB8/HSP22 Antibody (NBP2-67836). By submitting a review you will receive an Amazon e-Gift Card or Novus Product Discount.
  • Review with no image -- $10/€7/£6/$10 CAD/¥70 Yuan/¥1110 Yen
  • Review with an image -- $25/€18/£15/$25 CAD/¥150 Yuan/¥2500 Yen

Product General Protocols

Find general support by application which include: protocols, troubleshooting, illustrated assays, videos and webinars.

Video Protocols

WB Video Protocol
ICC/IF Video Protocol

FAQs for HSPB8/HSP22 Antibody (NBP2-67836) (0)

There are no specific FAQs related to this product. Read our general customer & technical service FAQs.

Secondary Antibodies

 

Isotype Controls

Additional HSPB8/HSP22 Products

Research Areas for HSPB8/HSP22 Antibody (NBP2-67836)

Find related products by research area.

Blogs on HSPB8/HSP22

There are no specific blogs for HSPB8/HSP22, but you can read our latest blog posts.

Contact Information

Product PDFs

Calculators

Concentration Calculator

The concentration calculator allows you to quickly calculate the volume, mass or concentration of your vial. Simply enter your mass, volume, or concentration values for your reagent and the calculator will determine the rest.

=
÷

Review this Product

Be the first to review our HSPB8/HSP22 Antibody (JJ08-53) and receive a gift card or discount.

Bioinformatics

Gene Symbol HSPB8