GIMAP7 Antibody - BSA Free

Images

 
Orthogonal Strategies: Immunohistochemistry-Paraffin: GIMAP7 Antibody [NBP1-81624] - Staining in human lymph node and skeletal muscle tissues using anti-GIMAP7 antibody. Corresponding GIMAP7 RNA-seq data are ...read more
Western Blot: GIMAP7 Antibody [NBP1-81624] - Analysis in control (vector only transfected HEK293T lysate) and GIMAP7 over-expression lysate (Co-expressed with a C-terminal myc-DDK tag (3.1 kDa) in mammalian HEK293T ...read more
Immunohistochemistry-Paraffin: GIMAP7 Antibody [NBP1-81624] - Staining of human lymph node shows moderate cytoplasmic positivity in non-germinal center cells.
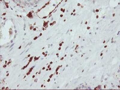
Immunohistochemistry-Paraffin: GIMAP7 Antibody [NBP1-81624] - Staining of human skeletal muscle shows low expression as expected.

Product Details

Summary
Reactivity HuSpecies Glossary
Applications WB, IHC
Clonality
Polyclonal
Host
Rabbit
Conjugate
Unconjugated
Format
BSA Free
Validated by:
       

Orthogonal Strategies

 

Order Details

View Available Formulations
Catalog# & Formulation Size Price

GIMAP7 Antibody - BSA Free Summary

Description
Novus Biologicals Rabbit GIMAP7 Antibody - BSA Free (NBP1-81624) is a polyclonal antibody validated for use in IHC and WB. All Novus Biologicals antibodies are covered by our 100% guarantee.
Immunogen
This antibody was developed against Recombinant Protein corresponding to amino acids: FHDFIADADVGLKSIVKECGNRCCAFSNSKKTSKAEKESQVQELVELIEKMVQCNEGAYFSDDIYKDTEERLKQREEV
Isotype
IgG
Clonality
Polyclonal
Host
Rabbit
Gene
GIMAP7
Purity
Immunogen affinity purified
Innovator's Reward
Test in a species/application not listed above to receive a full credit towards a future purchase.

Applications/Dilutions

Dilutions
  • Immunohistochemistry 1:50 - 1:200
  • Immunohistochemistry-Paraffin 1:50 - 1:200
  • Western Blot 0.04-0.4 ug/ml
Application Notes
For IHC-Paraffin, HIER pH 6 retrieval is recommended.
Control Peptide
GIMAP7 Protein (NBP1-81624PEP)

Packaging, Storage & Formulations

Storage
Store at 4C short term. Aliquot and store at -20C long term. Avoid freeze-thaw cycles.
Buffer
PBS (pH 7.2) and 40% Glycerol
Preservative
0.02% Sodium Azide
Purity
Immunogen affinity purified

Alternate Names for GIMAP7 Antibody - BSA Free

  • GTPase, IMAP family member 7
  • hIAN7
  • IAN-7
  • IAN7GTPase IMAP family member 7
  • immune associated nucleotide
  • Immunity-associated nucleotide 7 protein
  • MGC27027

Background

GIMAP7 encodes a protein belonging to the GTP-binding superfamily and to the immuno-associated nucleotide (IAN) subfamily of nucleotide-binding proteins. In humans, the IAN subfamily genes are located in a cluster at 7q36.1.

Limitations

This product is for research use only and is not approved for use in humans or in clinical diagnosis. Primary Antibodies are guaranteed for 1 year from date of receipt.

Customers Who Viewed This Item Also Viewed...

NBP1-31165
Species: Hu
Applications: IHC,  IHC-P, WB
NBP1-49045
Species: Mu, Rt
Applications: Cell Depl, CyTOF-ready, Flow, ICC/IF, IHC, IHC-Fr,  IHC-P, IP, InhibTFunc
NBP1-57487
Species: Hu, Mu
Applications: IHC,  IHC-P, WB
NB120-6405
Species: Rt
Applications: B/N, CyTOF-ready, EM, ELISA, Flow-IC, Flow, ICC/IF, IHC, IHC-Fr,  IHC-P, IP
NBP1-19371
Species: Ca, Hu, Mu, Po, Rb, Rt
Applications: Dual ISH-IHC, Flow, ICC/IF, IHC, IHC-Fr,  IHC-P, Simple Western, WB
NBP1-82110
Species: Hu
Applications: IHC,  IHC-P
NBP3-16006
Species: Hu
Applications: ELISA, IHC,  IHC-P, WB
MAB4077
Species: Hu
Applications: IHC, WB
NBP2-03730
Species: Hu
Applications: Flow, ICC/IF, IHC,  IHC-P, WB
NBP1-85059
Species: Hu
Applications: IHC,  IHC-P, WB

Publications for GIMAP7 Antibody (NBP1-81624) (0)

There are no publications for GIMAP7 Antibody (NBP1-81624).
By submitting your publication information earn gift cards and discounts for future purchases.

Reviews for GIMAP7 Antibody (NBP1-81624) (0)

There are no reviews for GIMAP7 Antibody (NBP1-81624). By submitting a review you will receive an Amazon e-Gift Card or Novus Product Discount.
  • Review with no image -- $10/€7/£6/$10 CAD/¥70 Yuan/¥1110 Yen
  • Review with an image -- $25/€18/£15/$25 CAD/¥150 Yuan/¥2500 Yen

Product General Protocols

Find general support by application which include: protocols, troubleshooting, illustrated assays, videos and webinars.

Video Protocols

WB Video Protocol

FAQs for GIMAP7 Antibody (NBP1-81624) (0)

There are no specific FAQs related to this product. Read our general customer & technical service FAQs.

Customers Who Bought This Also Bought

Contact Information

Product PDFs

Calculators

Concentration Calculator

The concentration calculator allows you to quickly calculate the volume, mass or concentration of your vial. Simply enter your mass, volume, or concentration values for your reagent and the calculator will determine the rest.

=
÷

Review this Product

Be the first to review our GIMAP7 Antibody - BSA Free and receive a gift card or discount.

Bioinformatics

Gene Symbol GIMAP7