Fibrinogen Antibody (5C5)

Images

 
Western Blot: Fibrinogen Antibody (5C5) [NBP2-11515] - Analysis of human plasma protein: Lane 1: Purified human fibrinogen protein. Lane 2: Human plasma
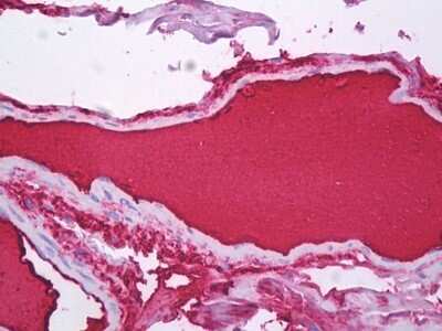
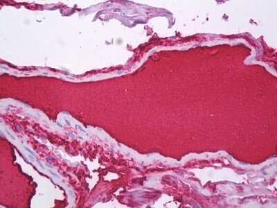
Immunohistochemistry-Paraffin: Fibrinogen Antibody (5C5) [NBP2-11515] - Analysis of anti-Fibrinogen antibody with human small intestine, intravascular plasma at dilution 1:200.

Product Details

Summary
Product Discontinued
View other related Fibrinogen Primary Antibodies

Order Details


    • Catalog Number
      NBP2-11515
    • Availability
      Product Discontinued

    Can't find what you are looking for? Use our Antibody Concierge Service & we will help you locate your antibody!

    Or feel free to contact us for alternative products.

Fibrinogen Antibody (5C5) Summary

Immunogen
Fibrinogen protein purified from Human plasma.
Isotype
IgG1 Kappa
Clonality
Monoclonal
Host
Mouse
Gene
FGA
Purity
Ammonium sulfate precipitation
Innovator's Reward
Test in a species/application not listed above to receive a full credit towards a future purchase.

Applications/Dilutions

Dilutions
  • ELISA 1:100 - 1:2000
  • Immunohistochemistry
  • Immunohistochemistry-Paraffin 1:200
  • Western Blot 1:2000

Packaging, Storage & Formulations

Storage
Store at 4C short term. Aliquot and store at -20C long term. Avoid freeze-thaw cycles.
Buffer
HEPES, 0.01% BSA, 0.15M NaCl and 50% Glycerol
Preservative
0.03% Sodium Azide
Concentration
4 mg/ml
Purity
Ammonium sulfate precipitation

Alternate Names for Fibrinogen Antibody (5C5)

  • Factor I
  • Fib2
  • fibrinogen alpha chain
  • Fibrinogen
  • fibrinogen, A alpha polypeptide
  • MGC119422
  • MGC119423
  • MGC119425

Limitations

This product is for research use only and is not approved for use in humans or in clinical diagnosis. Primary Antibodies are guaranteed for 1 year from date of receipt.

Customers Who Viewed This Item Also Viewed...

AF1356
Species: Hu, Mu
Applications: CyTOF-ready, Dual ISH-IHC, Flow, IHC, Simple Western, WB
NBP1-32436
Species: Bv, Hu, Mu, Rt
Applications: ICC/IF, IHC,  IHC-P, IP, WB
NBP1-90956
Species: Hu
Applications: ICC/IF, IHC,  IHC-P, WB
NB100-174
Species: Ha, Hu, Pm, Mu, Rt
Applications: ChIP, ICC/IF, IHC,  IHC-P, IP, Simple Western, WB
NBP1-91788
Species: Hu, Mu, Rt
Applications: ICC/IF, IHC,  IHC-P, WB
NBP1-92450
Species: Hu
Applications: IHC,  IHC-P
NBP2-33950
Species: Hu, Mu
Applications: ICC/IF, IHC,  IHC-P, WB
NBP3-38363
Species: Hu, Mu, Rt
Applications: ELISA, IHC,  IHC-P, WB
H00005729-B01P
Species: Hu
Applications: Flow, ICC/IF, WB
NBP2-48836
Species: Ca, Hu
Applications: ICC/IF, IHC,  IHC-P
NBP1-58268
Species: Hu, Mu
Applications: IHC,  IHC-P, WB
M6000B
Species: Mu
Applications: ELISA
NBP1-30475
Species: Hu, Mu
Applications: IHC,  IHC-P, IP, WB
NBP2-45562
Species: Hu, Mu, Rt
Applications: Flow, IHC,  IHC-P, WB
NBP2-38770
Species: Hu, Mu
Applications:  IHC-P, WB
MAB6460
Species: Hu
Applications: IHC, WB
DPG00
Species: Hu
Applications: ELISA
NBP2-92630
Species: Hu, Mu, Rt
Applications: ELISA, ICC/IF, IHC,  IHC-P, WB

Publications for Fibrinogen Antibody (NBP2-11515) (0)

There are no publications for Fibrinogen Antibody (NBP2-11515).
By submitting your publication information earn gift cards and discounts for future purchases.

Reviews for Fibrinogen Antibody (NBP2-11515) (0)

There are no reviews for Fibrinogen Antibody (NBP2-11515). By submitting a review you will receive an Amazon e-Gift Card or Novus Product Discount.
  • Review with no image -- $10/€7/£6/$10 CAD/¥70 Yuan/¥1110 Yen
  • Review with an image -- $25/€18/£15/$25 CAD/¥150 Yuan/¥2500 Yen

Product General Protocols

Find general support by application which include: protocols, troubleshooting, illustrated assays, videos and webinars.

Video Protocols

WB Video Protocol

FAQs for Fibrinogen Antibody (NBP2-11515) (0)

There are no specific FAQs related to this product. Read our general customer & technical service FAQs.

Secondary Antibodies

 

Isotype Controls

Additional Fibrinogen Products

Research Areas for Fibrinogen Antibody (NBP2-11515)

Find related products by research area.

Blogs on Fibrinogen

There are no specific blogs for Fibrinogen, but you can read our latest blog posts.

Contact Information

Product PDFs

Calculators

Concentration Calculator

The concentration calculator allows you to quickly calculate the volume, mass or concentration of your vial. Simply enter your mass, volume, or concentration values for your reagent and the calculator will determine the rest.

=
÷

Review this Product

Be the first to review our Fibrinogen Antibody (5C5) and receive a gift card or discount.

Bioinformatics

Gene Symbol FGA