FUS2 Antibody

Images

 
Western Blot: FUS2 Antibody [NBP2-16548] - Sample (30 ug of whole cell lysate) A: HCT116 12% SDS PAGE gel, diluted at 1:1000.
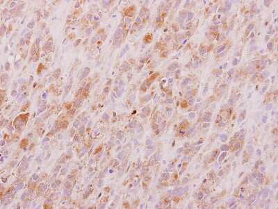
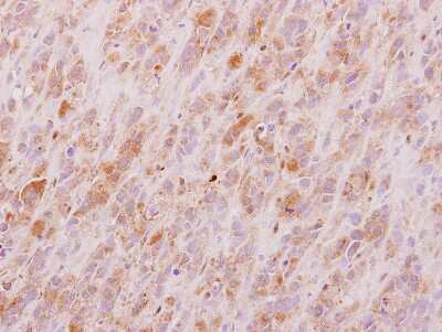
Immunohistochemistry-Paraffin: FUS2 Antibody [NBP2-16548] - Immunohistochemical analysis of paraffin-embedded PC9 xenograft, using antibody at 1:100 dilution.

Product Details

Summary
Product Discontinued
View other related FUS2 Primary Antibodies

Order Details


    • Catalog Number
      NBP2-16548
    • Availability
      Product Discontinued

    Can't find what you are looking for? Use our Antibody Concierge Service & we will help you locate your antibody!

    Or feel free to contact us for alternative products.

FUS2 Antibody Summary

Immunogen
Recombinant protein encompassing a sequence within the center region of human FUS2. The exact sequence is proprietary.
Localization
Cytoplasm
Isotype
IgG
Clonality
Polyclonal
Host
Rabbit
Gene
NAA80
Purity
Immunogen affinity purified
Innovator's Reward
Test in a species/application not listed above to receive a full credit towards a future purchase.

Applications/Dilutions

Dilutions
  • Immunohistochemistry 10 - 1:500
  • Immunohistochemistry-Paraffin 1:100-1:1000
  • Western Blot 1:500-1:3000
Theoretical MW
34 kDa.
Disclaimer note: The observed molecular weight of the protein may vary from the listed predicted molecular weight due to post translational modifications, post translation cleavages, relative charges, and other experimental factors.

Packaging, Storage & Formulations

Storage
Aliquot and store at -20C or -80C. Avoid freeze-thaw cycles.
Buffer
0.1M Tris (pH 7), 0.1M Glycine, 20% Glycerol
Preservative
0.01% Thimerosal
Purity
Immunogen affinity purified

Alternate Names for FUS2 Antibody

  • FUS-2
  • FUS2EC 2.3.1.-
  • N-acetyltransferase 6 (GCN5-related)
  • N-acetyltransferase 6
  • Protein fus-2
  • Protein fusion-2

Background

This gene encodes a member of the N-acetyltransferase family. N-acetyltransferases modify proteins by transferring acetyl groups from acetyl CoA to the N-termini of protein substrates. The encoded protein is a cytoplasmic N-acetyltransferase with a substrate specificity for proteins with an N-terminal methionine. This gene is located in the tumor suppressor gene region on chromosome 3p21.3 and the encoded protein may play a role in cancer. Alternatively spliced transcript variants encoding multiple isoforms have been observed. This gene overlaps and is on the same strand as hyaluronoglucosaminidase 3, and some transcripts of each gene share a portion of the first exon. [provided by RefSeq]

Limitations

This product is for research use only and is not approved for use in humans or in clinical diagnosis. Primary Antibodies are guaranteed for 1 year from date of receipt.

Customers Who Viewed This Item Also Viewed...

NB100-565
Species: Hu, Mu, Rt
Applications: ICC/IF, IHC,  IHC-P, IP, KO, WB
NBP3-04411
Species: Hu, Mu, Rt
Applications: IHC,  IHC-P, WB
NBP2-93736
Species: Hu, Mu, Rt
Applications: ELISA, ICC/IF, IHC,  IHC-P, WB
AF756
Species: Mu
Applications: IHC, WB
NBP1-81283
Species: Hu
Applications: IHC,  IHC-P
NBP3-45493
Species: Hu, Mu, Rt
Applications: ELISA, WB
NBP1-00201
Species: Hu
Applications: Flow, ICC/IF, IHC, PEP-ELISA
NB100-2218
Species: Bv, Ca, Hu, Mu, Pm, Rt
Applications: ICC/IF, IHC,  IHC-P, Simple Western, WB
NBP1-86033
Species: Hu
Applications: ICC/IF, IHC,  IHC-P, WB
NBP1-32600
Species: Hu
Applications: ICC/IF, IHC,  IHC-P, WB
NBP1-76593
Species: Hu, Mu, Rt
Applications: ELISA, ICC/IF, IHC,  IHC-P, WB
NBP1-82537
Species: Hu
Applications: ICC/IF, IHC,  IHC-P, WB
NBP2-67895
Species: Hu, Mu, Rt
Applications: Flow, IHC,  IHC-P, IP, WB
NBP3-46063
Species: Hu, Mu, Rt
Applications: ELISA, IHC, WB
NBP2-30949
Species: Hu
Applications: IHC,  IHC-P
NBP2-02939
Species: Ca, Hu, Pm, Mu, Pm, Rt
Applications: Flow, ICC/IF, WB
NBP2-67187
Species: Hu, Mu, Rt, Ze
Applications: ICC/IF, IHC,  IHC-P, IP, WB
AF1615
Species: Mu
Applications: IHC, WB
⚠ WARNING: This product can expose you to chemicals including mercury, which is known to the State of California to cause reproductive toxicity with developmental effects.  For more information go to www.P65Warnings.ca.gov.

Publications for FUS2 Antibody (NBP2-16548) (0)

There are no publications for FUS2 Antibody (NBP2-16548).
By submitting your publication information earn gift cards and discounts for future purchases.

Reviews for FUS2 Antibody (NBP2-16548) (0)

There are no reviews for FUS2 Antibody (NBP2-16548). By submitting a review you will receive an Amazon e-Gift Card or Novus Product Discount.
  • Review with no image -- $10/€7/£6/$10 CAD/¥70 Yuan/¥1110 Yen
  • Review with an image -- $25/€18/£15/$25 CAD/¥150 Yuan/¥2500 Yen

Product General Protocols

Find general support by application which include: protocols, troubleshooting, illustrated assays, videos and webinars.

Video Protocols

WB Video Protocol

FAQs for FUS2 Antibody (NBP2-16548) (0)

There are no specific FAQs related to this product. Read our general customer & technical service FAQs.

Secondary Antibodies

 

Isotype Controls

Additional FUS2 Products

Research Areas for FUS2 Antibody (NBP2-16548)

Find related products by research area.

Blogs on FUS2

There are no specific blogs for FUS2, but you can read our latest blog posts.

Contact Information

Product PDFs

Calculators

Concentration Calculator

The concentration calculator allows you to quickly calculate the volume, mass or concentration of your vial. Simply enter your mass, volume, or concentration values for your reagent and the calculator will determine the rest.

=
÷

Review this Product

Be the first to review our FUS2 Antibody and receive a gift card or discount.

Bioinformatics

Gene Symbol NAA80