H1F0 Antibody (rHH1/8702) - Azide and BSA Free

Images

 
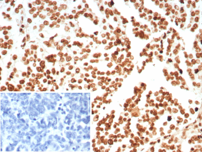
Formalin-fixed, paraffin-embedded human ovarian carcinoma stained with H1F0 antibody (rHH1/8702). Inset: PBS instead of primary antibody; secondary only negative control.
Formalin-fixed, paraffin-embedded human lymph node stained with H1F0 antibody (rHH1/8702). HIER: Tris/EDTA, pH9.0, 45min. Secondary: HRP-polymer, 30min. DAB, 5min.

Product Details

Summary
Reactivity HuSpecies Glossary
Applications IHC
Clone
rHH1/8702
Clonality
Monoclonal
Host
Mouse
Conjugate
Unconjugated
Format
Azide and BSA Free
Concentration
1 mg/ml

Order Details

H1F0 Antibody (rHH1/8702) - Azide and BSA Free Summary

Description
Positive Controls: HeLa, A-431, LNCap or Jurkat cells. Human heart or breast carcinoma.

Antibody with azide - store at 2 to 8C. Antibody without azide - store at -20 to -80C. Non-hazardous. No MSDS required.
Additional Information
Recombinant Monoclonal Antibody
Immunogen
Nuclei of human leukemia biopsy cells
Localization
Nucleus.
Isotype
IgG2b Kappa
Clonality
Monoclonal
Host
Mouse
Gene
H1-0
Purity
Protein A or G purified
Innovator's Reward
Test in a species/application not listed above to receive a full credit towards a future purchase.

Applications/Dilutions

Dilutions
  • Immunohistochemistry-Paraffin 1-2 ug/ml
Application Notes
Immunohistochemistry (Formalin-fixed): 1-2ug/ml for 30 minutes. at RT. Staining of formalin-fixed tissues requires heating tissue sections in 10mM Tris with 1mM EDTA, pH 9.0, for 45 min at 95C followed by cooling at RT for 20 minutes.

Optimal dilution for a specific application should be determined.

Packaging, Storage & Formulations

Storage
Store at -20 to -70C. Avoid freeze-thaw cycles.
Buffer
1mM PBS
Preservative
No Preservative
Concentration
1 mg/ml
Purity
Protein A or G purified

Alternate Names for H1F0 Antibody (rHH1/8702) - Azide and BSA Free

  • H1 histone family, member 0
  • H1.0, H1(0), H1-0
  • H10
  • H1FVMGC5241
  • Histone H1'
  • Histone H1(0)
  • histone H1.0

Background

Plasmid: pCMV-H1F0 Full length; Host Cell: 293T

Limitations

This product is for research use only and is not approved for use in humans or in clinical diagnosis. Primary Antibodies are guaranteed for 1 year from date of receipt.

Customers Who Viewed This Item Also Viewed...

NBP2-47754
Species: Hu, Mu, Rt
Applications: CyTOF-ready, Flow, ICC/IF, IF, IHC,  IHC-P, WB
NBP2-07996
Species: Hu
Applications: WB
NBP2-52486
Species: Hu
Applications: CyTOF-ready, ELISA, Flow, ICC/IF, IHC,  IHC-P, WB
NLS3775
Species: Hu, Pm
Applications: ICC/IF, IHC,  IHC-P
NBP1-85351
Species: Hu, Mu, Rt
Applications: ICC/IF, IHC,  IHC-P, WB
MAB4987
Species: Hu, Mu, Rt
Applications: WB
H00003166-B01P-50ug
Species: Hu
Applications: WB
NBP2-20154
Species: Hu, Mu, Rt
Applications: IHC,  IHC-P, WB
H00000389-M06
Species: Hu, Mu, Rt
Applications: ELISA, ICC/IF, IHC, S-ELISA, WB
H00009248-B01P
Species: Hu, Mu, Rt
Applications: Flow, KO, WB
NBP2-45731
Species: Ca, Hu, Pm
Applications: IHC,  IHC-P, WB
NBP1-33581
Species: Hu, Mu, Rt
Applications: ELISA, ICC/IF, IHC,  IHC-P, WB
AF4679
Species: Hu
Applications: WB
NBP3-20985
Species: Hu
Applications: IHC

Publications for H1F0 Antibody (NBP3-20985) (0)

There are no publications for H1F0 Antibody (NBP3-20985).
By submitting your publication information earn gift cards and discounts for future purchases.

Reviews for H1F0 Antibody (NBP3-20985) (0)

There are no reviews for H1F0 Antibody (NBP3-20985). By submitting a review you will receive an Amazon e-Gift Card or Novus Product Discount.
  • Review with no image -- $10/€7/£6/$10 CAD/¥70 Yuan/¥1110 Yen
  • Review with an image -- $25/€18/£15/$25 CAD/¥150 Yuan/¥2500 Yen

Product General Protocols

Find general support by application which include: protocols, troubleshooting, illustrated assays, videos and webinars.

FAQs for H1F0 Antibody (NBP3-20985) (0)

There are no specific FAQs related to this product. Read our general customer & technical service FAQs.

Secondary Antibodies

 

Isotype Controls

Additional H1F0 Products

Research Areas for H1F0 Antibody (NBP3-20985)

Find related products by research area.

Blogs on H1F0

There are no specific blogs for H1F0, but you can read our latest blog posts.

Customers Who Bought This Also Bought

Contact Information

Product PDFs

Calculators

Concentration Calculator

The concentration calculator allows you to quickly calculate the volume, mass or concentration of your vial. Simply enter your mass, volume, or concentration values for your reagent and the calculator will determine the rest.

=
÷

Review this Product

Be the first to review our H1F0 Antibody (rHH1/8702) - Azide and BSA Free and receive a gift card or discount.

Bioinformatics

Gene Symbol H1-0