GPR101 Antibody

Images

 
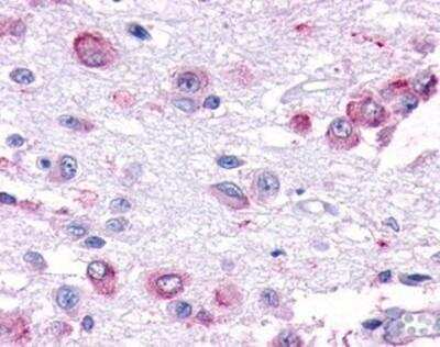
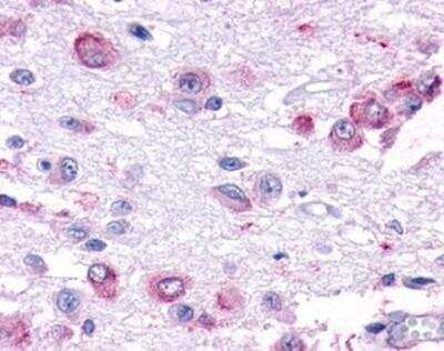
Immunohistochemistry-Paraffin: GPR101 Antibody [NBP1-02676] - Staining of human brain, hypothalamus. Immunohistochemistry of formalin-fixed, paraffin-embedded tissue after heat-induced antigen retrieval. Antibody ...read more

Product Details

Summary
Product Discontinued
View other related GPR101 Primary Antibodies

Order Details


    • Catalog Number
      NBP1-02676
    • Availability
      Product Discontinued

    Can't find what you are looking for? Use our Antibody Concierge Service & we will help you locate your antibody!

    Or feel free to contact us for alternative products.

GPR101 Antibody Summary

Immunogen
Synthetic 19 amino acid peptide from 3rd cytoplasmic domain of human GPR101.
Specificity
Human GPR101. BLAST analysis of the peptide immunogen showed no homology with other human proteins, except ZBTB10 (47%).
Predicted Species
Monkey (95%), Primate (95%). Backed by our 100% Guarantee.
Isotype
IgG
Clonality
Polyclonal
Host
Rabbit
Gene
GPR101
Purity
Immunogen affinity purified
Innovator's Reward
Test in a species/application not listed above to receive a full credit towards a future purchase.

Applications/Dilutions

Dilutions
  • Immunohistochemistry 3 ug/ml
  • Immunohistochemistry-Paraffin 3 ug/ml

Reactivity Notes

Predicted cross-reactivity based on sequence identity: Gorilla (100%), Gibbon (95%), Bovine (89%), Equine (89%), Poricne (89%), Bat (84%), Panda (84%), Rabbit (84%).

Packaging, Storage & Formulations

Storage
Store at 4C short term. Aliquot and store at -20C long term. Avoid freeze-thaw cycles.
Buffer
PBS
Preservative
0.1% Sodium Azide
Concentration
1.0 mg/ml
Purity
Immunogen affinity purified

Alternate Names for GPR101 Antibody

  • G protein-coupled receptor 101
  • GPCR6
  • GPR101
  • probable G-protein coupled receptor 101

Background

G protein-coupled receptor GPR101 is an Orphan-U GPCR with an unknown ligand.

Limitations

This product is for research use only and is not approved for use in humans or in clinical diagnosis. Primary Antibodies are guaranteed for 1 year from date of receipt.

Customers Who Viewed This Item Also Viewed...

NLS418
Species: Hu
Applications: IHC,  IHC-P
NLS2756
Species: Hu, Pm
Applications: ICC, IHC,  IHC-P
MAB194
Species: Hu, Mu
Applications: CyTOF-ready, Flow, ICC, WB
MAB8458
Species: Hu
Applications: CyTOF-ready, Flow, ICC
NLS1017
Species: Bt, Bv, Ca, Eq, Hu, Mu
Applications: IHC,  IHC-P
NLS2576
Species: Hu, Pm, Rt
Applications: IHC,  IHC-P
NLS1922
Species: Hu
Applications: IHC,  IHC-P
MAB8449
Species: Hu
Applications: CyTOF-ready, Flow
NBP3-04509
Species: Hu, Mu, Rt
Applications: ELISA, IHC,  IHC-P, WB
H00005696-M01
Species: Hu
Applications: ELISA, ICC/IF, IHC,  IHC-P, IP, WB
MAB541
Species: Hu, Rt
Applications: CyTOF-ready, Flow, ICC, WB
NBP1-03363
Species: Ch, Hu, Mu, Rt
Applications: ICC/IF, IHC, IHC-Fr,  IHC-P, Simple Western, WB
DLP00
Species: Hu
Applications: ELISA
NBP1-02676
Species: Hu, Pm, Pm
Applications: IHC

Publications for GPR101 Antibody (NBP1-02676) (0)

There are no publications for GPR101 Antibody (NBP1-02676).
By submitting your publication information earn gift cards and discounts for future purchases.

Reviews for GPR101 Antibody (NBP1-02676) (0)

There are no reviews for GPR101 Antibody (NBP1-02676). By submitting a review you will receive an Amazon e-Gift Card or Novus Product Discount.
  • Review with no image -- $10/€7/£6/$10 CAD/¥70 Yuan/¥1110 Yen
  • Review with an image -- $25/€18/£15/$25 CAD/¥150 Yuan/¥2500 Yen

Product General Protocols

Find general support by application which include: protocols, troubleshooting, illustrated assays, videos and webinars.

FAQs for GPR101 Antibody (NBP1-02676) (0)

There are no specific FAQs related to this product. Read our general customer & technical service FAQs.

Secondary Antibodies

 

Isotype Controls

Additional GPR101 Products

Research Areas for GPR101 Antibody (NBP1-02676)

Find related products by research area.

Blogs on GPR101

There are no specific blogs for GPR101, but you can read our latest blog posts.

Contact Information

Product PDFs

Calculators

Concentration Calculator

The concentration calculator allows you to quickly calculate the volume, mass or concentration of your vial. Simply enter your mass, volume, or concentration values for your reagent and the calculator will determine the rest.

=
÷

Review this Product

Be the first to review our GPR101 Antibody and receive a gift card or discount.

Bioinformatics

Gene Symbol GPR101
Uniprot