HBO1 Antibody (JM32-39)

Images

 
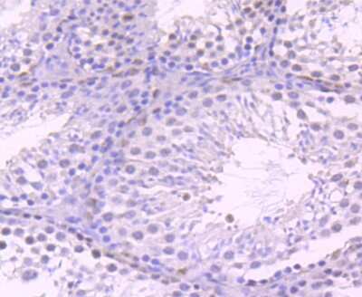
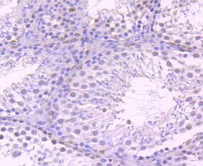
Immunohistochemistry-Paraffin: HBO1 Antibody (JM32-39) [NBP2-66882] - Analysis of paraffin-embedded rat testes tissue using anti-KAT7 antibody. Counter stained with hematoxylin.
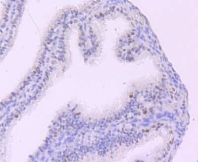
Immunohistochemistry-Paraffin: HBO1 Antibody (JM32-39) [NBP2-66882] - Analysis of paraffin-embedded mouse fallopian tubes tissue using anti-KAT7 antibody. Counter stained with hematoxylin.
Immunohistochemistry-Paraffin: HBO1 Antibody (JM32-39) [NBP2-66882] - Analysis of paraffin-embedded mouse testes tissue using anti-KAT7 antibody. Counter stained with hematoxylin.

Product Details

Summary
Product Discontinued
View other related HBO1 Primary Antibodies

Order Details


    • Catalog Number
      NBP2-66882
    • Availability
      Product Discontinued

    Can't find what you are looking for? Use our Antibody Concierge Service & we will help you locate your antibody!

    Or feel free to contact us for alternative products.

HBO1 Antibody (JM32-39) Summary

Additional Information
Recombinant Monoclonal Antibody.
Immunogen
Recombinant protein within Human HBO1 aa 1-240 / 611. (SwissProt: O95251 Human; SwissProt: Q5SVQ0 Mouse; SwissProt: Q810T5 Rat)
Localization
Nucleus.
Isotype
IgG
Clonality
Monoclonal
Host
Rabbit
Gene
KAT7
Purity
Protein A purified
Innovator's Reward
Test in a species/application not listed above to receive a full credit towards a future purchase.

Applications/Dilutions

Dilutions
  • Immunohistochemistry
  • Immunohistochemistry-Paraffin 1:50-1:100
  • Immunoprecipitation
  • Western Blot 1:500

Packaging, Storage & Formulations

Storage
Store at 4C short term. Aliquot and store at -20C long term. Avoid freeze-thaw cycles.
Buffer
TBS (pH7.4), 0.05% BSA, 40% Glycerol
Preservative
0.05% Sodium Azide
Concentration
1 mg/ml
Purity
Protein A purified

Alternate Names for HBO1 Antibody (JM32-39)

  • EC 2.3.1.48
  • HBO1
  • HBO1EC 2.3.1.48
  • HBOa
  • Histone acetyltransferase binding to ORC1
  • histone acetyltransferase MYST2
  • KAT7
  • MOZ, YBF2/SAS3, SAS2 and TIP60 protein 2
  • MYST histone acetyltransferase 2
  • MYST2
  • MYST-2

Background

HBO1 (human acetylase binding to ORC1) is a MYST family histone acetylase. HBO1 has shown to be targeted to origins of replication in association with the licensing factor Cdt1 and to also interact with transcriptional activator proteins.

Limitations

This product is for research use only and is not approved for use in humans or in clinical diagnosis. Primary Antibodies are guaranteed for 1 year from date of receipt.

Customers Who Viewed This Item Also Viewed...

2695-SE
Species: Hu
Applications: EnzAct
NBP2-07996
Species: Hu
Applications: WB
NBP2-52486
Species: Hu
Applications: CyTOF-ready, ELISA, Flow, ICC/IF, IHC,  IHC-P, WB
NB100-55251
Species: Hu, Mu
Applications: IHC,  IHC-P, IP, WB
NBP1-85482
Species: Hu
Applications: ICC/IF, IHC,  IHC-P, WB
NBP3-46113
Species: Hu, Mu, Rt
Applications: ELISA, IHC, IP, , WB
NBL1-11570
Species: Hu
Applications: WB
H00008365-M01
Species: Hu
Applications: ELISA, ICC/IF, S-ELISA
NBL1-11567
Species: Hu
Applications: WB
NBP3-27150
Species: Hu
Applications: ELISA, WB
NBP2-33828
Species: Hu
Applications: IHC,  IHC-P
H00007994-M07
Species: Hu
Applications: ELISA, IHC,  IHC-P, S-ELISA, WB
NB500-171
Species: Hu, I, Mu, Rt, Xp, Ye
Applications: ChIP, IB, ICC/IF, IHC,  IHC-P, Single-Cell Western, WB
H00051053-M01
Species: Hu
Applications: ELISA, ICC/IF, IHC,  IHC-P, WB
NBP2-55900
Species: Hu
Applications: ICC/IF, WB
NB100-2567
Species: Hu
Applications: IHC,  IHC-P, IP, WB

Publications for HBO1 Antibody (NBP2-66882) (0)

There are no publications for HBO1 Antibody (NBP2-66882).
By submitting your publication information earn gift cards and discounts for future purchases.

Reviews for HBO1 Antibody (NBP2-66882) (0)

There are no reviews for HBO1 Antibody (NBP2-66882). By submitting a review you will receive an Amazon e-Gift Card or Novus Product Discount.
  • Review with no image -- $10/€7/£6/$10 CAD/¥70 Yuan/¥1110 Yen
  • Review with an image -- $25/€18/£15/$25 CAD/¥150 Yuan/¥2500 Yen

Product General Protocols

Find general support by application which include: protocols, troubleshooting, illustrated assays, videos and webinars.

Video Protocols

WB Video Protocol

FAQs for HBO1 Antibody (NBP2-66882) (0)

There are no specific FAQs related to this product. Read our general customer & technical service FAQs.

Secondary Antibodies

 

Isotype Controls

Additional HBO1 Products

Research Areas for HBO1 Antibody (NBP2-66882)

Find related products by research area.

Blogs on HBO1

There are no specific blogs for HBO1, but you can read our latest blog posts.

Contact Information

Product PDFs

Calculators

Concentration Calculator

The concentration calculator allows you to quickly calculate the volume, mass or concentration of your vial. Simply enter your mass, volume, or concentration values for your reagent and the calculator will determine the rest.

=
÷

Review this Product

Be the first to review our HBO1 Antibody (JM32-39) and receive a gift card or discount.

Bioinformatics

Gene Symbol KAT7